ARG58535
anti-DVL1 / Dishevelled 1 antibody
anti-DVL1 / Dishevelled 1 antibody for ICC/IF,IHC-Formalin-fixed paraffin-embedded sections,Western blot and Human
Overview
| Product Description | Rabbit Polyclonal antibody recognizes DVL1 / Dishevelled 1 |
|---|---|
| Tested Reactivity | Hu |
| Predict Reactivity | Ms, Rat |
| Tested Application | ICC/IF, IHC-P, WB |
| Host | Rabbit |
| Clonality | Polyclonal |
| Isotype | IgG |
| Target Name | DVL1 / Dishevelled 1 |
| Antigen Species | Human |
| Immunogen | KLH-conjugated synthetic peptide corresponding to aa. 442-470 of Human DVL1 / Dishevelled 1. |
| Conjugation | Un-conjugated |
| Alternate Names | DVL; DSH homolog 1; DVL1P1; DVL1L1; DRS2; Segment polarity protein dishevelled homolog DVL-1; Dishevelled-1 |
Application Instructions
| Application Suggestion |
|
||||||||
|---|---|---|---|---|---|---|---|---|---|
| Application Note | * The dilutions indicate recommended starting dilutions and the optimal dilutions or concentrations should be determined by the scientist. | ||||||||
| Positive Control | PC-3 |
Properties
| Form | Liquid |
|---|---|
| Purification | Purification with Protein A and immunogen peptide. |
| Buffer | PBS and 0.09% (W/V) Sodium azide. |
| Preservative | 0.09% (W/V) Sodium azide. |
| Storage Instruction | For continuous use, store undiluted antibody at 2-8°C for up to a week. For long-term storage, aliquot and store at -20°C or below. Storage in frost free freezers is not recommended. Avoid repeated freeze/thaw cycles. Suggest spin the vial prior to opening. The antibody solution should be gently mixed before use. |
| Note | For laboratory research only, not for drug, diagnostic or other use. |
Bioinformation
| Database Links |
Swiss-port # O14640 Human Segment polarity protein dishevelled homolog DVL-1 |
|---|---|
| Gene Symbol | DVL1 |
| Gene Full Name | dishevelled segment polarity protein 1 |
| Background | DVL1, the human homolog of the Drosophila dishevelled gene (dsh) encodes a cytoplasmic phosphoprotein that regulates cell proliferation, acting as a transducer molecule for developmental processes, including segmentation and neuroblast specification. DVL1 is a candidate gene for neuroblastomatous transformation. The Schwartz-Jampel syndrome and Charcot-Marie-Tooth disease type 2A have been mapped to the same region as DVL1. The phenotypes of these diseases may be consistent with defects which might be expected from aberrant expression of a DVL gene during development. [provided by RefSeq, Jul 2008] |
| Function | Participates in Wnt signaling by binding to the cytoplasmic C-terminus of frizzled family members and transducing the Wnt signal to down-stream effectors. Plays a role both in canonical and non-canonical Wnt signaling. Plays a role in the signal transduction pathways mediated by multiple Wnt genes. Required for LEF1 activation upon WNT1 and WNT3A signaling. DVL1 and PAK1 form a ternary complex with MUSK which is important for MUSK-dependent regulation of AChR clustering during the formation of the neuromuscular junction (NMJ). [UniProt] |
| Calculated MW | 75 kDa |
| PTM | Ubiquitinated; undergoes both 'Lys-48'-linked ubiquitination, leading to its subsequent degradation by the ubiquitin-proteasome pathway, and 'Lys-63'-linked ubiquitination. The interaction with INVS is required for ubiquitination. Deubiquitinated by CYLD, which acts on 'Lys-63'-linked ubiquitin chains (By similarity). [UniProt] |
Images (3) Click the Picture to Zoom In
-
ARG58535 anti-DVL1 / Dishevelled 1 antibody ICC/IF image
Immunofluorescence: HepG2 cells stained with ARG58535 anti-DVL1 / Dishevelled 1 antibody (green). DAPI (blue) for nuclear staining.
-
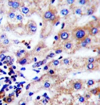
ARG58535 anti-DVL1 / Dishevelled 1 antibody IHC-P image
Immunohistochemistry: Formalin-fixed and paraffin-embedded Human liver tissue stained with ARG58535 anti-DVL1 / Dishevelled 1 antibody.
-
ARG58535 anti-DVL1 / Dishevelled 1 antibody WB image
Western blot: 20 µg of PC-3 cell lysate stained with ARG58535 anti-DVL1 / Dishevelled 1 antibody.
