ARG58604
anti-EHHADH antibody
anti-EHHADH antibody for Flow cytometry,IHC-Formalin-fixed paraffin-embedded sections,Western blot and Human,Mouse,Rat
Overview
| Product Description | Rabbit Polyclonal antibody recognizes EHHADH |
|---|---|
| Tested Reactivity | Hu, Ms, Rat |
| Tested Application | FACS, IHC-P, WB |
| Host | Rabbit |
| Clonality | Polyclonal |
| Isotype | IgG |
| Target Name | EHHADH |
| Antigen Species | Human |
| Immunogen | KLH-conjugated synthetic peptide between aa. 662-690 of Human EHHADH. |
| Conjugation | Un-conjugated |
| Alternate Names | LBP; ECHD; LBFP; L-PBE; PBE; PBFE; EC 1.1.1.35; EC 4.2.1.17; EC 5.3.3.8; FRTS3; Peroxisomal bifunctional enzyme |
Application Instructions
| Application Suggestion |
|
||||||||
|---|---|---|---|---|---|---|---|---|---|
| Application Note | * The dilutions indicate recommended starting dilutions and the optimal dilutions or concentrations should be determined by the scientist. | ||||||||
| Positive Control | Rat liver |
Properties
| Form | Liquid |
|---|---|
| Purification | Purification with Protein A and immunogen peptide. |
| Buffer | PBS and 0.09% (W/V) Sodium azide. |
| Preservative | 0.09% (W/V) Sodium azide |
| Storage Instruction | For continuous use, store undiluted antibody at 2-8°C for up to a week. For long-term storage, aliquot and store at -20°C or below. Storage in frost free freezers is not recommended. Avoid repeated freeze/thaw cycles. Suggest spin the vial prior to opening. The antibody solution should be gently mixed before use. |
| Note | For laboratory research only, not for drug, diagnostic or other use. |
Bioinformation
| Database Links | |
|---|---|
| Gene Symbol | EHHADH |
| Gene Full Name | enoyl-CoA, hydratase/3-hydroxyacyl CoA dehydrogenase |
| Background | The protein encoded by this gene is a bifunctional enzyme and is one of the four enzymes of the peroxisomal beta-oxidation pathway. The N-terminal region of the encoded protein contains enoyl-CoA hydratase activity while the C-terminal region contains 3-hydroxyacyl-CoA dehydrogenase activity. Defects in this gene are a cause of peroxisomal disorders such as Zellweger syndrome. Two transcript variants encoding different isoforms have been found for this gene. [provided by RefSeq, Oct 2009] |
| Cellular Localization | Peroxisome. [UniProt] |
| Calculated MW | 79 kDa |
| PTM | Acetylated, leading to enhanced enzyme activity. Acetylation is enhanced by up to 80% after treatment either with trichostin A (TSA) or with nicotinamide (NAM) with highest increase on Lys-346. Acetylation and enzyme activity increased by about 1.5% on addition of fatty acids. [UniProt] |
Images (3) Click the Picture to Zoom In
-
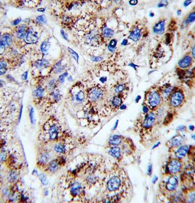
ARG58604 anti-EHHADH antibody IHC-P image
Immunohistochemistry: Formalin-fixed and paraffin-embedded Human hepatocarcinoma tissue stained with ARG58604 anti-EHHADH antibody.
-
ARG58604 anti-EHHADH antibody WB image
Western blot: 35 µg of Rat liver lysate stained with ARG58604 anti-EHHADH antibody at 1:1000 dilution.
-
ARG58604 anti-EHHADH antibody FACS image
Flow Cytometry: HepG2 cells stained with ARG58604 anti-EHHADH antibody (bottom histogram) or without primary antibody as control (top histogram), followed by incubation with FITC labelled secondary antibody.
