ARG56923
anti-IRF5 antibody [10T1]
anti-IRF5 antibody [10T1] for Flow cytometry,ICC/IF,IHC-Formalin-fixed paraffin-embedded sections,Western blot and Human,Mouse
Overview
| Product Description | Mouse Monoclonal antibody [10T1] recognizes IRF5 |
|---|---|
| Tested Reactivity | Hu, Ms |
| Tested Application | FACS, ICC/IF, IHC-P, WB |
| Host | Mouse |
| Clonality | Monoclonal |
| Clone | 10T1 |
| Isotype | IgG1, kappa |
| Target Name | IRF5 |
| Antigen Species | Human |
| Immunogen | Recombinant fragment around aa. 176-240 of Human IRF5. |
| Conjugation | Un-conjugated |
| Alternate Names | SLEB10; Interferon regulatory factor 5; IRF-5 |
Application Instructions
| Application Suggestion |
|
||||||||||
|---|---|---|---|---|---|---|---|---|---|---|---|
| Application Note | IHC-P: Antigen Retrieval: Boil tissue section in 0.1M Sodium citrate buffer (pH 6.0) for 20 min. * The dilutions indicate recommended starting dilutions and the optimal dilutions or concentrations should be determined by the scientist. |
Properties
| Form | Liquid |
|---|---|
| Purification | Purification with Protein G. |
| Buffer | PBS (pH 7.4), 0.02% Sodium azide and 10% Glycerol. |
| Preservative | 0.02% Sodium azide |
| Stabilizer | 10% Glycerol |
| Concentration | 1 mg/ml |
| Storage Instruction | For continuous use, store undiluted antibody at 2-8°C for up to a week. For long-term storage, aliquot and store at -20°C. Storage in frost free freezers is not recommended. Avoid repeated freeze/thaw cycles. Suggest spin the vial prior to opening. The antibody solution should be gently mixed before use. |
| Note | For laboratory research only, not for drug, diagnostic or other use. |
Bioinformation
| Database Links | |
|---|---|
| Gene Symbol | IRF5 |
| Gene Full Name | interferon regulatory factor 5 |
| Background | This gene encodes a member of the interferon regulatory factor (IRF) family, a group of transcription factors with diverse roles, including virus-mediated activation of interferon, and modulation of cell growth, differentiation, apoptosis, and immune system activity. Members of the IRF family are characterized by a conserved N-terminal DNA-binding domain containing tryptophan (W) repeats. Multiple transcript variants encoding different isoforms have been found for this gene, and a 30-nt indel polymorphism (SNP rs60344245) can result in loss of a 10-aa segment. [provided by RefSeq, Mar 2010] |
| Function | Transcription factor involved in the induction of interferons IFNA and INFB and inflammatory cytokines upon virus infection. Activated by TLR7 or TLR8 signaling. [UniProt] |
| Calculated MW | 56 kDa |
| PTM | Phosphorylation of serine and threonine residues in a C-terminal autoinhibitory region, stimulates dimerization, transport into the nucleus, assembly with the coactivator CBP/p300 and initiation of transcription. 'Lys-63'-linked polyubiquitination by TRAF6 is required for activation. |
Images (4) Click the Picture to Zoom In
-
ARG56923 anti-IRF5 antibody [10T1] ICC/IF image
Immunoflorescense: THP-1 cell line stained with ARG56923 anti-IRF5 antibody [10T1] at 1:100 (Green).
DAPI (Blue) for nucleus staining.
-
ARG56923 anti-IRF5 antibody [10T1] FACS image
Flow Cytometry: THP-1 cell line stained with ARG56923 anti-IRF5 antibody [10T1] at 2-5 µg for 1x10^6 cells (red line). Secondary antibody: Goat anti-Mouse IgG Alexa fluor 488 conjugate. Isotype control antibody was Mouse IgG (black line).
-
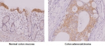
ARG56923 anti-IRF5 antibody [10T1] IHC-P image
Immunohistochemistry: Paraffin embedded sections of normal colon mucosa and colon adenocalcinoma tissue stained with ARG56923 anti-IRF5 antibody [10T1] at 1:50 for 2 hours at RT. Antigen Retrieval: Boil tissue section in 0.1M Sodium citrate buffer (pH 6.0) for 20 min.
-
ARG56923 anti-IRF5 antibody [10T1] WB image
Western blot: Ramos, THP-1, A20 and NIH3T3 stained with ARG56923 anti-IRF5 antibody [10T1] at 1:1000.
