ARG59186
anti-CCS / SOD4 antibody
anti-CCS / SOD4 antibody for IHC-Formalin-fixed paraffin-embedded sections,Western blot and Human,Mouse,Rat
Overview
| Product Description | Rabbit Polyclonal antibody recognizes CCS / SOD4 |
|---|---|
| Tested Reactivity | Hu, Ms, Rat |
| Tested Application | IHC-P, WB |
| Host | Rabbit |
| Clonality | Polyclonal |
| Isotype | IgG |
| Target Name | CCS / SOD4 |
| Antigen Species | Human |
| Immunogen | Synthetic peptide corresponding to aa. 174-209 of Human CCS / SOD4. (DADGRAIFRMEDEQLKVWDVIGRSLIIDEGEDDLGR) |
| Conjugation | Un-conjugated |
| Alternate Names | Copper chaperone for superoxide dismutase; Superoxide dismutase copper chaperone |
Application Instructions
| Application Suggestion |
|
||||||
|---|---|---|---|---|---|---|---|
| Application Note | IHC-P: Antigen Retrieval: By heat mediation. * The dilutions indicate recommended starting dilutions and the optimal dilutions or concentrations should be determined by the scientist. |
Properties
| Form | Liquid |
|---|---|
| Purification | Affinity purification with immunogen. |
| Buffer | 0.9% NaCl, 0.2% Na2HPO4, 0.05% Sodium azide and 5% BSA. |
| Preservative | 0.05% Sodium azide |
| Stabilizer | 5% BSA |
| Concentration | 0.5 mg/ml |
| Storage Instruction | For continuous use, store undiluted antibody at 2-8°C for up to a week. For long-term storage, aliquot and store at -20°C or below. Storage in frost free freezers is not recommended. Avoid repeated freeze/thaw cycles. Suggest spin the vial prior to opening. The antibody solution should be gently mixed before use. |
| Note | For laboratory research only, not for drug, diagnostic or other use. |
Bioinformation
| Database Links | |
|---|---|
| Gene Symbol | CCS |
| Gene Full Name | copper chaperone for superoxide dismutase |
| Background | Copper chaperone for superoxide dismutase specifically delivers Cu to copper/zinc superoxide dismutase and may activate copper/zinc superoxide dismutase through direct insertion of the Cu cofactor. [provided by RefSeq, Jul 2008] |
| Function | Delivers copper to copper zinc superoxide dismutase (SOD1). [UniProt] |
| Cellular Localization | Cytoplasm. [UniProt] |
| Calculated MW | 29 kDa |
| PTM | Ubiquitinion by XIAP/BIRC4 leads to enhancement of its chaperone activity toward its physiologic target, SOD1, rather than proteasomal degradation. XIAP/BIRC4 preferentially ubiquitinates at Lys-241. [UniProt] |
Images (2) Click the Picture to Zoom In
-
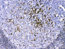
ARG59186 anti-CCS / SOD4 antibody IHC-P image
Immunohistochemistry: Paraffin-embedded Human tonsil stained with ARG59186 anti-CCS / SOD4 antibody at 1 µg/ml dilution.
-
ARG59186 anti-CCS / SOD4 antibody WB image
Western blot: Rat brain, Rat spleen, Mouse brain, Mouse spleen and 293T whole cell lysates stained with ARG59186 anti-CCS / SOD4 antibody at 0.5 µg/ml dilution.
