ARG30040
Phospho IRS1 Antibody Duo (pS636, pS307)
Cancer antibody; Cell Biology and Cellular Response antibody; Controls and Markers antibody; Metabolism antibody; Neuroscience antibody; Signaling Transduction antibody
Component
| Cat No | Component Name | Host clonality | Reactivity | Application | Package |
|---|---|---|---|---|---|
| ARG51720 | anti-IRS1 phospho (Ser636) antibody | Rabbit pAb | Hu, Ms, Rat | IHC-P, WB | 50 μl |
| ARG51725 | anti-IRS1 phospho (Ser307) antibody | Rabbit pAb | Hu, Ms, Rat | IHC-P | 50 μl |
Overview
| Product Description | Insulin receptor substrate 1 (IRS-1) is a signalling adapter protein that is phosphorylated by insulin receptor tyrosine kinase. Mutations in IRS-1 are associated with type II diabetes and susceptibility to insulin resistance. IRS-1 plays a key role in transmitting signals from the insulin and insulin-like growth factor-1 (IGF-1) receptors to PI3K / Akt and Erk MAP kinase pathways. IRS-1 also plays important biological function for both metabolic and mitogenic pathways. IRS-1 could be phosphorylated by p70S6K, a downstream protein of Akt, at Ser-307, Ser-636, and Ser-1101 to insulin sensitivity. In addition, IRS-1 is also potentially phosphorylated by the PKCθ kinase at Ser307. ARG30040, ARG30041 and ARG30042 IRS-1 phospho-Duos, containing antibodies recognize total IRS-1 and phosphorylated IRS-1 at Ser307 or Ser636, and PKC theta (pS695). These Duos are designed for the IRS-1 related studies; insulin related signaling and IRS-1 regulation study.
Related news: Quantifying IR-associated Adipokines with Multiplex ELISA kit; |
|---|---|
| Target Name | IRS1 |
| Alternate Names | Phospho IRS1 antibody; Phospho Insulin receptor substrate 1 antibody; IRS1 phospho (Ser636) antibody; IRS1 phospho (Ser307) antibody |
Properties
| Storage Instruction | For continuous use, store undiluted antibody at 2-8°C for up to a week. For long-term storage, aliquot and store at -20°C or below. Storage in frost free freezers is not recommended. Avoid repeated freeze/thaw cycles. Suggest spin the vial prior to opening. The antibody solution should be gently mixed before use. |
|---|---|
| Note | For laboratory research only, not for drug, diagnostic or other use. |
Bioinformation
| Gene Full Name | Phospho Insulin receptor substrate 1 (IRS1) Antibody Duo (pS636, pS307) |
|---|---|
| Highlight | Related Product: anti-IRS1 phospho (Ser307) antibody; |
| Research Area | Cancer antibody; Cell Biology and Cellular Response antibody; Controls and Markers antibody; Metabolism antibody; Neuroscience antibody; Signaling Transduction antibody |
Images (3) Click the Picture to Zoom In
-
ARG51720 anti-IRS-1 phospho (Ser636) antibody WB image
Western Blot: extracts from 3T3 cells untreated or treated with Insulin stained with anti-IRS-1 (phospho Ser636) antibody ARG51720.
-
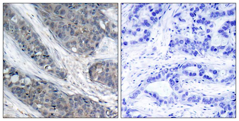
ARG51720 anti-IRS-1 phospho (Ser636) antibody IHC-P image
Immunohistochemistry: paraffin-embedded human breast carcinoma tissue stained with anti-IRS-1 (phospho Ser636) antibody ARG51720 (left) or the same antibody preincubated with blocking peptide (right).
-
ARG51725 anti-IRS-1 phospho (Ser307) antibody IHC-P image
Immunohistochemistry: paraffin-embedded human breast carcinoma tissue, stained with anti-IRS-1 (phospho Ser307) antibody ARG51725).
