ARG66397
anti-CMTM6 antibody
anti-CMTM6 antibody for IHC-Formalin-fixed paraffin-embedded sections,Western blot and Human
Overview
| Product Description | Rabbit Polyclonal antibody recognizes CMTM6 |
|---|---|
| Tested Reactivity | Hu |
| Tested Application | IHC-P, WB |
| Host | Rabbit |
| Clonality | Polyclonal |
| Isotype | IgG |
| Target Name | CMTM6 |
| Antigen Species | Human |
| Immunogen | Synthetic peptide from Human CMTM6. |
| Conjugation | Un-conjugated |
| Alternate Names | PRO2219; CKLF-like MARVEL transmembrane domain-containing protein 6; CKLFSF6; Chemokine-like factor superfamily member 6 |
Application Instructions
| Application Suggestion |
|
||||||
|---|---|---|---|---|---|---|---|
| Application Note | * The dilutions indicate recommended starting dilutions and the optimal dilutions or concentrations should be determined by the scientist. | ||||||
| Positive Control | WB: 293T, HepG2, Raji and Human placenta. IHC-P: Human tonsil. |
Properties
| Form | Liquid |
|---|---|
| Purification | Affinity purification with immunogen. |
| Buffer | PBS (pH 7.4), 0.05% Sodium azide and 40% Glycerol. |
| Preservative | 0.05% Sodium azide |
| Stabilizer | 40% Glycerol |
| Concentration | 2.7 mg/ml |
| Storage Instruction | For continuous use, store undiluted antibody at 2-8°C for up to a week. For long-term storage, aliquot and store at -20°C. Storage in frost free freezers is not recommended. Avoid repeated freeze/thaw cycles. Suggest spin the vial prior to opening. The antibody solution should be gently mixed before use. |
| Note | For laboratory research only, not for drug, diagnostic or other use. |
Bioinformation
| Database Links |
Swiss-port # Q9NX76 Human CKLF-like MARVEL transmembrane domain-containing protein 6 |
|---|---|
| Gene Symbol | CMTM6 |
| Gene Full Name | CKLF-like MARVEL transmembrane domain containing 6 |
| Background | This gene belongs to the chemokine-like factor gene superfamily, a novel family that is similar to the chemokine and transmembrane 4 superfamilies. This gene is one of several chemokine-like factor genes located in a cluster on chromosome 3. This gene is widely expressed in many tissues, but the exact function of the encoded protein is unknown. [provided by RefSeq, Jul 2008] |
| Calculated MW | 20 kDa |
Images (2) Click the Picture to Zoom In
-
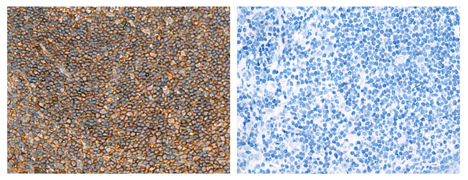
ARG66397 anti-CMTM6 antibody IHC-P image
Immunohistochemistry: Paraffin-embedded Human tonsil tissue stained with ARG66397 anti-CMTM6 antibody (left) at 1:40 dilution, or the same antibody pre-incubated with antigen (right). (Original magnification: X200)
-
ARG66397 anti-CMTM6 antibody WB image
Western blot: 40 µg of 293T, HepG2, Raji and Human placenta lysates stained with ARG66397 anti-CMTM6 antibody at 1:1000 dilution.
