ARG67186
anti-CHEK2 phospho (Thr387) antibody
anti-CHEK2 phospho (Thr387) antibody for ELISA,IHC-Formalin-fixed paraffin-embedded sections,Western blot and Human,Mouse,Rat
Overview
| Product Description | Rabbit Polyclonal antibody recognizes CHEK2 phospho (Thr387) |
|---|---|
| Tested Reactivity | Hu, Ms, Rat |
| Tested Application | ELISA, IHC-P, WB |
| Host | Rabbit |
| Clonality | Polyclonal |
| Isotype | IgG |
| Target Name | CHEK2 |
| Antigen Species | Human |
| Immunogen | Synthetic peptide of Human phospho CHEK2 (Thr387) |
| Conjugation | Un-conjugated |
| Alternate Names | CDS1; CHK2; HuCds1; PP1425; RAD53; Serine/Threonine-Protein Kinase Chk2; CHK2 Checkpoint Homolog; Cds1 Homolog; BA444G7; HCds1; CHK2 (Checkpoint, S.Pombe) Homolog; CHK2 Checkpoint Homolog (S. Pombe); Checkpoint-Like Protein CHK2; EC 2.7.11.1; EC 2.7.11; Hucds1; TPDS4; LFS2 |
Application Instructions
| Application Suggestion |
|
||||||||
|---|---|---|---|---|---|---|---|---|---|
| Application Note | * The dilutions indicate recommended starting dilutions and the optimal dilutions or concentrations should be determined by the scientist. |
Properties
| Form | Liquid |
|---|---|
| Purification | Affinity purification with immunogen. |
| Buffer | PBS, 0.02% Sodium azide, 0.5% BSA and 50% Glycerol |
| Preservative | 0.02% Sodium azide |
| Stabilizer | 0.5% BSA, 50% Glycerol |
| Concentration | 1 mg/ml |
| Storage Instruction | For continuous use, store undiluted antibody at 2-8°C for up to a week. For long-term storage, aliquot and store at -20°C or below. Storage in frost free freezers is not recommended. Avoid repeated freeze/thaw cycles. Suggest spin the vial prior to opening. The antibody solution should be gently mixed before use. |
| Note | For laboratory research only, not for drug, diagnostic or other use. |
Bioinformation
| Database Links |
Swiss-port # O96017 Human Serine/threonine-protein kinase Chk2 Swiss-port # Q9Z265 Mouse Serine/threonine-protein kinase Chk2 |
|---|---|
| Gene Symbol | CHEK2 |
| Gene Full Name | Checkpoint Kinase 2 |
| Background | In response to DNA damage and replication blocks, cell cycle progression is halted through the control of critical cell cycle regulators. The protein encoded by this gene is a cell cycle checkpoint regulator and putative tumor suppressor. It contains a forkhead-associated protein interaction domain essential for activation in response to DNA damage and is rapidly phosphorylated in response to replication blocks and DNA damage. When activated, the encoded protein is known to inhibit CDC25C phosphatase, preventing entry into mitosis, and has been shown to stabilize the tumor suppressor protein p53, leading to cell cycle arrest in G1. In addition, this protein interacts with and phosphorylates BRCA1, allowing BRCA1 to restore survival after DNA damage. Mutations in this gene have been linked with Li-Fraumeni syndrome, a highly penetrant familial cancer phenotype usually associated with inherited mutations in TP53. Also, mutations in this gene are thought to confer a predisposition to sarcomas, breast cancer, and brain tumors. This nuclear protein is a member of the CDS1 subfamily of serine/threonine protein kinases. Several transcript variants encoding different isoforms have been found for this gene. [provided by RefSeq, Apr 2012] |
| Function | Serine/threonine-protein kinase which is required for checkpoint-mediated cell cycle arrest, activation of DNA repair and apoptosis in response to the presence of DNA double-strand breaks. May also negatively regulate cell cycle progression during unperturbed cell cycles. Following activation, phosphorylates numerous effectors preferentially at the consensus sequence [L-X-R-X-X-S/T]. [UniProt] |
| Cellular Localization | Nucleus, PML body, nucleoplasm. [UniProt] |
| Calculated MW | 60 kDa |
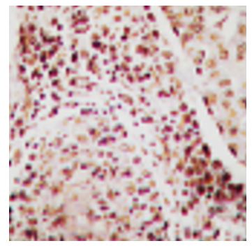
Images (2) Click the Picture to Zoom In
-
ARG67186 anti-CHEK2 phospho (Thr387) antibody IHC-P image
Immunohistochemistry: Human breast carcinoma stained with ARG67186 anti-CHEK2 phospho (Thr387) antibody.
-
ARG67186 anti-CHEK2 phospho (Thr387) antibody WB image
Western blot: Hela cells stained with ARG67186 anti-CHEK2 phospho (Thr387) antibody at 1:500 dilution.
