ARG59206
anti-HOMER3 antibody
anti-HOMER3 antibody for IHC-Formalin-fixed paraffin-embedded sections,Western blot and Human,Mouse,Rat
Overview
| Product Description | Rabbit Polyclonal antibody recognizes HOMER3 |
|---|---|
| Tested Reactivity | Hu, Ms, Rat |
| Tested Application | IHC-P, WB |
| Host | Rabbit |
| Clonality | Polyclonal |
| Isotype | IgG |
| Target Name | HOMER3 |
| Antigen Species | Human |
| Immunogen | Recombinant protein corresponding to R282-A360 of Human HOMER3. |
| Conjugation | Un-conjugated |
| Alternate Names | HOMER-3; VESL3; Homer-3; Homer protein homolog 3 |
Application Instructions
| Application Suggestion |
|
||||||
|---|---|---|---|---|---|---|---|
| Application Note | IHC-P: Antigen Retrieval: Heat mediated was performed in Citrate buffer (pH 6.0) for 20 min. * The dilutions indicate recommended starting dilutions and the optimal dilutions or concentrations should be determined by the scientist. |
Properties
| Form | Liquid |
|---|---|
| Purification | Affinity purification with immunogen. |
| Buffer | 0.9% NaCl, 0.2% Na2HPO4, 0.05% Sodium azide and 5% BSA. |
| Preservative | 0.05% Sodium azide |
| Stabilizer | 5% BSA |
| Concentration | 0.5 mg/ml |
| Storage Instruction | For continuous use, store undiluted antibody at 2-8°C for up to a week. For long-term storage, aliquot and store at -20°C or below. Storage in frost free freezers is not recommended. Avoid repeated freeze/thaw cycles. Suggest spin the vial prior to opening. The antibody solution should be gently mixed before use. |
| Note | For laboratory research only, not for drug, diagnostic or other use. |
Bioinformation
| Database Links | |
|---|---|
| Gene Symbol | HOMER3 |
| Gene Full Name | homer scaffolding protein 3 |
| Background | This gene encodes a member of the HOMER family of postsynaptic density scaffolding proteins that share a similar domain structure consisting of an N-terminal Enabled/vasodilator-stimulated phosphoprotein homology 1 domain which mediates protein-protein interactions, and a carboxy-terminal coiled-coil domain and two leucine zipper motifs that are involved in self-oligomerization. The encoded protein binds numerous other proteins including group I metabotropic glutamate receptors, inositol 1,4,5-trisphosphate receptors and amyloid precursor proteins and has been implicated in diverse biological functions such as neuronal signaling, T-cell activation and trafficking of amyloid beta peptides. Alternative splicing results in multiple transcript variants.[provided by RefSeq, Mar 2009] |
| Function | Postsynaptic density scaffolding protein. Binds and cross-links cytoplasmic regions of GRM1, GRM5, ITPR1, DNM3, RYR1, RYR2, SHANK1 and SHANK3. By physically linking GRM1 and GRM5 with ER-associated ITPR1 receptors, it aids the coupling of surface receptors to intracellular calcium release. Isoforms can be differently regulated and may play an important role in maintaining the plasticity at glutamatergic synapses. [UniProt] |
| Cellular Localization | Cytoplasm. Cell junction, synapse, postsynaptic cell membrane, postsynaptic density. Cell junction, synapse. Note=Postsynaptic density of neuronal cells. [UniProt] |
| Calculated MW | 40 kDa |
Images (4) Click the Picture to Zoom In
-
ARG59206 anti-HOMER3 antibody IHC-P image
Immunohistochemistry: Paraffin-embedded Human mammary cancer tissue. Antigen Retrieval: Heat mediated was performed in Citrate buffer (pH 6.0, epitope retrieval solution) for 20 min. The tissue section was blocked with 10% goat serum. The tissue section was then stained with ARG59206 anti-HOMER3 antibody at 1 µg/ml dilution, overnight at 4°C.
-
ARG59206 anti-HOMER3 antibody WB image
Western blot: 50 µg of samples under reducing conditions. Rat brain, Mouse brain, U-87MG, HeLa and Jurkat whole cell lysates stained with ARG59206 anti-HOMER3 antibody at 0.5 µg/ml, overnight at 4°C.
-
ARG59206 anti-HOMER3 antibody IHC-P image
Immunohistochemistry: Paraffin-embedded Human intestinal cancer tissue. Antigen Retrieval: Heat mediated was performed in Citrate buffer (pH 6.0, epitope retrieval solution) for 20 min. The tissue section was blocked with 10% goat serum. The tissue section was then stained with ARG59206 anti-HOMER3 antibody at 1 µg/ml dilution, overnight at 4°C.
-
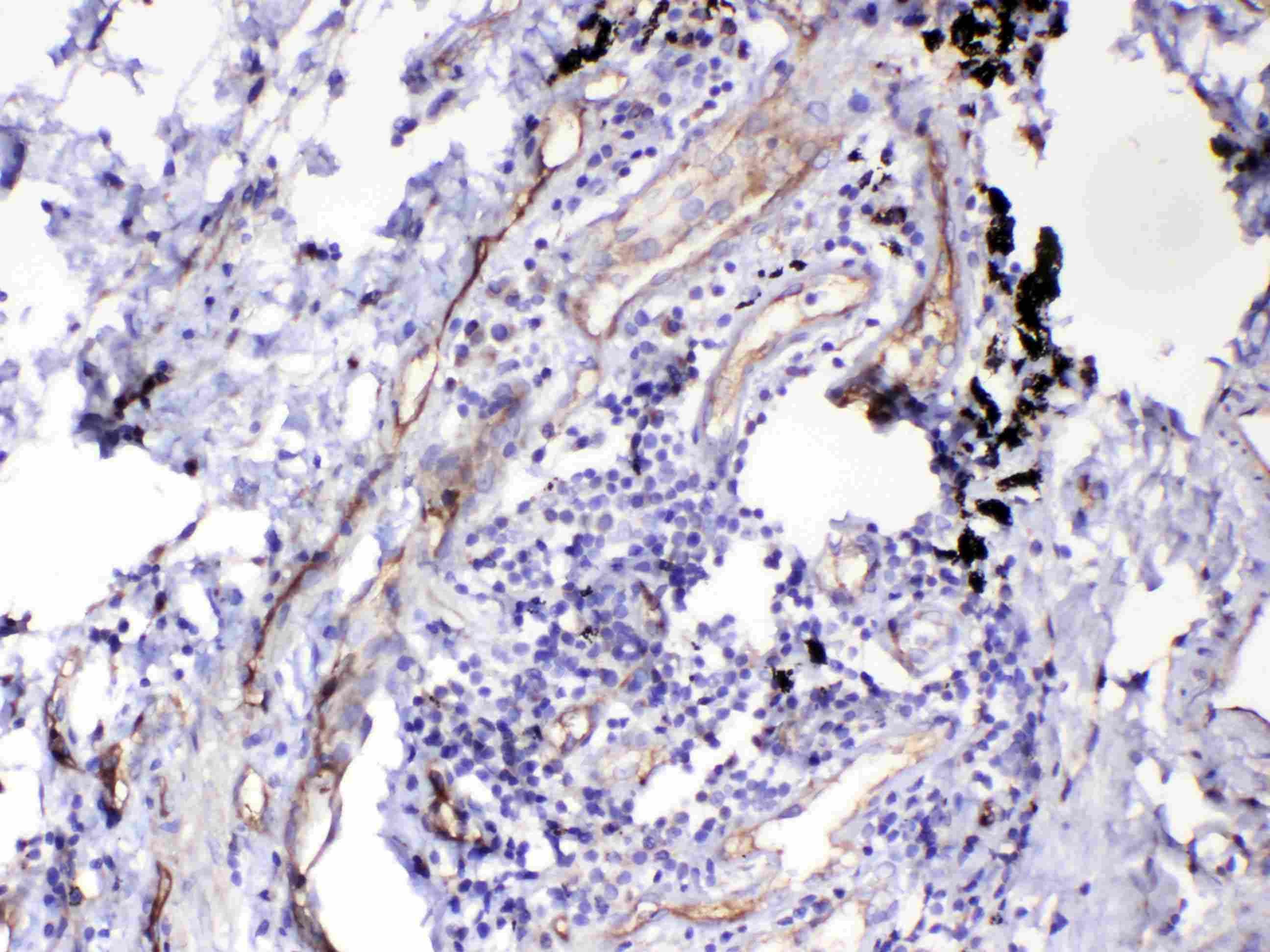
ARG59206 anti-HOMER3 antibody IHC-P image
Immunohistochemistry: Paraffin-embedded Human lung cancer tissue. Antigen Retrieval: Heat mediated was performed in Citrate buffer (pH 6.0, epitope retrieval solution) for 20 min. The tissue section was blocked with 10% goat serum. The tissue section was then stained with ARG59206 anti-HOMER3 antibody at 1 µg/ml dilution, overnight at 4°C.
