ARG44868
anti-MAST4 antibody
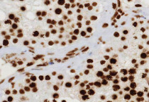
anti-MAST4 antibody for IHC-Formalin-fixed paraffin-embedded sections and Human
Overview
| Product Description | Mouse Monoclonal antibody recognizes MAST4 |
|---|---|
| Tested Reactivity | Hu |
| Tested Application | IHC-P |
| Host | Mouse |
| Clonality | Monoclonal |
| Isotype | IgG1 |
| Target Name | MAST4 |
| Antigen Species | Human |
| Epitope | KSAEPPRSPL LKRVQSEEKL SPSYGSDKKH LCSRKHSLEV TQEEVQREQS QREAPLQSLD ENVCDVPPLS RARPVEQGCL KRPVSRKVGR QESVDDLDRD KLKAKVVVKK ADGFPEKQES HQKSHGPGSD LENFALFKLE EREKKVYPKA VERSSTFENK ASMQEAPPLG SLLKDALHKQ ASVRASEGAM SDGRVPAEHR QGGGDFRRAP APGTLQDGLC HSLDRGISGK GEGTEKSSQA KELLRCEKLD SKLANIDYLR KKMSLEDKED NLCPVLKPKM TAGSHECLPG NPVRPTGGQQ EPPPASESRA |
| Conjugation | Un-conjugated |
| Alternate Names | MAST4; Microtubule Associated Serine/Threonine Kinase Family Member 4; KIAA0303; Microtubule-Associated Serine/Threonine-Protein Kinase 4; EC 2.7.11.1; EC 2.7.11 |
Application Instructions
| Application Suggestion |
|
||||
|---|---|---|---|---|---|
| Application Note | * The dilutions indicate recommended starting dilutions and the optimal dilutions or concentrations should be determined by the scientist. |
Properties
| Form | Liquid |
|---|---|
| Purification | Protein A purification |
| Buffer | PBS with 0.09% sodium azide |
| Preservative | 0.09% sodium azide |
| Storage Instruction | For continuous use, store undiluted antibody at 2-8°C for up to a week. For long-term storage, aliquot and store at -20°C or below. Storage in frost free freezers is not recommended. Avoid repeated freeze/thaw cycles. Suggest spin the vial prior to opening. The antibody solution should be gently mixed before use. |
| Note | For laboratory research only, not for drug, diagnostic or other use. |
Bioinformation
| Database Links |
Swiss-port # O15021 Human Microtubule-associated serine/threonine-protein kinase 4 |
|---|---|
| Gene Symbol | MAST4 |
| Gene Full Name | Microtubule Associated Serine/Threonine Kinase Family Member 4 |
| Background | This gene encodes a member of the microtubule-associated serine/threonine protein kinases. The proteins in this family contain a domain that gives the kinase the ability to determine its own scaffold to control the effects of their kinase activities. Alternative splicing results in multiple transcript variants encoding different isoforms. [provided by RefSeq, Mar 2014] |
| Cellular Localization | Cytoplasm. [UniProt] |
| PTM | Phosphoprotein. [UniProt] |
Images (1) Click the Picture to Zoom In
