ARG44236
anti-MOSPD2 antibody
anti-MOSPD2 antibody for Flow cytometry,IHC-Formalin-fixed paraffin-embedded sections,Western blot and Human,Mouse,Rat
Overview
| Product Description | Rabbit Polyclonal antibody recognizes MOSPD2 |
|---|---|
| Tested Reactivity | Hu, Ms, Rat |
| Tested Application | FACS, IHC-P, WB |
| Host | Rabbit |
| Clonality | Polyclonal |
| Isotype | IgG |
| Target Name | MOSPD2 |
| Antigen Species | Human |
| Immunogen | Recombinant protein of Human MOSPD2 |
| Conjugation | Un-conjugated |
| Protein Full Name | Motile sperm domain-containing protein 2 |
| Alternate Names | MOSPD2; Motile Sperm Domain Containing 2; Motile Sperm Domain-Containing Protein 2; MGC26706 |
Application Instructions
| Application Suggestion |
|
||||||||
|---|---|---|---|---|---|---|---|---|---|
| Application Note | * The dilutions indicate recommended starting dilutions and the optimal dilutions or concentrations should be determined by the scientist. |
Properties
| Form | Liquid |
|---|---|
| Purification | Affinity purification with immunogen. |
| Buffer | 0.9% NaCl, 0.2% Na2HPO4, 0.05% Sodium azide and 5% BSA. |
| Preservative | 0.05% Sodium azide |
| Stabilizer | 5% BSA |
| Concentration | 0.5 mg/ml |
| Storage Instruction | For continuous use, store undiluted antibody at 2-8°C for up to a week. For long-term storage, aliquot and store at -20°C or below. Storage in frost free freezers is not recommended. Avoid repeated freeze/thaw cycles. Suggest spin the vial prior to opening. The antibody solution should be gently mixed before use. |
| Note | For laboratory research only, not for drug, diagnostic or other use. |
Bioinformation
| Database Links |
Swiss-port # Q8NHP6 Human Motile sperm domain-containing protein 2 Swiss-port # Q9CWP6 Mouse Motile sperm domain-containing protein 2 |
|---|---|
| Gene Symbol | MOSPD2 |
| Gene Full Name | Motile Sperm Domain Containing 2 |
| Background | Involved in positive regulation of monocyte chemotaxis and positive regulation of neutrophil chemotaxis. Located in endoplasmic reticulum and endoplasmic reticulum-endosome membrane contact site. Is integral component of plasma membrane. |
| Function | Endoplasmic reticulum-anchored protein that mediates the formation of contact sites between the endoplasmic (ER) and endosomes, mitochondria or Golgi through interaction with conventionnal- and phosphorylated-FFAT-containing organelle-bound proteins. |
| Cellular Localization | Endoplasmic reticulum, Membrane |
| Calculated MW | 60 kDa |
Images (7) Click the Picture to Zoom In
-
ARG44236 anti-MOSPD2 antibody IHC-P image
Immunohistochemistry: Human brain stained with ARG44236 anti-MOSPD2 antibody at 2 μg/ml dilution.
-
ARG44236 anti-MOSPD2 antibody FACS image
Flow Cytometry: HeLa stained with ARG44236 anti-MOSPD2 antibody at 1 μg/1x10^6 cells dilution.
-
ARG44236 anti-MOSPD2 antibody IHC-P image
Immunohistochemistry: Rat brain stained with ARG44236 anti-MOSPD2 antibody at 2 μg/ml dilution.
-
ARG44236 anti-MOSPD2 antibody WB image
Western blot: C6, RH35 and PC-12 stained with ARG44236 anti-MOSPD2 antibody at 0.5 μg/mL dilution.
-
ARG44236 anti-MOSPD2 antibody IHC-P image
Immunohistochemistry: Mouse brain stained with ARG44236 anti-MOSPD2 antibody at 2 μg/ml dilution.
-
ARG44236 anti-MOSPD2 antibody WB image
Western blot: Neuro-2a and HEPA1-6 stained with ARG44236 anti-MOSPD2 antibody at 0.5 μg/mL dilution.
-
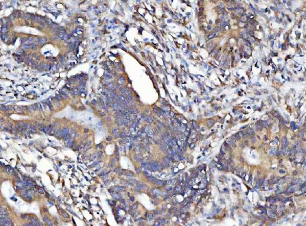
ARG44236 anti-MOSPD2 antibody IHC-P image
Immunohistochemistry: Human colorectal adenocarcinoma stained with ARG44236 anti-MOSPD2 antibody at 2 μg/ml dilution.
