ARG40380
anti-LCP1 / Plastin L antibody
anti-LCP1 / Plastin L antibody for Flow cytometry,ICC/IF,IHC-Formalin-fixed paraffin-embedded sections,Western blot and Human,Mouse,Rat
Overview
| Product Description | Rabbit Polyclonal antibody recognizes LCP1 / Plastin L |
|---|---|
| Tested Reactivity | Hu, Ms, Rat |
| Tested Application | FACS, ICC/IF, IHC-P, WB |
| Host | Rabbit |
| Clonality | Polyclonal |
| Isotype | IgG |
| Target Name | LCP1 / Plastin L |
| Antigen Species | Human |
| Immunogen | Recombinant protein corresponding to M1-K444 of Human LCP1. |
| Conjugation | Un-conjugated |
| Alternate Names | LC64P; L-PLASTIN; CP64; HEL-S-37; LCP-1; LPL; L-plastin; Lymphocyte cytosolic protein 1; Plastin-2; PLS2 |
Application Instructions
| Application Suggestion |
|
||||||||||
|---|---|---|---|---|---|---|---|---|---|---|---|
| Application Note | IHC-P: Antigen Retrieval: Heat mediation was performed in Citrate buffer (pH 6.0) for 20 min. * The dilutions indicate recommended starting dilutions and the optimal dilutions or concentrations should be determined by the scientist. |
||||||||||
| Observed Size | 70 kDa |
Properties
| Form | Liquid |
|---|---|
| Purification | Affinity purification with immunogen. |
| Buffer | 0.2% Na2HPO4, 0.9% NaCl, 0.05% Sodium azide and 4% Trehalose. |
| Preservative | 0.05% Sodium azide |
| Stabilizer | 4% Trehalose |
| Concentration | 0.5 mg/ml |
| Storage Instruction | For continuous use, store undiluted antibody at 2-8°C for up to a week. For long-term storage, aliquot and store at -20°C or below. Storage in frost free freezers is not recommended. Avoid repeated freeze/thaw cycles. Suggest spin the vial prior to opening. The antibody solution should be gently mixed before use. |
| Note | For laboratory research only, not for drug, diagnostic or other use. |
Bioinformation
| Database Links | |
|---|---|
| Gene Symbol | LCP1 |
| Gene Full Name | lymphocyte cytosolic protein 1 (L-plastin) |
| Background | Plastins are a family of actin-binding proteins that are conserved throughout eukaryote evolution and expressed in most tissues of higher eukaryotes. In humans, two ubiquitous plastin isoforms (L and T) have been identified. Plastin 1 (otherwise known as Fimbrin) is a third distinct plastin isoform which is specifically expressed at high levels in the small intestine. The L isoform is expressed only in hemopoietic cell lineages, while the T isoform has been found in all other normal cells of solid tissues that have replicative potential (fibroblasts, endothelial cells, epithelial cells, melanocytes, etc.). However, L-plastin has been found in many types of malignant human cells of non-hemopoietic origin suggesting that its expression is induced accompanying tumorigenesis in solid tissues. [provided by RefSeq, Jul 2008] |
| Function | Actin-binding protein. Plays a role in the activation of T-cells in response to costimulation through TCR/CD3 and CD2 or CD28. Modulates the cell surface expression of IL2RA/CD25 and CD69. [UniProt] |
| Cellular Localization | Cytoplasm, cytoskeleton. Cell junction. Cell projection. Cell projection, ruffle membrane; Peripheral membrane protein; Cytoplasmic side. Note=Relocalizes to the immunological synapse between peripheral blood T-lymphocytes and antibody-presenting cells in response to costimulation through TCR/CD3 and CD2 or CD28 (PubMed:17294403). Associated with the actin cytoskeleton at membrane ruffles. Relocalizes to actin-rich cell projections upon serine phosphorylation (PubMed:16636079). [UniProt] |
| Calculated MW | 70 kDa |
| PTM | Phosphorylated on a serine residue in response to costimulation through TCR/CD3 and CD2 or CD28. Serine phosphorylation promotes association with the actin cytoskeleton and targeting to peripheral cell projections. [UniProt] |
Images (6) Click the Picture to Zoom In
-
ARG40380 anti-LCP1 / Plastin L antibody ICC/IF image
Immunofluorescence: A431 cells were blocked with 10% goat serum and then stained with ARG40380 anti-LCP1 / Plastin L antibody (green) at 2 µg/ml dilution, overnight at 4°C. DAPI (blue) for nuclear staining.
-
ARG40380 anti-LCP1 / Plastin L antibody IHC-P image
Immunohistochemistry: Paraffin-embedded Human B lymphocytic tumor tissue. Antigen Retrieval: Heat mediation was performed in Citrate buffer (pH 6.0, epitope retrieval solution) for 20 min. The tissue section was blocked with 10% goat serum. The tissue section was then stained with ARG40380 anti-LCP1 / Plastin L antibody at 1 µg/ml, overnight at 4°C.
-
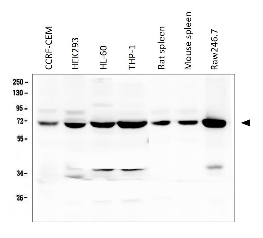
ARG40380 anti-LCP1 / Plastin L antibody WB image
Western blot: 50 µg of samples under reducing conditions. Human CCRF-CEM, HEK293, HL-60, THP-1, Rat spleen, Mouse spleen and Raw246.7 cell lysates stained with ARG40380 anti-LCP1 / Plastin L antibody at 0.5 µg/ml, overnight at 4°C.
-
ARG40380 anti-LCP1 / Plastin L antibody FACS image
Flow Cytometry: U2OS cells were blocked with 10% normal goat serum and then stained with ARG40380 anti-LCP1 / Plastin L antibody (blue) at 1 µg/10^6 cells for 30 min at 20°C, followed by incubation with DyLight®488 labelled secondary antibody. Isotype control antibody (green) was rabbit IgG (1 µg/10^6 cells) used under the same conditions. Unlabelled sample (red) was also used as a control.
-
ARG40380 anti-LCP1 / Plastin L antibody IHC-P image
Immunohistochemistry: Paraffin-embedded Human tonsil tissue. Antigen Retrieval: Heat mediation was performed in Citrate buffer (pH 6.0, epitope retrieval solution) for 20 min. The tissue section was blocked with 10% goat serum. The tissue section was then stained with ARG40380 anti-LCP1 / Plastin L antibody at 1 µg/ml, overnight at 4°C.
-
ARG40380 anti-LCP1 / Plastin L antibody IHC-P image
Immunohistochemistry: Paraffin-embedded Human tonsil tissue. Antigen Retrieval: Heat mediation was performed in Citrate buffer (pH 6.0, epitope retrieval solution) for 20 min. The tissue section was blocked with 10% goat serum. The tissue section was then stained with ARG40380 anti-LCP1 / Plastin L antibody at 1 µg/ml, overnight at 4°C.
