ARG40472
anti-MSRA antibody
anti-MSRA antibody for Flow cytometry,ICC/IF,IHC-Formalin-fixed paraffin-embedded sections,Western blot and Human,Mouse
Overview
| Product Description | Rabbit Polyclonal antibody recognizes MSRA |
|---|---|
| Tested Reactivity | Hu, Ms |
| Predict Reactivity | Bov |
| Tested Application | FACS, ICC/IF, IHC-P, WB |
| Host | Rabbit |
| Clonality | Polyclonal |
| Isotype | IgG |
| Target Name | MSRA |
| Antigen Species | Human |
| Immunogen | KLH-conjugated synthetic peptide corresponding to aa. 34-63 of Human MSRA. |
| Conjugation | Un-conjugated |
| Alternate Names | EC 1.8.4.11; Peptide Met; O; Peptide-methionine; Protein-methionine-S-oxide reductase; Mitochondrial peptide methionine sulfoxide reductase; S; PMSR |
Application Instructions
| Application Suggestion |
|
||||||||||
|---|---|---|---|---|---|---|---|---|---|---|---|
| Application Note | * The dilutions indicate recommended starting dilutions and the optimal dilutions or concentrations should be determined by the scientist. | ||||||||||
| Positive Control | Human kidney | ||||||||||
| Observed Size | ~ 26 kDa |
Properties
| Form | Liquid |
|---|---|
| Purification | This antibody is prepared by Saturated Ammonium Sulfate (SAS) precipitation followed by dialysis against PBS. |
| Buffer | PBS and 0.09% (W/V) Sodium azide. |
| Preservative | 0.09% (W/V) Sodium azide. |
| Storage Instruction | For continuous use, store undiluted antibody at 2-8°C for up to a week. For long-term storage, aliquot and store at -20°C or below. Storage in frost free freezers is not recommended. Avoid repeated freeze/thaw cycles. Suggest spin the vial prior to opening. The antibody solution should be gently mixed before use. |
| Note | For laboratory research only, not for drug, diagnostic or other use. |
Bioinformation
| Database Links |
Swiss-port # Q9D6Y7 Mouse Mitochondrial peptide methionine sulfoxide reductase Swiss-port # Q9UJ68 Human Mitochondrial peptide methionine sulfoxide reductase |
|---|---|
| Gene Symbol | MSRA |
| Gene Full Name | methionine sulfoxide reductase A |
| Background | This gene encodes a ubiquitous and highly conserved protein that carries out the enzymatic reduction of methionine sulfoxide to methionine. Human and animal studies have shown the highest levels of expression in kidney and nervous tissue. The protein functions in the repair of oxidatively damaged proteins to restore biological activity. Alternative splicing results in multiple transcript variants. [provided by RefSeq, May 2014] |
| Function | Has an important function as a repair enzyme for proteins that have been inactivated by oxidation. Catalyzes the reversible oxidation-reduction of methionine sulfoxide in proteins to methionine. [UniProt] |
| Cellular Localization | Isoform 1: Mitochondrion. Isoform 2: Cytoplasm. Isoform 3: Cytoplasm. Nucleus. Isoform 5: Cytoplasm. Membrane; Lipid-anchor. [UniProt] |
| Calculated MW | 26 kDa |
Images (4) Click the Picture to Zoom In
-
ARG40472 anti-MSRA antibody ICC/IF image
Immunofluorescence: A549 cells stained with ARG40472 anti-MSRA antibody (green) at 1:100 dilution. Cytoplasmic actin was counterstained with Dylight Fluor® 554 conjugated Phalloidin (red).
-
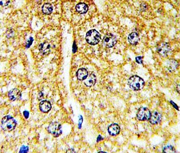
ARG40472 anti-MSRA antibody IHC-P image
Immunohistochemistry: Formalin-fixed and paraffin-embedded Human hepatocarcinoma stained with ARG40472 anti-MSRA antibody.
-
ARG40472 anti-MSRA antibody WB image
Western blot: 20 µg of Human kidney lysate stained with ARG40472 anti-MSRA antibody at 1:1000 dilution.
-
ARG40472 anti-MSRA antibody FACS image
Flow Cytometry: MDA-MB435 cells stained with ARG40472 anti-MSRA antibody (bottom histogram) or without primary antibody as control (top histogram), followed by incubation with FITC labelled secondary antibody.
