ARG41570
anti-Aryl Hydrocarbon Receptor antibody
anti-Aryl Hydrocarbon Receptor antibody for Flow cytometry,IHC-Formalin-fixed paraffin-embedded sections and Human,Mouse,Rat
Overview
| Product Description | Rabbit Polyclonal antibody recognizes Aryl Hydrocarbon Receptor |
|---|---|
| Tested Reactivity | Hu, Ms, Rat |
| Tested Application | FACS, IHC-P |
| Host | Rabbit |
| Clonality | Polyclonal |
| Isotype | IgG |
| Target Name | Aryl Hydrocarbon Receptor |
| Antigen Species | Human |
| Immunogen | Synthetic peptide corresponding to a sequence of Human Aryl Hydrocarbon Receptor. (AFLNKFQNGVLNETYPAELNNINNTQTTTHLQPLHH) |
| Conjugation | Un-conjugated |
| Alternate Names | Aryl hydrocarbon receptor; AhR; Ah receptor; bHLHe76; Class E basic helix-loop-helix protein 76 |
Application Instructions
| Application Suggestion |
|
||||||
|---|---|---|---|---|---|---|---|
| Application Note | IHC-P: Antigen Retrieval: Heat mediation was performed in Citrate buffer (pH 6.0, epitope retrieval solution) for 20 min. * The dilutions indicate recommended starting dilutions and the optimal dilutions or concentrations should be determined by the scientist. |
Properties
| Form | Liquid |
|---|---|
| Purification | Affinity purification with immunogen. |
| Buffer | 0.2% Na2HPO4, 0.9% NaCl, 0.05% Sodium azide and 4% Trehalose. |
| Preservative | 0.05% Sodium azide |
| Stabilizer | 4% Trehalose |
| Concentration | 0.5 mg/ml |
| Storage Instruction | For continuous use, store undiluted antibody at 2-8°C for up to a week. For long-term storage, aliquot and store at -20°C or below. Storage in frost free freezers is not recommended. Avoid repeated freeze/thaw cycles. Suggest spin the vial prior to opening. The antibody solution should be gently mixed before use. |
| Note | For laboratory research only, not for drug, diagnostic or other use. |
Bioinformation
| Database Links | |
|---|---|
| Gene Symbol | AHR |
| Gene Full Name | aryl hydrocarbon receptor |
| Background | The protein encoded by this gene is a ligand-activated helix-loop-helix transcription factor involved in the regulation of biological responses to planar aromatic hydrocarbons. This receptor has been shown to regulate xenobiotic-metabolizing enzymes such as cytochrome P450. Before ligand binding, the encoded protein is sequestered in the cytoplasm; upon ligand binding, this protein moves to the nucleus and stimulates transcription of target genes. [provided by RefSeq, Sep 2015] |
| Function | Ligand-activated transcriptional activator. Binds to the XRE promoter region of genes it activates. Activates the expression of multiple phase I and II xenobiotic chemical metabolizing enzyme genes (such as the CYP1A1 gene). Mediates biochemical and toxic effects of halogenated aromatic hydrocarbons. Involved in cell-cycle regulation. Likely to play an important role in the development and maturation of many tissues. Regulates the circadian clock by inhibiting the basal and circadian expression of the core circadian component PER1. Inhibits PER1 by repressing the CLOCK-ARNTL/BMAL1 heterodimer mediated transcriptional activation of PER1. [UniProt] |
| Cellular Localization | Cytoplasm. Nucleus. Note=Initially cytoplasmic; upon binding with ligand and interaction with a HSP90, it translocates to the nucleus. [UniProt] |
| Calculated MW | 96 kDa |
Images (9) Click the Picture to Zoom In
-
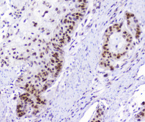
ARG41570 anti-Aryl Hydrocarbon Receptor antibody IHC-P image
Immunohistochemistry: Paraffin-embedded Human placenta tissue. Antigen Retrieval: Heat mediation was performed in Citrate buffer (pH 6.0, epitope retrieval solution) for 20 min. The tissue section was blocked with 10% goat serum. The tissue section was then stained with ARG41570 anti-Aryl Hydrocarbon Receptor antibody at 2 µg/ml dilution, overnight at 4°C.
-
ARG41570 anti-Aryl Hydrocarbon Receptor antibody FACS image
Flow Cytometry: U87 cells were blocked with 10% normal Goat serum and then stained with ARG41570 anti-Aryl Hydrocarbon Receptor antibody (blue) at 1 µg/10^6 cells for 30 min at 20°C, followed by incubation with DyLight®488 labelled secondary antibody. Isotype control antibody (green) was Rabbit IgG (1 µg/10^6 cells) used under the same conditions. Unlabelled sample (red) was also used as a control.
-
ARG41570 anti-Aryl Hydrocarbon Receptor antibody IHC-P image
Immunohistochemistry: Paraffin-embedded Human cholangiocarcinoma tissue. Antigen Retrieval: Heat mediation was performed in Citrate buffer (pH 6.0, epitope retrieval solution) for 20 min. The tissue section was blocked with 10% goat serum. The tissue section was then stained with ARG41570 anti-Aryl Hydrocarbon Receptor antibody at 2 µg/ml dilution, overnight at 4°C.
-
ARG41570 anti-Aryl Hydrocarbon Receptor antibody IHC-P image
Immunohistochemistry: Paraffin-embedded Human oesophagus squama cancer tissue. Antigen Retrieval: Heat mediation was performed in Citrate buffer (pH 6.0, epitope retrieval solution) for 20 min. The tissue section was blocked with 10% goat serum. The tissue section was then stained with ARG41570 anti-Aryl Hydrocarbon Receptor antibody at 2 µg/ml dilution, overnight at 4°C.
-
ARG41570 anti-Aryl Hydrocarbon Receptor antibody IHC-P image
Immunohistochemistry: Paraffin-embedded Human tonsil tissue. Antigen Retrieval: Heat mediation was performed in Citrate buffer (pH 6.0, epitope retrieval solution) for 20 min. The tissue section was blocked with 10% goat serum. The tissue section was then stained with ARG41570 anti-Aryl Hydrocarbon Receptor antibody at 2 µg/ml dilution, overnight at 4°C.
-
ARG41570 anti-Aryl Hydrocarbon Receptor antibody IHC-P image
Immunohistochemistry: Paraffin-embedded Mouse liver tissue. Antigen Retrieval: Heat mediation was performed in Citrate buffer (pH 6.0, epitope retrieval solution) for 20 min. The tissue section was blocked with 10% goat serum. The tissue section was then stained with ARG41570 anti-Aryl Hydrocarbon Receptor antibody at 2 µg/ml dilution, overnight at 4°C.
-
ARG41570 anti-Aryl Hydrocarbon Receptor antibody IHC-P image
Immunohistochemistry: Paraffin-embedded Rat small intestine tissue. Antigen Retrieval: Heat mediation was performed in Citrate buffer (pH 6.0, epitope retrieval solution) for 20 min. The tissue section was blocked with 10% goat serum. The tissue section was then stained with ARG41570 anti-Aryl Hydrocarbon Receptor antibody at 2 µg/ml dilution, overnight at 4°C.
-
ARG41570 anti-Aryl Hydrocarbon Receptor antibody IHC-P image
Immunohistochemistry: Paraffin-embedded Rat spleen tissue. Antigen Retrieval: Heat mediation was performed in Citrate buffer (pH 6.0, epitope retrieval solution) for 20 min. The tissue section was blocked with 10% goat serum. The tissue section was then stained with ARG41570 anti-Aryl Hydrocarbon Receptor antibody at 2 µg/ml dilution, overnight at 4°C.
-
ARG41570 anti-Aryl Hydrocarbon Receptor antibody FACS image
Flow Cytometry: U937 cells were blocked with 10% normal Goat serum and then stained with ARG41570 anti-Aryl Hydrocarbon Receptor antibody (blue) at 1 µg/10^6 cells for 30 min at 20°C, followed by incubation with DyLight®488 labelled secondary antibody. Isotype control antibody (green) was Rabbit IgG (1 µg/10^6 cells) used under the same conditions. Unlabelled sample (red) was also used as a control.
