ARG58287
anti-ATP5C1 / ATPG antibody
anti-ATP5C1 / ATPG antibody for Flow cytometry,IHC-Formalin-fixed paraffin-embedded sections,Western blot and Human
Overview
| Product Description | Rabbit Polyclonal antibody recognizes ATP5C1 / ATPG |
|---|---|
| Tested Reactivity | Hu |
| Predict Reactivity | Ms, Rat, Bov, Mk |
| Tested Application | FACS, IHC-P, WB |
| Host | Rabbit |
| Clonality | Polyclonal |
| Isotype | IgG |
| Target Name | ATP5C1 / ATPG |
| Antigen Species | Human |
| Immunogen | KLH-conjugated synthetic peptide corresponding to aa. 40-67 (N-terminus) of Human ATP5C1 / ATPG. |
| Conjugation | Un-conjugated |
| Alternate Names | ATP5C; F-ATPase gamma subunit; ATP synthase subunit gamma, mitochondrial; ATP5CL1 |
Application Instructions
| Application Suggestion |
|
||||||||
|---|---|---|---|---|---|---|---|---|---|
| Application Note | * The dilutions indicate recommended starting dilutions and the optimal dilutions or concentrations should be determined by the scientist. | ||||||||
| Positive Control | HL-60 |
Properties
| Form | Liquid |
|---|---|
| Purification | Purification with Protein A and immunogen peptide. |
| Buffer | PBS and 0.09% (W/V) Sodium azide. |
| Preservative | 0.09% (W/V) Sodium azide. |
| Storage Instruction | For continuous use, store undiluted antibody at 2-8°C for up to a week. For long-term storage, aliquot and store at -20°C or below. Storage in frost free freezers is not recommended. Avoid repeated freeze/thaw cycles. Suggest spin the vial prior to opening. The antibody solution should be gently mixed before use. |
| Note | For laboratory research only, not for drug, diagnostic or other use. |
Bioinformation
| Database Links |
Swiss-port # P36542 Human ATP synthase subunit gamma, mitochondrial |
|---|---|
| Gene Symbol | ATP5C1 |
| Gene Full Name | ATP synthase, H+ transporting, mitochondrial F1 complex, gamma polypeptide 1 |
| Background | This gene encodes a subunit of mitochondrial ATP synthase. Mitochondrial ATP synthase catalyzes ATP synthesis, utilizing an electrochemical gradient of protons across the inner membrane during oxidative phosphorylation. ATP synthase is composed of two linked multi-subunit complexes: the soluble catalytic core, F1, and the membrane-spanning component, Fo, comprising the proton channel. The catalytic portion of mitochondrial ATP synthase consists of 5 different subunits (alpha, beta, gamma, delta, and epsilon) assembled with a stoichiometry of 3 alpha, 3 beta, and a single representative of the other 3. The proton channel consists of three main subunits (a, b, c). This gene encodes the gamma subunit of the catalytic core. Alternatively spliced transcript variants encoding different isoforms have been identified. This gene also has a pseudogene on chromosome 14. [provided by RefSeq, Jul 2008] |
| Function | Mitochondrial membrane ATP synthase (F(1)F(0) ATP synthase or Complex V) produces ATP from ADP in the presence of a proton gradient across the membrane which is generated by electron transport complexes of the respiratory chain. F-type ATPases consist of two structural domains, F(1) - containing the extramembraneous catalytic core, and F(0) - containing the membrane proton channel, linked together by a central stalk and a peripheral stalk. During catalysis, ATP synthesis in the catalytic domain of F(1) is coupled via a rotary mechanism of the central stalk subunits to proton translocation. Part of the complex F(1) domain and the central stalk which is part of the complex rotary element. The gamma subunit protrudes into the catalytic domain formed of alpha(3)beta(3). Rotation of the central stalk against the surrounding alpha(3)beta(3) subunits leads to hydrolysis of ATP in three separate catalytic sites on the beta subunits. [UniProt] |
| Cellular Localization | Mitochondrion. Mitochondrion inner membrane; Peripheral membrane protein. [UniProt] |
| Calculated MW | 33 kDa |
Images (3) Click the Picture to Zoom In
-
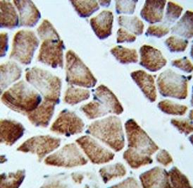
ARG58287 anti-ATP5C1 / ATPG antibody IHC-P image
Immunohistochemistry: Formalin-fixed and paraffin-embedded Human skeletal muscle stained with ARG58287 anti-ATP5C1 / ATPG antibody.
-
ARG58287 anti-ATP5C1 / ATPG antibody WB image
Western blot: 35 µg of HL-60 cell lysate stained with ARG58287 anti-ATP5C1 / ATPG antibody.
-
ARG58287 anti-ATP5C1 / ATPG antibody FACS image
Flow Cytometry: ZR-75-1 cells stained with ARG58287 anti-ATP5C1 / ATPG antibody (bottom histogram) or without primary antibody as control (top histogram), followed by incubation with FITC labelled secondary antibody.
