ARG58606
anti-EXT2 antibody
anti-EXT2 antibody for Flow cytometry,IHC-Formalin-fixed paraffin-embedded sections,Western blot and Human
Overview
| Product Description | Rabbit Polyclonal antibody recognizes EXT2 |
|---|---|
| Tested Reactivity | Hu |
| Predict Reactivity | Ms, Bov |
| Tested Application | FACS, IHC-P, WB |
| Host | Rabbit |
| Clonality | Polyclonal |
| Isotype | IgG |
| Target Name | EXT2 |
| Antigen Species | Human |
| Immunogen | KLH-conjugated synthetic peptide between aa. 182-209 of Human EXT2. |
| Conjugation | Un-conjugated |
| Alternate Names | Multiple exostoses protein 2; SOTV; Putative tumor suppressor protein EXT2; Glucuronosyl-N-acetylglucosaminyl-proteoglycan/N-acetylglucosaminyl-proteoglycan 4-alpha-N-acetylglucosaminyltransferase; EC 2.4.1.225; EC 2.4.1.224; Exostosin-2 |
Application Instructions
| Application Suggestion |
|
||||||||
|---|---|---|---|---|---|---|---|---|---|
| Application Note | * The dilutions indicate recommended starting dilutions and the optimal dilutions or concentrations should be determined by the scientist. | ||||||||
| Positive Control | T47D |
Properties
| Form | Liquid |
|---|---|
| Purification | Purification with Protein A and immunogen peptide. |
| Buffer | PBS and 0.09% (W/V) Sodium azide. |
| Preservative | 0.09% (W/V) Sodium azide |
| Storage Instruction | For continuous use, store undiluted antibody at 2-8°C for up to a week. For long-term storage, aliquot and store at -20°C or below. Storage in frost free freezers is not recommended. Avoid repeated freeze/thaw cycles. Suggest spin the vial prior to opening. The antibody solution should be gently mixed before use. |
| Note | For laboratory research only, not for drug, diagnostic or other use. |
Bioinformation
| Database Links | |
|---|---|
| Gene Symbol | EXT2 |
| Gene Full Name | exostosin glycosyltransferase 2 |
| Background | This gene encodes one of two glycosyltransferases involved in the chain elongation step of heparan sulfate biosynthesis. Mutations in this gene cause the type II form of multiple exostoses. Alternatively spliced transcript variants encoding different isoforms have been noted for this gene. [provided by RefSeq, Jul 2008] |
| Function | Glycosyltransferase required for the biosynthesis of heparan-sulfate. The EXT1/EXT2 complex possesses substantially higher glycosyltransferase activity than EXT1 or EXT2 alone. Appears to be a tumor suppressor. [UniProt] |
| Cellular Localization | Endoplasmic reticulum membrane; Single-pass type II membrane protein. Golgi apparatus membrane; Single-pass type II membrane protein. Note=The EXT1/EXT2 complex is localized in the Golgi apparatus. [UniProt] |
| Calculated MW | 82 kDa |
Images (3) Click the Picture to Zoom In
-
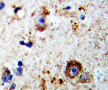
ARG58606 anti-EXT2 antibody IHC-P image
Immunohistochemistry: Formalin-fixed and paraffin-embedded Human brain tissue stained with ARG58606 anti-EXT2 antibody.
-
ARG58606 anti-EXT2 antibody WB image
Western blot: 35 µg of T47D cell lysate stained with ARG58606 anti-EXT2 antibody at 1:1000 dilution.
-
ARG58606 anti-EXT2 antibody FACS image
Flow Cytometry: HeLa cells stained with ARG58606 anti-EXT2 antibody (bottom histogram) or without primary antibody as control (top histogram), followed by incubation with FITC labelled secondary antibody.

