ARG66456
anti-ANKRD1 antibody
anti-ANKRD1 antibody for IHC-Formalin-fixed paraffin-embedded sections,Western blot and Human,Mouse,Rat
Overview
| Product Description | Rabbit Polyclonal antibody recognizes ANKRD1 |
|---|---|
| Tested Reactivity | Hu, Ms, Rat |
| Predict Reactivity | Bov, Chk, Pig, Rb |
| Tested Application | IHC-P, WB |
| Host | Rabbit |
| Clonality | Polyclonal |
| Isotype | IgG |
| Target Name | ANKRD1 |
| Antigen Species | Human |
| Immunogen | KLH-conjugated synthetic peptide within the C-terminal region of Human ANKRD1. |
| Conjugation | Un-conjugated |
| Alternate Names | bA320F15.2; CVARP; ALRP; CARP; Cardiac ankyrin repeat protein; Cytokine-inducible nuclear protein; Cytokine-inducible gene C-193 protein; C-193; MCARP; Ankyrin repeat domain-containing protein 1 |
Application Instructions
| Application Suggestion |
|
||||||
|---|---|---|---|---|---|---|---|
| Application Note | IHC-P: Antigen Retrieval: Heat mediation was performed in Sodium citrate buffer (pH 6.0). * The dilutions indicate recommended starting dilutions and the optimal dilutions or concentrations should be determined by the scientist. |
||||||
| Observed Size | 40 kDa |
Properties
| Form | Liquid |
|---|---|
| Purification | Affinity purification with immunogen. |
| Buffer | 0.42% Potassium phosphate (pH 7.3), 0.87% NaCl, 0.01% Sodium azide and 30% Glycerol. |
| Preservative | 0.01% Sodium azide |
| Stabilizer | 30% Glycerol |
| Storage Instruction | For continuous use, store undiluted antibody at 2-8°C for up to a week. For long-term storage, aliquot and store at -20°C. Storage in frost free freezers is not recommended. Avoid repeated freeze/thaw cycles. Suggest spin the vial prior to opening. The antibody solution should be gently mixed before use. |
| Note | For laboratory research only, not for drug, diagnostic or other use. |
Bioinformation
| Database Links | |
|---|---|
| Gene Symbol | ANKRD1 |
| Gene Full Name | ankyrin repeat domain 1 (cardiac muscle) |
| Background | The protein encoded by this gene is localized to the nucleus of endothelial cells and is induced by IL-1 and TNF-alpha stimulation. Studies in rat cardiomyocytes suggest that this gene functions as a transcription factor. Interactions between this protein and the sarcomeric proteins myopalladin and titin suggest that it may also be involved in the myofibrillar stretch-sensor system. [provided by RefSeq, Jul 2008] |
| Function | May play an important role in endothelial cell activation. May act as a nuclear transcription factor that negatively regulates the expression of cardiac genes. Induction seems to be correlated with apoptotic cell death in hepatoma cells. [UniProt] |
| Cellular Localization | Nucleus. [UniProt] |
| Calculated MW | 36 kDa |
Images (2) Click the Picture to Zoom In
-
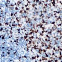
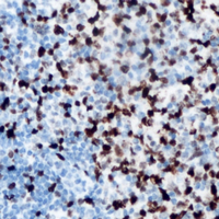
ARG66456 anti-ANKRD1 antibody IHC-P image
Immunohistochemistry: Formalin-fixed and paraffin-embedded Human lymph node. Antigen Retrieval: Heat mediation was performed in Sodium citrate buffer (pH 6.0). The section was then incubated with ARG66456 anti-ANKRD1 antibody at room temperature and detected using an HRP conjugated compact polymer system. DAB was used as the chromogen. The section was then counterstained with haematoxylin and mounted with DPX.
-
ARG66456 anti-ANKRD1 antibody WB image
Western blot: HeLa, Jurkat, NIH/3T3 and H9C2 whole cell lysates stained with ARG66456 anti-ANKRD1 antibody.
