ARG40483
anti-MNAT1 antibody
anti-MNAT1 antibody for IHC-Formalin-fixed paraffin-embedded sections and Human,Mouse,Rat
Overview
| Product Description | Rabbit Polyclonal antibody recognizes MNAT1 |
|---|---|
| Tested Reactivity | Hu, Ms, Rat |
| Tested Application | IHC-P |
| Host | Rabbit |
| Clonality | Polyclonal |
| Isotype | IgG |
| Target Name | MNAT1 |
| Antigen Species | Human |
| Immunogen | Recombinant protein corresponding to L92-A278 of Human MNAT1. |
| Conjugation | Un-conjugated |
| Alternate Names | Cyclin-G1-interacting protein; RING finger protein 66; RNF66; MAT1; CDK-activating kinase assembly factor MAT1; CAP35; TFB3; CDK7/cyclin-H assembly factor; Menage a trois; RING finger protein MAT1; p36; p35 |
Application Instructions
| Application Suggestion |
|
||||
|---|---|---|---|---|---|
| Application Note | IHC-P: Antigen Retrieval: By heat mediation. * The dilutions indicate recommended starting dilutions and the optimal dilutions or concentrations should be determined by the scientist. |
Properties
| Form | Liquid |
|---|---|
| Purification | Affinity purification with immunogen. |
| Buffer | 0.2% Na2HPO4, 0.9% NaCl, 0.05% Sodium azide and 5% BSA. |
| Preservative | 0.05% Sodium azide |
| Stabilizer | 5% BSA |
| Concentration | 0.5 mg/ml |
| Storage Instruction | For continuous use, store undiluted antibody at 2-8°C for up to a week. For long-term storage, aliquot and store at -20°C or below. Storage in frost free freezers is not recommended. Avoid repeated freeze/thaw cycles. Suggest spin the vial prior to opening. The antibody solution should be gently mixed before use. |
| Note | For laboratory research only, not for drug, diagnostic or other use. |
Bioinformation
| Database Links |
Swiss-port # P51948 Human CDK-activating kinase assembly factor MAT1 Swiss-port # P51949 Mouse CDK-activating kinase assembly factor MAT1 |
|---|---|
| Gene Symbol | MNAT1 |
| Gene Full Name | MNAT CDK-activating kinase assembly factor 1 |
| Background | The protein encoded by this gene, along with cyclin H and CDK7, forms the CDK-activating kinase (CAK) enzymatic complex. This complex activates several cyclin-associated kinases and can also associate with TFIIH to activate transcription by RNA polymerase II. Two transcript variants encoding different isoforms have been found for this gene. [provided by RefSeq, Sep 2011] |
| Function | Stabilizes the cyclin H-CDK7 complex to form a functional CDK-activating kinase (CAK) enzymatic complex. CAK activates the cyclin-associated kinases CDK1, CDK2, CDK4 and CDK6 by threonine phosphorylation. CAK complexed to the core-TFIIH basal transcription factor activates RNA polymerase II by serine phosphorylation of the repetitive C-terminal domain (CTD) of its large subunit (POLR2A), allowing its escape from the promoter and elongation of the transcripts. Involved in cell cycle control and in RNA transcription by RNA polymerase II. [UniProt] |
| Cellular Localization | Nucleus. [UniProt] |
| Calculated MW | 36 kDa |
Images (3) Click the Picture to Zoom In
-
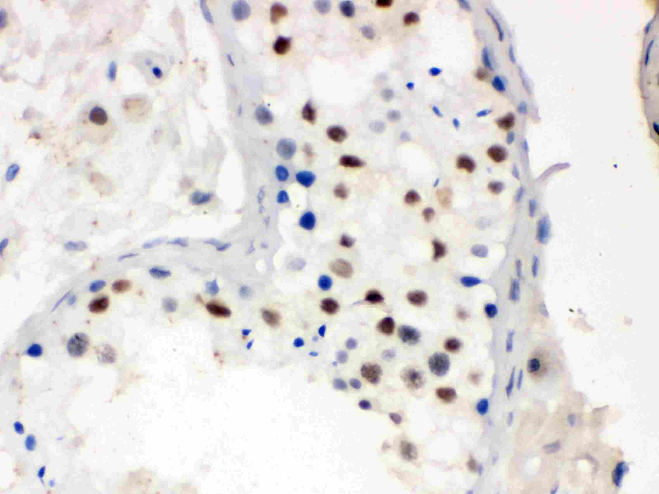
ARG40483 anti-MNAT1 antibody IHC-P image
Immunohistochemistry: Paraffin-embedded Mouse testis stained with ARG40483 anti-MNAT1 antibody.
-
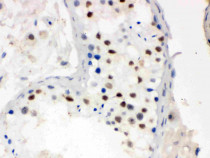
ARG40483 anti-MNAT1 antibody IHC-P image
Immunohistochemistry: Paraffin-embedded Rat testis stained with ARG40483 anti-MNAT1 antibody.
-
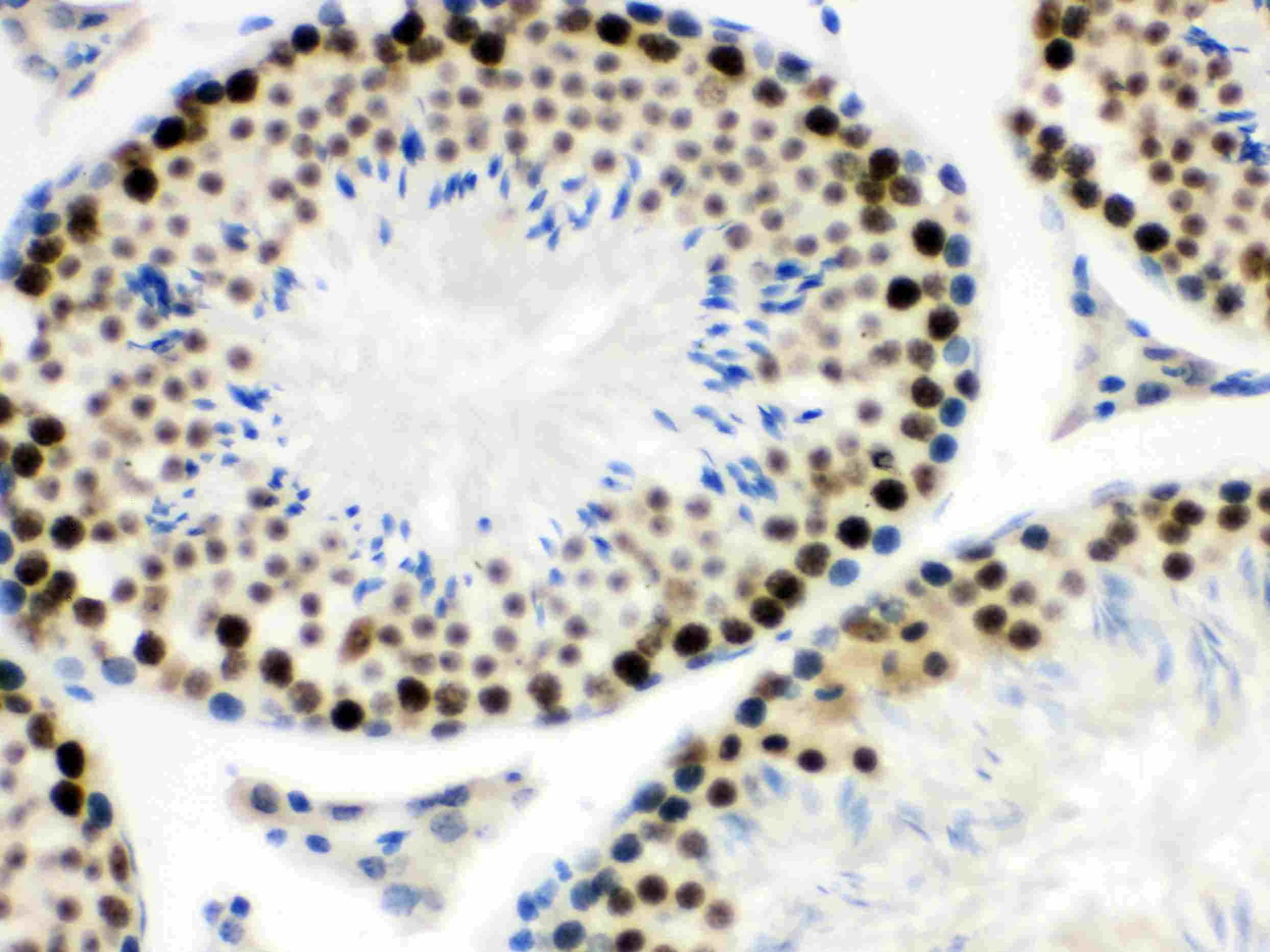
ARG40483 anti-MNAT1 antibody IHC-P image
Immunohistochemistry: Paraffin-embedded Human testis stained with ARG40483 anti-MNAT1 antibody.
