ARG63820
anti-GDF15 antibody
anti-GDF15 antibody for Flow cytometry,IHC-Formalin-fixed paraffin-embedded sections,Western blot and Human
Cell Biology and Cellular Response antibody; Signaling Transduction antibody
Overview
| Product Description | Goat Polyclonal antibody recognizes GDF15 |
|---|---|
| Tested Reactivity | Hu |
| Predict Reactivity | Ms, Rat |
| Tested Application | FACS, IHC-P, WB |
| Host | Goat |
| Clonality | Polyclonal |
| Isotype | IgG |
| Target Name | GDF15 |
| Antigen Species | Human |
| Immunogen | C-QKTDTGVSLQTYDD |
| Conjugation | Un-conjugated |
| Alternate Names | Growth/differentiation factor 15; GDF-15; Placental TGF-beta; NAG-1; Macrophage inhibitory cytokine 1; MIC1; NSAID-activated gene 1 protein; PTGFB; NRG-1; MIC-1; PLAB; NSAID-regulated gene 1 protein; PDF; Prostate differentiation factor; Placental bone morphogenetic protein |
Application Instructions
| Application Suggestion |
|
||||||||
|---|---|---|---|---|---|---|---|---|---|
| Application Note | WB: Recommend incubate at RT for 1h. IHC-P: Antigen Retrieval: Steam tissue section in Citrate buffer (pH 6.0). * The dilutions indicate recommended starting dilutions and the optimal dilutions or concentrations should be determined by the scientist. |
Properties
| Form | Liquid |
|---|---|
| Purification | Purified from goat serum by antigen affinity chromatography. |
| Buffer | Tris saline (pH 7.3), 0.02% Sodium azide and 0.5% BSA. |
| Preservative | 0.02% Sodium azide |
| Stabilizer | 0.5% BSA |
| Concentration | 0.5 mg/ml |
| Storage Instruction | For continuous use, store undiluted antibody at 2-8°C for up to a week. For long-term storage, aliquot and store at -20°C or below. Storage in frost free freezers is not recommended. Avoid repeated freeze/thaw cycles. Suggest spin the vial prior to opening. The antibody solution should be gently mixed before use. |
| Note | For laboratory research only, not for drug, diagnostic or other use. |
Bioinformation
| Database Links | |
|---|---|
| Background | Bone morphogenetic proteins (e.g., BMP9; MIM 605120) are members of the transforming growth factor-beta (see TGFB1; MIM 190180) superfamily and regulate tissue differentiation and maintenance. They are synthesized as precursor molecules that are processed at a dibasic cleavage site to release C-terminal domains containing a characteristic motif of 7 conserved cysteines in the mature protein.[supplied by OMIM, Oct 2009] |
| Research Area | Cell Biology and Cellular Response antibody; Signaling Transduction antibody |
| Calculated MW | 34 kDa |
Images (6) Click the Picture to Zoom In
-
ARG63820 anti-GDF15 antibody WB image
Western Blot: Human Prostate lysate (35 µg protein in RIPA buffer) stained with ARG63820 anti-GDF15 antibody at 0.1 µg/ml dilution.
-
ARG63820 anti-GDF15 antibody WB image
Western Blot: 1). Mock transfection; 2) GDF15 (RC201295) expressing plasmid transfected HEK293 cell lysate standed with ARG63820 anti-GDF15 antibody
-
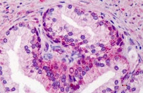
ARG63820 anti-GDF15 antibody IHC-P image
Immunohistochemistry: Paraffin-embedded Human prostate tissue. Antigen Retrieval: Steam tissue section in Citrate buffer (pH 6.0). The tissue section was stained with ARG63820 anti-GDF15 antibody at 5 µg/ml dilution followed by AP-staining.
-
ARG63820 anti-GDF15 antibody WB image
Western blot: 35 µg of Human testis (A) and Human skin (B, negative control) lysates (in RIPA buffer) stained with ARG63820 anti-GDF15 antibody at 0.3 µg/ml dilution and incubated at RT for 1 hour.
-
ARG63820 anti-GDF15 antibody FACS image
Flow Cytometry: Paraformaldehyde-fixed HeLa cells permeabilized with 0.5% Triton. Cells were stained with ARG63820 anti-GDF15 antibody (blue line) at 10 µg/ml dilution for 1 hour, followed by incubation with Alexa FluorR 488 labelled secondary antibody. IgG control: Unimmunized goat IgG (black line).
-
ARG63820 anti-GDF15 antibody IHC-P image
Immunohistochemistry: Paraffin-embedded Human placenta tissue. Antigen Retrieval: Steam tissue section in Citrate buffer (pH 6.0). The tissue section was stained with ARG63820 anti-GDF15 antibody at 5 µg/ml dilution followed by AP-staining.
