ARG57871
anti-MSK1 antibody
anti-MSK1 antibody for ICC/IF,IHC-Formalin-fixed paraffin-embedded sections,Western blot and Human,Mouse,Rat
Overview
| Product Description | Rabbit Polyclonal antibody recognizes MSK1 |
|---|---|
| Tested Reactivity | Hu, Ms, Rat |
| Tested Application | ICC/IF, IHC-P, WB |
| Host | Rabbit |
| Clonality | Polyclonal |
| Isotype | IgG |
| Target Name | MSK1 |
| Antigen Species | Human |
| Immunogen | Partial recombinant protein corresponding to aa. 540-665 of Human MSK1. |
| Conjugation | Un-conjugated |
| Alternate Names | RSKL; 90 kDa ribosomal protein S6 kinase 5; RSK-like protein kinase; MSK1; Nuclear mitogen- and stress-activated protein kinase 1; S6K-alpha-5; RLPK; EC 2.7.11.1; MSPK1; Ribosomal protein S6 kinase alpha-5 |
Application Instructions
| Application Suggestion |
|
||||||||
|---|---|---|---|---|---|---|---|---|---|
| Application Note | * The dilutions indicate recommended starting dilutions and the optimal dilutions or concentrations should be determined by the scientist. | ||||||||
| Observed Size | ~ 90 kDa |
Properties
| Form | Liquid |
|---|---|
| Purification | Affinity purification with immunogen. |
| Buffer | PBS, 0.025% Sodium azide and 2.5% BSA. |
| Preservative | 0.025% Sodium azide |
| Stabilizer | 2.5% BSA |
| Concentration | 0.5 mg/ml |
| Storage Instruction | For continuous use, store undiluted antibody at 2-8°C for up to a week. For long-term storage, aliquot and store at -20°C or below. Storage in frost free freezers is not recommended. Avoid repeated freeze/thaw cycles. Suggest spin the vial prior to opening. The antibody solution should be gently mixed before use. |
| Note | For laboratory research only, not for drug, diagnostic or other use. |
Bioinformation
| Database Links |
Swiss-port # O75582 Human Ribosomal protein S6 kinase alpha-5 Swiss-port # Q8C050 Mouse Ribosomal protein S6 kinase alpha-5 |
|---|---|
| Gene Symbol | RPS6KA5 |
| Gene Full Name | ribosomal protein S6 kinase, 90kDa, polypeptide 5 |
| Function | Serine/threonine-protein kinase that is required for the mitogen or stress-induced phosphorylation of the transcription factors CREB1 and ATF1 and for the regulation of the transcription factors RELA, STAT3 and ETV1/ER81, and that contributes to gene activation by histone phosphorylation and functions in the regulation of inflammatory genes. Phosphorylates CREB1 and ATF1 in response to mitogenic or stress stimuli such as UV-C irradiation, epidermal growth factor (EGF) and anisomycin. Plays an essential role in the control of RELA transcriptional activity in response to TNF and upon glucocorticoid, associates in the cytoplasm with the glucocorticoid receptor NR3C1 and contributes to RELA inhibition and repression of inflammatory gene expression. In skeletal myoblasts is required for phosphorylation of RELA at 'Ser-276' during oxidative stress. In erythropoietin-stimulated cells, is necessary for the 'Ser-727' phosphorylation of STAT3 and regulation of its transcriptional potential. Phosphorylates ETV1/ER81 at 'Ser-191' and 'Ser-216', and thereby regulates its ability to stimulate transcription, which may be important during development and breast tumor formation. Directly represses transcription via phosphorylation of 'Ser-1' of histone H2A. Phosphorylates 'Ser-10' of histone H3 in response to mitogenics, stress stimuli and EGF, which results in the transcriptional activation of several immediate early genes, including proto-oncogenes c-fos/FOS and c-jun/JUN. May also phosphorylate 'Ser-28' of histone H3. Mediates the mitogen- and stress-induced phosphorylation of high mobility group protein 1 (HMGN1/HMG14). In lipopolysaccharide-stimulated primary macrophages, acts downstream of the Toll-like receptor TLR4 to limit the production of pro-inflammatory cytokines. Functions probably by inducing transcription of the MAP kinase phosphatase DUSP1 and the anti-inflammatory cytokine interleukin 10 (IL10), via CREB1 and ATF1 transcription factors. Plays a role in neuronal cell death by mediating the downstream effects of excitotoxic injury. [UniProt] |
| Calculated MW | 90 kDa |
| PTM | Ser-376 and Thr-581 phosphorylation is required for kinase activity. Ser-376 and Ser-212 are autophosphorylated by the C-terminal kinase domain, and their phosphorylation is essential for the catalytic activity of the N-terminal kinase domain. Phosphorylated at Ser-360, Thr-581 and Thr-700 by MAPK1/ERK2, MAPK3/ERK1 and MAPK14/p38-alpha. Autophosphorylated at Ser-750, Ser-752 and Ser-758 by the N-terminal kinase domain. Ubiquitinated. [UniProt] |
Images (5) Click the Picture to Zoom In
-
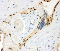
ARG57871 anti-MSK1 antibody IHC-P image
Immunohistochemistry: Paraffin-embedded Human placenta tissue stained with ARG57871 anti-MSK1 antibody.
-
ARG57871 anti-MSK1 antibody WB image
Western blot: 1) Human placenta, 2) Rat brain, 3) Jurkat, 4) HeLa, 5) PANC, 6) A549 and 7) HepG2 cell lysates stained with ARG57871 anti-MSK1 antibody.
-
ARG57871 anti-MSK1 antibody IHC-P image
Immunohistochemistry: Paraffin-embedded Mouse heart tissue stained with ARG57871 anti-MSK1 antibody.
-
ARG57871 anti-MSK1 antibody IHC-P image
Immunohistochemistry: Paraffin-embedded Rat brain tissue stained with ARG57871 anti-MSK1 antibody.
-
ARG57871 anti-MSK1 antibody WB image
Western blot: 0.5 ng of recombinant human MSK1 protein stained with ARG57871 anti-MSK1 antibody.
