ARG66595
anti-MRPL39 antibody
anti-MRPL39 antibody for IHC-Formalin-fixed paraffin-embedded sections,Western blot and Human,Mouse
Overview
| Product Description | Rabbit Polyclonal antibody recognizes MRPL39 |
|---|---|
| Tested Reactivity | Hu, Ms |
| Tested Application | IHC-P, WB |
| Host | Rabbit |
| Clonality | Polyclonal |
| Isotype | IgG |
| Target Name | MRPL39 |
| Antigen Species | Human |
| Immunogen | Synthetic peptide corresponding to aa. 270-350 of Human MRPL39. |
| Conjugation | Un-conjugated |
| Alternate Names | RPML5; PRED66; L5mt; PRED22; MSTP003; C21orf92; MRPL5; 39S ribosomal protein L5, mitochondrial; MRP-L5; 39S ribosomal protein L39, mitochondrial; L39mt; MRP-L39 |
Application Instructions
| Application Suggestion |
|
||||||
|---|---|---|---|---|---|---|---|
| Application Note | * The dilutions indicate recommended starting dilutions and the optimal dilutions or concentrations should be determined by the scientist. | ||||||
| Observed Size | 38 kDa |
Properties
| Form | Liquid |
|---|---|
| Purification | Affinity purification with immunogen. |
| Buffer | PBS, 0.02% Sodium azide, 50% Glycerol and 0.5% BSA. |
| Preservative | 0.02% Sodium azide |
| Stabilizer | 50% Glycerol and 0.5% BSA |
| Concentration | 1 mg/ml |
| Storage Instruction | For continuous use, store undiluted antibody at 2-8°C for up to a week. For long-term storage, aliquot and store at -20°C. Storage in frost free freezers is not recommended. Avoid repeated freeze/thaw cycles. Suggest spin the vial prior to opening. The antibody solution should be gently mixed before use. |
| Note | For laboratory research only, not for drug, diagnostic or other use. |
Bioinformation
| Database Links |
Swiss-port # Q9JKF7 Mouse 39S ribosomal protein L39, mitochondrial Swiss-port # Q9NYK5 Human 39S ribosomal protein L39, mitochondrial |
|---|---|
| Gene Symbol | MRPL39 |
| Gene Full Name | mitochondrial ribosomal protein L39 |
| Background | Mammalian mitochondrial ribosomal proteins are encoded by nuclear genes and help in protein synthesis within the mitochondrion. Mitochondrial ribosomes (mitoribosomes) consist of a small 28S subunit and a large 39S subunit. They have an estimated 75% protein to rRNA composition compared to prokaryotic ribosomes, where this ratio is reversed. Another difference between mammalian mitoribosomes and prokaryotic ribosomes is that the latter contain a 5S rRNA. Among different species, the proteins comprising the mitoribosome differ greatly in sequence, and sometimes in biochemical properties, which prevents easy recognition by sequence homology. This gene encodes a 39S subunit protein. Two transcript variants encoding distinct isoforms have been described. A pseudogene corresponding to this gene is found on chromosome 5q. [provided by RefSeq, Jul 2008] |
| Cellular Localization | Mitochondrion. [UniProt] |
| Calculated MW | 39 kDa |
Images (3) Click the Picture to Zoom In
-
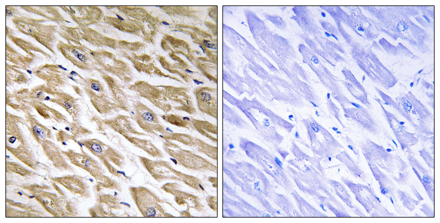
ARG66595 anti-MRPL39 antibody IHC-P image
Immunohistochemistry: Paraffin-embedded Human heart stained with ARG66595 anti-MRPL39 antibody. The picture on the right is blocked with the synthetic peptide.
-
ARG66595 anti-MRPL39 antibody WB image
Western blot: 3T3 cell lysate stained with ARG66595 anti-MRPL39 antibody at 1:1000 dilution.
-
ARG66595 anti-MRPL39 antibody WB image
Western blot: Jurkat cell lysate stained with ARG66595 anti-MRPL39 antibody. The lane on the right is blocked with the synthetic peptide.
