ARG10790
anti-PDE12 antibody
anti-PDE12 antibody for ELISA,IHC-Formalin-fixed paraffin-embedded sections,Immunoprecipitation,Western blot and Human,Mouse,Rat
Overview
| Product Description | Rabbit Polyclonal antibody recognizes PDE12 |
|---|---|
| Tested Reactivity | Hu, Ms, Rat |
| Tested Application | ELISA, IHC-P, IP, WB |
| Host | Rabbit |
| Clonality | Polyclonal |
| Isotype | IgG |
| Target Name | PDE12 |
| Antigen Species | Rat |
| Immunogen | Synthetic peptide taken within aa. 370-420 from Rat PDE12. |
| Conjugation | Un-conjugated |
| Alternate Names | EC 3.1.4.-; 2',5'-phosphodiesterase 12; Mitochondrial deadenylase; EC 3.1.13.4; 2'-PDE; 2-PDE |
Application Instructions
| Application Suggestion |
|
||||||||||
|---|---|---|---|---|---|---|---|---|---|---|---|
| Application Note | * The dilutions indicate recommended starting dilutions and the optimal dilutions or concentrations should be determined by the scientist. |
Properties
| Form | Liquid |
|---|---|
| Purification | Affinity purified. |
| Buffer | Tris-Glycine Buffer (pH 7.4 - 7.8), Hepes, 0.02% Sodium azide, 30% Glycerol and 0.5% BSA. |
| Preservative | 0.02% Sodium azide |
| Stabilizer | 30% Glycerol and 0.5% BSA |
| Concentration | 0.5 mg/ml |
| Storage Instruction | For continuous use, store undiluted antibody at 2-8°C for up to a week. For long-term storage, aliquot and store at -20°C. Storage in frost free freezers is not recommended. Avoid repeated freeze/thaw cycles. Suggest spin the vial prior to opening. The antibody solution should be gently mixed before use. |
| Note | For laboratory research only, not for drug, diagnostic or other use. |
Bioinformation
| Database Links | |
|---|---|
| Gene Symbol | Pde12 |
| Gene Full Name | phosphodiesterase 12 |
| Function | Enzyme that cleaves 2',5'-phosphodiester bond linking adenosines of the 5'-triphosphorylated oligoadenylates, triphosphorylated oligoadenylates referred as 2-5A modulates the 2-5A system. This enzyme degraded triphosphorylated 2-5A to produce AMP and ATP. Also cleaves 3',5'-phosphodiester bond of oligoadenylates. Plays a role as a negative regulator of the The 2-5A system that is one of the major pathways for antiviral and antitumor functions induced by interferons (IFNs). Suppression of this enzyme induces reduction of viral replication in Hela cells, thus counteracting the antiviral pathway probably by inhibiting the 2-5A system. [UniProt] |
| Calculated MW | 67 kDa |
Images (3) Click the Picture to Zoom In
-
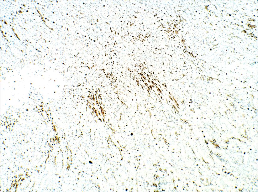
ARG10790 anti-PDE12 antibody IHC-P image
Immunohistochemistry: Formalin-fixed and paraffin-embedded Mouse kidney stained with ARG10790 anti-PDE12 antibody at 1:100 dilution.
-
ARG10790 anti-PDE12 antibody WB image
Western blot: 1) Rat kidney, 2) Rat spleen, and 3) Rat brain lysates stained with ARG10790 anti-PDE12 antibody at 1:500 dilution.
-
ARG10790 anti-PDE12 antibody IHC-P image
Immunohistochemistry: Formalin-fixed and paraffin-embedded Mouse kidney stained with ARG10790 anti-PDE12 antibody at 1:100 dilution.
