ARG41731
anti-AIM2 antibody
anti-AIM2 antibody for IHC-Formalin-fixed paraffin-embedded sections and Human,Mouse,Rat
Overview
| Product Description | Rabbit Polyclonal antibody recognizes AIM2 |
|---|---|
| Tested Reactivity | Hu, Ms, Rat |
| Tested Application | IHC-P |
| Host | Rabbit |
| Clonality | Polyclonal |
| Isotype | IgG |
| Target Name | AIM2 |
| Antigen Species | Human |
| Immunogen | Recombinant protein corresponding to L14-H215 of Human AIM2. |
| Conjugation | Un-conjugated |
| Alternate Names | PYHIN4; Interferon-inducible protein AIM2; Absent in melanoma 2 |
Application Instructions
| Application Suggestion |
|
||||
|---|---|---|---|---|---|
| Application Note | * The dilutions indicate recommended starting dilutions and the optimal dilutions or concentrations should be determined by the scientist. |
Properties
| Form | Liquid |
|---|---|
| Purification | Affinity purification with immunogen. |
| Buffer | 0.2% Na2HPO4, 0.9% NaCl, 0.05% Sodium azide and 5% BSA. |
| Preservative | 0.05% Sodium azide |
| Stabilizer | 5% BSA |
| Concentration | 0.5 mg/ml |
| Storage Instruction | For continuous use, store undiluted antibody at 2-8°C for up to a week. For long-term storage, aliquot and store at -20°C or below. Storage in frost free freezers is not recommended. Avoid repeated freeze/thaw cycles. Suggest spin the vial prior to opening. The antibody solution should be gently mixed before use. |
| Note | For laboratory research only, not for drug, diagnostic or other use. |
Bioinformation
| Database Links | |
|---|---|
| Gene Symbol | AIM2 |
| Gene Full Name | absent in melanoma 2 |
| Background | AIM2 is a member of the IFI20X /IFI16 family. It plays a putative role in tumorigenic reversion and may control cell proliferation. Interferon-gamma induces expression of AIM2. [provided by RefSeq, Jul 2008] |
| Function | Involved in innate immune response by recognizing cytosolic double-stranded DNA and inducing caspase-1-activating inflammasome formation in macrophages. Upon binding to DNA is thought to undergo oligomerization and to associate with PYCARD initiating the recruitment of caspase-1 precusrsor and processing of interleukin-1 beta and interleukin-18. Detects cytosolic dsDNA of viral and bacterial origin in a non-sequence-specific manner. Can also trigger PYCARD-dependent, caspase-1-independent cell death that involves caspase-8 (By similarity). Tumor suppressor which may act by repressing NF-kappa-B transcriptional activity. [UniProt] |
| Cellular Localization | Nucleus. Cytoplasm. Note=Activated inflammasomes can aggregate in the cytosol as speck-like particles. [UniProt] |
| Calculated MW | 39 kDa |
Images (3) Click the Picture to Zoom In
-
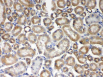
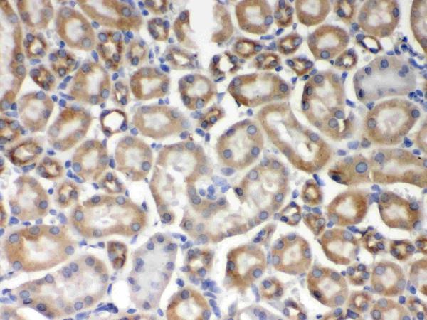
ARG41731 anti-AIM2 antibody IHC-P image
Immunohistochemistry: Paraffin-embedded Mouse kidney tissue stained with ARG41731 anti-AIM2 antibody.
-
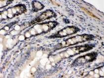
ARG41731 anti-AIM2 antibody IHC-P image
Immunohistochemistry: Paraffin-embedded Rat intestine tissue stained with ARG41731 anti-AIM2 antibody.
-
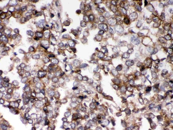
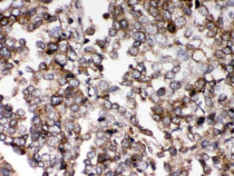
ARG41731 anti-AIM2 antibody IHC-P image
Immunohistochemistry: Paraffin-embedded Human lung cancer tissue stained with ARG41731 anti-AIM2 antibody.
