ARG58790
anti-GLO1 antibody
anti-GLO1 antibody for IHC-Formalin-fixed paraffin-embedded sections,Western blot and Human,Mouse,Rat
Overview
| Product Description | Rabbit Polyclonal antibody recognizes GLO1 |
|---|---|
| Tested Reactivity | Hu, Ms, Rat |
| Tested Application | IHC-P, WB |
| Host | Rabbit |
| Clonality | Polyclonal |
| Isotype | IgG |
| Target Name | GLO1 |
| Antigen Species | Human |
| Immunogen | Recombinant protein corresponding to A2-M184 of Human GLO1. |
| Conjugation | Un-conjugated |
| Alternate Names | GLO1; Glyoxalase I; Lactoylglutathione Lyase; GLOD1; S-D-Lactoylglutathione Methylglyoxal Lyase; Ketone-Aldehyde Mutase; Methylglyoxalase; Aldoketomutase; EC 4.4.1.5; Glx I; Epididymis Secretory Protein Li 74; Glyoxalase Domain Containing 1; Lactoyl Glutathione Lyase; HEL-S-74; GLYI |
Application Instructions
| Application Suggestion |
|
||||||
|---|---|---|---|---|---|---|---|
| Application Note | IHC-P: Antigen Retrieval: Heat mediated was performed in Citrate buffer (pH 6.0) for 20 min. * The dilutions indicate recommended starting dilutions and the optimal dilutions or concentrations should be determined by the scientist. |
Properties
| Form | Liquid |
|---|---|
| Purification | Affinity purification with immunogen. |
| Buffer | 0.9% NaCl, 0.2% Na2HPO4, 0.05% Sodium azide and 4% Trehalose. |
| Preservative | 0.05% Sodium azide |
| Stabilizer | 4% Trehalose |
| Concentration | 0.5 mg/ml |
| Storage Instruction | For continuous use, store undiluted antibody at 2-8°C for up to a week. For long-term storage, aliquot and store at -20°C or below. Storage in frost free freezers is not recommended. Avoid repeated freeze/thaw cycles. Suggest spin the vial prior to opening. The antibody solution should be gently mixed before use. |
| Note | For laboratory research only, not for drug, diagnostic or other use. |
Bioinformation
| Database Links | |
|---|---|
| Gene Symbol | GLO1 |
| Gene Full Name | glyoxalase I |
| Background | The enzyme encoded by this gene is responsible for the catalysis and formation of S-lactoyl-glutathione from methylglyoxal condensation and reduced glutatione. Glyoxalase I is linked to HLA and is localized to 6p21.3-p21.1, between HLA and the centromere. [provided by RefSeq, Jul 2008] |
| Function | Catalyzes the conversion of hemimercaptal, formed from methylglyoxal and glutathione, to S-lactoylglutathione. [UniProt] |
| Calculated MW | 21 kDa |
| PTM | Acetylation, Disulfide bond, Glutathionylation, Phosphoprotein. [UniProt] |
Images (6) Click the Picture to Zoom In
-
ARG58790 anti-GLO1 antibody IHC-P image
Immunohistochemistry: Paraffin-embedded Human lung cancer tissue. Antigen Retrieval: Heat mediated was performed in Citrate buffer (pH 6.0, epitope retrieval solution) for 20 min. The tissue section was blocked with 10% goat serum. The tissue section was then stained with ARG58790 anti-GLO1 antibody at 1 µg/ml, overnight at 4°C.
-
ARG58790 anti-GLO1 antibody WB image
Western blot: 50 µg of samples under reducing conditions. HeLa, Human placenta, MCF-7, COLO-320, 22RV1, HepG2, A431 and U-937 cell lysates stained with ARG58790 anti-GLO1 antibody at 0.5 µg/ml, overnight at 4°C.
-
ARG58790 anti-GLO1 antibody IHC-P image
Immunohistochemistry: Paraffin-embedded Human mammary cancer tissue. Antigen Retrieval: Heat mediated was performed in Citrate buffer (pH 6.0, epitope retrieval solution) for 20 min. The tissue section was blocked with 10% goat serum. The tissue section was then stained with ARG58790 anti-GLO1 antibody at 1 µg/ml, overnight at 4°C.
-
ARG58790 anti-GLO1 antibody IHC-P image
Immunohistochemistry: Paraffin-embedded Rat small intestine tissue. Antigen Retrieval: Heat mediated was performed in Citrate buffer (pH 6.0, epitope retrieval solution) for 20 min. The tissue section was blocked with 10% goat serum. The tissue section was then stained with ARG58790 anti-GLO1 antibody at 1 µg/ml, overnight at 4°C.
-
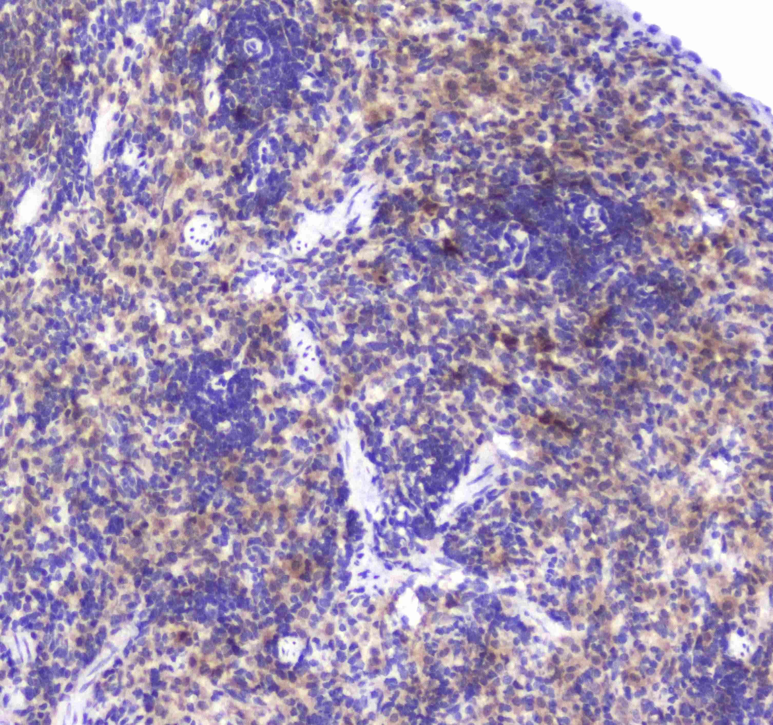
ARG58790 anti-GLO1 antibody IHC-P image
Immunohistochemistry: Paraffin-embedded Rat spleen tissue. Antigen Retrieval: Heat mediated was performed in Citrate buffer (pH 6.0, epitope retrieval solution) for 20 min. The tissue section was blocked with 10% goat serum. The tissue section was then stained with ARG58790 anti-GLO1 antibody at 1 µg/ml, overnight at 4°C.
-
ARG58790 anti-GLO1 antibody WB image
Western blot: 50 µg of samples under reducing conditions. Rat brain, Rat testis, Rat spleen, Rat thymus, Mouse brain, Mouse testis, Mouse thymus and Mouse liver tissue lysates stained with ARG58790 anti-GLO1 antibody at 0.5 µg/ml, overnight at 4°C.
