ARG43100
anti-CLBP / SKD3 antibody
anti-CLBP / SKD3 antibody for Flow cytometry,ICC/IF,IHC-Formalin-fixed paraffin-embedded sections,Western blot and Human,Mouse,Rat,Monkey
Overview
| Product Description | Rabbit Polyclonal antibody recognizes CLBP / SKD3 |
|---|---|
| Tested Reactivity | Hu, Ms, Rat, Mk |
| Tested Application | FACS, ICC/IF, IHC-P, WB |
| Host | Rabbit |
| Clonality | Polyclonal |
| Isotype | IgG |
| Target Name | CLBP / SKD3 |
| Antigen Species | Human |
| Immunogen | Recombinant protein corresponding to Q438-I707 of Human CLBP / SKD3. |
| Conjugation | Un-conjugated |
| Alternate Names | Caseinolytic peptidase B protein homolog; SKD3; Suppressor of potassium transport defect 3; MGCA7; EC 3.6.1.3; MEGCANN; ANKCLB; HSP78 |
Application Instructions
| Application Suggestion |
|
||||||||||
|---|---|---|---|---|---|---|---|---|---|---|---|
| Application Note | IHC-P: Antigen Retrieval: Heat mediation was performed in EDTA buffer (pH 8.0). * The dilutions indicate recommended starting dilutions and the optimal dilutions or concentrations should be determined by the scientist. |
||||||||||
| Observed Size | ~ 70 kDa |
Properties
| Form | Liquid |
|---|---|
| Purification | Affinity purification with immunogen. |
| Buffer | 0.2% Na2HPO4, 0.9% NaCl, 0.01% Sodium azide and 4% Trehalose. |
| Preservative | 0.01% Sodium azide |
| Stabilizer | 4% Trehalose |
| Concentration | 0.5 mg/ml |
| Storage Instruction | For continuous use, store undiluted antibody at 2-8°C for up to a week. For long-term storage, aliquot and store at -20°C or below. Storage in frost free freezers is not recommended. Avoid repeated freeze/thaw cycles. Suggest spin the vial prior to opening. The antibody solution should be gently mixed before use. |
| Note | For laboratory research only, not for drug, diagnostic or other use. |
Bioinformation
| Database Links | |
|---|---|
| Gene Symbol | CLPB |
| Gene Full Name | ClpB homolog, mitochondrial AAA ATPase chaperonin |
| Background | This gene belongs to the ATP-ases associated with diverse cellular activities (AAA+) superfamily. Members of this superfamily form ring-shaped homo-hexamers and have highly conserved ATPase domains that are involved in various processes including DNA replication, protein degradation and reactivation of misfolded proteins. All members of this family hydrolyze ATP through their AAA+ domains and use the energy generated through ATP hydrolysis to exert mechanical force on their substrates. In addition to an AAA+ domain, the protein encoded by this gene contains a C-terminal D2 domain, which is characteristic of the AAA+ subfamily of Caseinolytic peptidases to which this protein belongs. It cooperates with Hsp70 in the disaggregation of protein aggregates. Allelic variants of this gene are associated with 3-methylglutaconic aciduria, which causes cataracts and neutropenia. Alternative splicing results in multiple transcript variants. [provided by RefSeq, Apr 2015] |
| Function | May function as a regulatory ATPase and be related to secretion/protein trafficking process. [UniProt] |
| Cellular Localization | Mitochondrion. [UniProt] |
| Calculated MW | 79 kDa |
Images (5) Click the Picture to Zoom In
-
ARG43100 anti-CLBP / SKD3 antibody ICC/IF image
Immunofluorescence: A549 cells were blocked with 10% goat serum and then stained with ARG43100 anti-CLBP / SKD3 antibody (green) at 4 µg/ml dilution, overnight at 4°C. DAPI (blue) for nuclear staining.
-
ARG43100 anti-CLBP / SKD3 antibody IHC-P image
Immunohistochemistry: Paraffin-embedded Human mammary cancer tissue. Antigen Retrieval: Heat mediation was performed in EDTA buffer (pH 8.0). The tissue section was blocked with 10% goat serum. The tissue section was then stained with ARG43100 anti-CLBP / SKD3 antibody at 1 µg/ml dilution, overnight at 4°C.
-
ARG43100 anti-CLBP / SKD3 antibody WB image
Western blot: 50 µg of sample under reducing conditions. HEK293, SW620, 22Rv1, THP-1, SGC-7901, COS-7, Rat kidney, Mouse heart and HEPA1-6 whole cell lysates stained with ARG43100 anti-CLBP / SKD3 antibody at 0.5 µg/ml dilution, overnight at 4°C.
-
ARG43100 anti-CLBP / SKD3 antibody FACS image
Flow Cytometry: K562 cells were blocked with 10% normal goat serum and then stained with ARG43100 anti-CLBP / SKD3 antibody (blue) at 1 µg/10^6 cells for 30 min at 20°C, followed by incubation with DyLight®488 labelled secondary antibody. Isotype control antibody (green) was rabbit IgG (1 µg/10^6 cells) used under the same conditions. Unlabelled sample (red) was also used as a control.
-
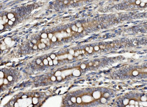
ARG43100 anti-CLBP / SKD3 antibody IHC-P image
Immunohistochemistry: Paraffin-embedded Human rectal cancer tissue. Antigen Retrieval: Heat mediation was performed in EDTA buffer (pH 8.0). The tissue section was blocked with 10% goat serum. The tissue section was then stained with ARG43100 anti-CLBP / SKD3 antibody at 1 µg/ml dilution, overnight at 4°C.
