ARG40130
anti-DPP8 antibody
anti-DPP8 antibody for Flow cytometry,IHC-Formalin-fixed paraffin-embedded sections,Western blot and Human
Overview
| Product Description | Rabbit Polyclonal antibody recognizes DPP8 |
|---|---|
| Tested Reactivity | Hu |
| Predict Reactivity | Ms |
| Tested Application | FACS, IHC-P, WB |
| Host | Rabbit |
| Clonality | Polyclonal |
| Isotype | IgG |
| Target Name | DPP8 |
| Antigen Species | Human |
| Immunogen | KLH-conjugated synthetic peptide corresponding to aa. 846-876 of Human DPP8. |
| Conjugation | Un-conjugated |
| Alternate Names | MSTP135; Prolyl dipeptidase DPP8; MST097; EC 3.4.14.5; DP8; DPRP1; MSTP097; Dipeptidyl peptidase 8; DPRP-1; Dipeptidyl peptidase IV-related protein 1; Dipeptidyl peptidase VIII; MSTP141; DPP VIII |
Application Instructions
| Application Suggestion |
|
||||||||
|---|---|---|---|---|---|---|---|---|---|
| Application Note | * The dilutions indicate recommended starting dilutions and the optimal dilutions or concentrations should be determined by the scientist. | ||||||||
| Positive Control | 293 |
Properties
| Form | Liquid |
|---|---|
| Purification | Saturated Ammonium Sulfate (SAS) precipitation followed by dialysis against PBS. |
| Buffer | PBS and 0.09% (W/V) Sodium azide. |
| Preservative | 0.09% (W/V) Sodium azide. |
| Storage Instruction | For continuous use, store undiluted antibody at 2-8°C for up to a week. For long-term storage, aliquot and store at -20°C or below. Storage in frost free freezers is not recommended. Avoid repeated freeze/thaw cycles. Suggest spin the vial prior to opening. The antibody solution should be gently mixed before use. |
| Note | For laboratory research only, not for drug, diagnostic or other use. |
Bioinformation
| Database Links | |
|---|---|
| Gene Symbol | DPP8 |
| Gene Full Name | dipeptidyl-peptidase 8 |
| Background | This gene encodes a member of the peptidase S9B family, a small family of dipeptidyl peptidases that are able to cleave peptide substrates at a prolyl bond. The encoded protein shares similarity with dipeptidyl peptidase IV in that it is ubiquitously expressed, and hydrolyzes the same substrates. These similarities suggest that, like dipeptidyl peptidase IV, this protein may play a role in T-cell activation and immune function. Alternatively spliced transcript variants encoding different isoforms have been described. [provided by RefSeq, Jul 2008] |
| Function | Dipeptidyl peptidase that cleaves off N-terminal dipeptides from proteins having a Pro or Ala residue at position 2. May play a role in T-cell activation and immune function. [UniProt] |
| Cellular Localization | Cytoplasm. [UniProt] |
| Calculated MW | 103 kDa |
Images (3) Click the Picture to Zoom In
-
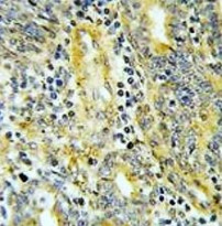
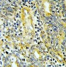
ARG40130 anti-DPP8 antibody IHC-P image
Immunohistochemistry: Formalin-fixed and paraffin-embedded Human prostate carcinoma stained with ARG40130 anti-DPP8 antibody.
-
ARG40130 anti-DPP8 antibody WB image
Western blot: 35 µg of 293 cell lysate stained with ARG40130 anti-DPP8 antibody.
-
ARG40130 anti-DPP8 antibody FACS image
Flow Cytometry: 293 cells stained with ARG40130 anti-DPP8 antibody (right histogram) or without primary antibody as control (left histogram), followed by incubation with FITC labelled secondary antibody.
