ARG41450
anti-GH1 / Growth hormone antibody
anti-GH1 / Growth hormone antibody for IHC-Formalin-fixed paraffin-embedded sections,Immunoprecipitation,Western blot and Human
Overview
| Product Description | Rabbit Polyclonal antibody recognizes GH1 / Growth hormone |
|---|---|
| Tested Reactivity | Hu |
| Tested Application | IHC-P, IP, WB |
| Host | Rabbit |
| Clonality | Polyclonal |
| Isotype | IgG |
| Target Name | GH1 / Growth hormone |
| Antigen Species | Human |
| Immunogen | Synthetic peptide of Human GH1 / Growth hormone. |
| Conjugation | Un-conjugated |
| Alternate Names | GH-N; Somatotropin; IGHD1B; Growth hormone; Growth hormone 1; Pituitary growth hormone; GHN; hGH-N; GH |
Application Instructions
| Application Suggestion |
|
||||||||
|---|---|---|---|---|---|---|---|---|---|
| Application Note | * The dilutions indicate recommended starting dilutions and the optimal dilutions or concentrations should be determined by the scientist. | ||||||||
| Positive Control | Human placenta | ||||||||
| Observed Size | ~ 25 kDa |
Properties
| Form | Liquid |
|---|---|
| Purification | Affinity purified. |
| Buffer | PBS (pH 7.4), 150 mM NaCl, 0.02% Sodium azide and 50% Glycerol. |
| Preservative | 0.02% Sodium azide |
| Stabilizer | 50% Glycerol |
| Storage Instruction | For continuous use, store undiluted antibody at 2-8°C for up to a week. For long-term storage, aliquot and store at -20°C. Storage in frost free freezers is not recommended. Avoid repeated freeze/thaw cycles. Suggest spin the vial prior to opening. The antibody solution should be gently mixed before use. |
| Note | For laboratory research only, not for drug, diagnostic or other use. |
Bioinformation
| Database Links | |
|---|---|
| Gene Symbol | GH1 |
| Gene Full Name | growth hormone 1 |
| Background | The protein encoded by this gene is a member of the somatotropin/prolactin family of hormones which play an important role in growth control. The gene, along with four other related genes, is located at the growth hormone locus on chromosome 17 where they are interspersed in the same transcriptional orientation; an arrangement which is thought to have evolved by a series of gene duplications. The five genes share a remarkably high degree of sequence identity. Alternative splicing generates additional isoforms of each of the five growth hormones, leading to further diversity and potential for specialization. This particular family member is expressed in the pituitary but not in placental tissue as is the case for the other four genes in the growth hormone locus. Mutations in or deletions of the gene lead to growth hormone deficiency and short stature. [provided by RefSeq, Jul 2008] |
| Function | Plays an important role in growth control. Its major role in stimulating body growth is to stimulate the liver and other tissues to secrete IGF-1. It stimulates both the differentiation and proliferation of myoblasts. It also stimulates amino acid uptake and protein synthesis in muscle and other tissues. [UniProt] |
| Cellular Localization | Secreted. [UniProt] |
| Calculated MW | 25 kDa |
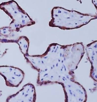
Images (2) Click the Picture to Zoom In
-
ARG41450 anti-GH1 / Growth hormone antibody IHC-P image
Immunohistochemistry: Paraffin-embedded Human placenta tissue stained with ARG41450 anti-GH1 / Growth hormone antibody.
-
ARG41450 anti-GH1 / Growth hormone antibody WB image
Western blot: Human placenta lysate stained with ARG41450 anti-GH1 / Growth hormone antibody.
