ARG66667
anti-Eg 5 phospho (Thr926) antibody
anti-Eg 5 phospho (Thr926) antibody for IHC-Formalin-fixed paraffin-embedded sections,Western blot and Human,Mouse
Overview
| Product Description | Rabbit Polyclonal antibody recognizes Eg 5 phospho (Thr926) |
|---|---|
| Tested Reactivity | Hu, Ms |
| Tested Application | IHC-P, WB |
| Host | Rabbit |
| Clonality | Polyclonal |
| Isotype | IgG |
| Target Name | Eg 5 |
| Antigen Species | Human |
| Immunogen | Phosphospecific peptide around Thr926 of Human Eg 5. |
| Conjugation | Un-conjugated |
| Alternate Names | TRIP-5; Kinesin-related motor protein Eg5; KNSL1; TR-interacting protein 5; HKSP; Kinesin-like spindle protein HKSP; EG5; MCLMR; Kinesin-like protein 1; Kinesin-like protein KIF11; TRIP5; Thyroid receptor-interacting protein 5 |
Application Instructions
| Application Suggestion |
|
||||||
|---|---|---|---|---|---|---|---|
| Application Note | IHC-P: Antigen Retrieval: High-pressure and temperature Tris/EDTA buffer (pH 8.0). * The dilutions indicate recommended starting dilutions and the optimal dilutions or concentrations should be determined by the scientist. |
||||||
| Observed Size | ~ 115 kDa |
Properties
| Form | Liquid |
|---|---|
| Purification | Affinity purification with immunogen. |
| Buffer | PBS, 0.02% Sodium azide, 50% Glycerol and 0.5% BSA. |
| Preservative | 0.02% Sodium azide |
| Stabilizer | 50% Glycerol and 0.5% BSA |
| Concentration | 1 mg/ml |
| Storage Instruction | For continuous use, store undiluted antibody at 2-8°C for up to a week. For long-term storage, aliquot and store at -20°C. Storage in frost free freezers is not recommended. Avoid repeated freeze/thaw cycles. Suggest spin the vial prior to opening. The antibody solution should be gently mixed before use. |
| Note | For laboratory research only, not for drug, diagnostic or other use. |
Bioinformation
| Database Links | |
|---|---|
| Gene Symbol | KIF11 |
| Gene Full Name | kinesin family member 11 |
| Background | This gene encodes a motor protein that belongs to the kinesin-like protein family. Members of this protein family are known to be involved in various kinds of spindle dynamics. The function of this gene product includes chromosome positioning, centrosome separation and establishing a bipolar spindle during cell mitosis. [provided by RefSeq, Jul 2008] |
| Function | Motor protein required for establishing a bipolar spindle. Blocking of KIF11 prevents centrosome migration and arrest cells in mitosis with monoastral microtubule arrays. [UniProt] |
| Cellular Localization | Cytoplasm. Cytoplasm, cytoskeleton, spindle pole. [UniProt] |
| Calculated MW | 119 kDa |
| PTM | Phosphorylated exclusively on serine during S phase, but on both serine and Thr-926 during mitosis, so controlling the association of KIF11 with the spindle apparatus (probably during early prophase). A subset of this protein primarily localized at the spindle pole is phosphorylated by NEK6 during mitosis; phosphorylation is required for mitotic function. [UniProt] |
Images (3) Click the Picture to Zoom In
-
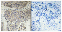
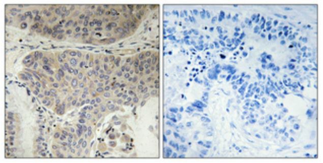
ARG66667 anti-Eg 5 phospho (Thr926) antibody IHC-P image
Immunohistochemistry: Paraffin-embedded Human lung cancer tissue stained with ARG66667 anti-Eg 5 phospho (Thr926) antibody at 1:100 dilution, overnight at 4°C. Antigen Retrieval: High-pressure and temperature Tris/EDTA buffer (pH 8.0). Negative control (right): Antibody was pre-absorbed by immunogen peptide.
-
ARG66667 anti-Eg 5 phospho (Thr926) antibody WB image
Western blot: COLO205 cell lysate stained with ARG66667 anti-Eg 5 phospho (Thr926) antibody at 1:2000 dilution.
-
ARG66667 anti-Eg 5 phospho (Thr926) antibody WB image
Western blot: HeLa, KB, SH-SY5Y, 293T and 3T3 cell lysates stained with ARG66667 anti-Eg 5 phospho (Thr926) antibody at 1:2000 dilution.
