ARG58580
anti-FGF8 antibody
anti-FGF8 antibody for IHC-Formalin-fixed paraffin-embedded sections,Western blot and Human,Rat
Overview
| Product Description | Rabbit Polyclonal antibody recognizes FGF8 |
|---|---|
| Tested Reactivity | Hu, Rat |
| Tested Application | IHC-P, WB |
| Host | Rabbit |
| Clonality | Polyclonal |
| Isotype | IgG |
| Target Name | FGF8 |
| Antigen Species | Human |
| Immunogen | Synthetic peptide corresponding to aa. 163-185 of Human FGF8. (FMKRLPRGHHTTEQSLRFEFLNY) |
| Conjugation | Un-conjugated |
| Alternate Names | Fibroblast growth factor 8; HH6; AIGF; FGF-8; HBGF-8; KAL6; Heparin-binding growth factor 8; Androgen-induced growth factor |
Application Instructions
| Application Suggestion |
|
||||||
|---|---|---|---|---|---|---|---|
| Application Note | IHC-P: Antigen Retrieval: Heat mediation was performed in Citrate buffer (pH 6.0) for 20 min. * The dilutions indicate recommended starting dilutions and the optimal dilutions or concentrations should be determined by the scientist. |
Properties
| Form | Liquid |
|---|---|
| Purification | Affinity purification with immunogen. |
| Buffer | 0.9% NaCl, 0.2% Na2HPO4, 0.05% Thimerosal, 0.05% Sodium azide and 5% BSA. |
| Preservative | 0.05% Thimerosal and 0.05% Sodium azide |
| Stabilizer | 5% BSA |
| Concentration | 0.5 mg/ml |
| Storage Instruction | For continuous use, store undiluted antibody at 2-8°C for up to a week. For long-term storage, aliquot and store at -20°C or below. Storage in frost free freezers is not recommended. Avoid repeated freeze/thaw cycles. Suggest spin the vial prior to opening. The antibody solution should be gently mixed before use. |
| Note | For laboratory research only, not for drug, diagnostic or other use. |
Bioinformation
| Database Links | |
|---|---|
| Gene Symbol | FGF8 |
| Gene Full Name | fibroblast growth factor 8 (androgen-induced) |
| Background | The protein encoded by this gene is a member of the fibroblast growth factor (FGF) family. FGF family members possess broad mitogenic and cell survival activities, and are involved in a variety of biological processes, including embryonic development, cell growth, morphogenesis, tissue repair, tumor growth and invasion. This protein is known to be a factor that supports androgen and anchorage independent growth of mammary tumor cells. Overexpression of this gene has been shown to increase tumor growth and angiogensis. The adult expression of this gene is restricted to testes and ovaries. Temporal and spatial pattern of this gene expression suggests its function as an embryonic epithelial factor. Studies of the mouse and chick homologs revealed roles in midbrain and limb development, organogenesis, embryo gastrulation and left-right axis determination. The alternative splicing of this gene results in four transcript variants. [provided by RefSeq, Jul 2008] |
| Function | Plays an important role in the regulation of embryonic development, cell proliferation, cell differentiation and cell migration. Required for normal brain, eye, ear and limb development during embryogenesis. Required for normal development of the gonadotropin-releasing hormone (GnRH) neuronal system. Plays a role in neurite outgrowth in hippocampal cells. [UniProt] |
| Cellular Localization | Secreted. [UniProt] |
| Calculated MW | 27 kDa |
Images (3) Click the Picture to Zoom In
-
ARG58580 anti-FGF8 antibody IHC-P image
Western blot: Rat ovary tissue lysate stained with ARG58580 anti-FGF8 antibody.
-
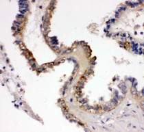
ARG58580 anti-FGF8 antibody IHC-P image
Immunohistochemistry: Paraffin-embedded Human ovarian cancer tissue. Antigen Retrieval: Heat mediation was performed in Citrate buffer (pH 6.0) for 20 min. The tissue section was blocked with 10% goat serum. The tissue section was then stained with ARG58580 anti-FGF8 antibody at 1 µg/ml dilution, overnight at 4°C.
-
ARG58580 anti-FGF8 antibody WB image
Western blot: Rat ovary tissue lysate stained with ARG58580 anti-FGF8 antibody.
