ARG42196
anti-PHF21A / BHC80 antibody
anti-PHF21A / BHC80 antibody for Flow cytometry,IHC-Formalin-fixed paraffin-embedded sections,Western blot and Human,Mouse,Rat
Overview
| Product Description | Rabbit Polyclonal antibody recognizes PHF21A / BHC80 |
|---|---|
| Tested Reactivity | Hu, Ms, Rat |
| Tested Application | FACS, IHC-P, WB |
| Host | Rabbit |
| Clonality | Polyclonal |
| Isotype | IgG |
| Target Name | PHF21A / BHC80 |
| Antigen Species | Human |
| Immunogen | Recombinant protein corresponding to M1-Q97 of Human PHF21A / BHC80. |
| Conjugation | Un-conjugated |
| Alternate Names | PHD finger protein 21A; BM-006; BHC80a; BHC80; BRAF35-HDAC complex protein BHC80 |
Application Instructions
| Application Suggestion |
|
||||||||
|---|---|---|---|---|---|---|---|---|---|
| Application Note | IHC-P: Antigen Retrieval: Heat mediation was performed in Citrate buffer (pH 6.0, epitope retrieval solution) for 20 min. * The dilutions indicate recommended starting dilutions and the optimal dilutions or concentrations should be determined by the scientist. |
||||||||
| Positive Control | A549, Rat brain and Mouse brain | ||||||||
| Observed Size | ~ 95 kDa |
Properties
| Form | Liquid |
|---|---|
| Purification | Affinity purification with immunogen. |
| Buffer | 0.2% Na2HPO4, 0.9% NaCl, 0.05% Sodium azide and 4% Trehalose. |
| Preservative | 0.05% Sodium azide |
| Stabilizer | 4% Trehalose |
| Concentration | 0.5 mg/ml |
| Storage Instruction | For continuous use, store undiluted antibody at 2-8°C for up to a week. For long-term storage, aliquot and store at -20°C or below. Storage in frost free freezers is not recommended. Avoid repeated freeze/thaw cycles. Suggest spin the vial prior to opening. The antibody solution should be gently mixed before use. |
| Note | For laboratory research only, not for drug, diagnostic or other use. |
Bioinformation
| Database Links | |
|---|---|
| Gene Symbol | PHF21A |
| Gene Full Name | PHD finger protein 21A |
| Background | The PHF21A gene encodes BHC80, a component of a BRAF35 (MIM 605535)/histone deacetylase (HDAC; see MIM 601241) complex (BHC) that mediates repression of neuron-specific genes through the cis-regulatory element known as repressor element-1 (RE1) or neural restrictive silencer (NRS) (Hakimi et al., 2002 [PubMed 12032298]).[supplied by OMIM, Nov 2010] |
| Function | Component of the BHC complex, a corepressor complex that represses transcription of neuron-specific genes in non-neuronal cells. The BHC complex is recruited at RE1/NRSE sites by REST and acts by deacetylating and demethylating specific sites on histones, thereby acting as a chromatin modifier. In the BHC complex, it may act as a scaffold. Inhibits KDM1A-mediated demethylation of 'Lys-4' of histone H3 in vitro, suggesting a role in demethylation regulation. [UniProt] |
| Cellular Localization | Nucleus. [UniProt] |
| Calculated MW | 75 kDa |
Images (15) Click the Picture to Zoom In
-
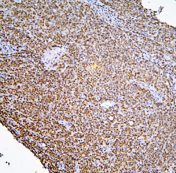
ARG42196 anti-PHF21A / BHC80 antibody IHC-P image
Immunohistochemistry: Paraffin-embedded Human oesophagus squama cancer tissues. Antigen Retrieval: Heat mediation was performed in Citrate buffer (pH 6.0, epitope retrieval solution) for 20 min. The tissue section was blocked with 10% goat serum. The tissue section was then stained with ARG42196 anti-PHF21A / BHC80 antibody at 1 µg/ml dilution, overnight at 4°C.
-
ARG42196 anti-PHF21A / BHC80 antibody WB image
Western blot: 50 µg of samples under reducing conditions. A549, Rat brain and Mouse brain lysates stained with ARG42196 anti-PHF21A / BHC80 antibody at 0.5 µg/ml dilution, overnight at 4°C.
-
ARG42196 anti-PHF21A / BHC80 antibody FACS image
Flow Cytometry: HeLa cells were blocked with 10% normal goat serum and then stained with ARG42196 anti-PHF21A / BHC80 antibody (blue line) at 1 µg/10^6 cells for 30 min at 20°C, followed by incubation with DyLight®488 labelled secondary antibody. Isotype control antibody (green line) was Rabbit IgG (1 µg/10^6 cells) used under the same conditions. Unlabelled sample (red line) was also used as a control.
-
ARG42196 anti-PHF21A / BHC80 antibody IHC-P image
Immunohistochemistry: Paraffin-embedded Human intestinal cancer tissue. Antigen Retrieval: Heat mediation was performed in Citrate buffer (pH 6.0, epitope retrieval solution) for 20 min. The tissue section was blocked with 10% goat serum. The tissue section was then stained with ARG42196 anti-PHF21A / BHC80 antibody at 1 µg/ml dilution, overnight at 4°C.
-
ARG42196 anti-PHF21A / BHC80 antibody IHC-P image
Immunohistochemistry: Paraffin-embedded Human oesophagus squama cancer tissue. Antigen Retrieval: Heat mediation was performed in Citrate buffer (pH 6.0, epitope retrieval solution) for 20 min. The tissue section was blocked with 10% goat serum. The tissue section was then stained with ARG42196 anti-PHF21A / BHC80 antibody at 1 µg/ml dilution, overnight at 4°C.
-
ARG42196 anti-PHF21A / BHC80 antibody IHC-P image
Immunohistochemistry: Paraffin-embedded Human tonsil tissue. Antigen Retrieval: Heat mediation was performed in Citrate buffer (pH 6.0, epitope retrieval solution) for 20 min. The tissue section was blocked with 10% goat serum. The tissue section was then stained with ARG42196 anti-PHF21A / BHC80 antibody at 1 µg/ml dilution, overnight at 4°C.
-
ARG42196 anti-PHF21A / BHC80 antibody IHC-P image
Immunohistochemistry: Paraffin-embedded Human endometrial carcinoma tissue. Antigen Retrieval: Heat mediation was performed in Citrate buffer (pH 6.0, epitope retrieval solution) for 20 min. The tissue section was blocked with 10% goat serum. The tissue section was then stained with ARG42196 anti-PHF21A / BHC80 antibody at 1 µg/ml dilution, overnight at 4°C.
-
ARG42196 anti-PHF21A / BHC80 antibody IHC-P image
Immunohistochemistry: Paraffin-embedded Human gastric cancer tissue. Antigen Retrieval: Heat mediation was performed in Citrate buffer (pH 6.0, epitope retrieval solution) for 20 min. The tissue section was blocked with 10% goat serum. The tissue section was then stained with ARG42196 anti-PHF21A / BHC80 antibody at 1 µg/ml dilution, overnight at 4°C.
-
ARG42196 anti-PHF21A / BHC80 antibody IHC-P image
Immunohistochemistry: Paraffin-embedded Human intestinal cancer tissue. Antigen Retrieval: Heat mediation was performed in Citrate buffer (pH 6.0, epitope retrieval solution) for 20 min. The tissue section was blocked with 10% goat serum. The tissue section was then stained with ARG42196 anti-PHF21A / BHC80 antibody at 1 µg/ml dilution, overnight at 4°C.
-
ARG42196 anti-PHF21A / BHC80 antibody IHC-P image
Immunohistochemistry: Paraffin-embedded Human lung cancer tissue. Antigen Retrieval: Heat mediation was performed in Citrate buffer (pH 6.0, epitope retrieval solution) for 20 min. The tissue section was blocked with 10% goat serum. The tissue section was then stained with ARG42196 anti-PHF21A / BHC80 antibody at 1 µg/ml dilution, overnight at 4°C.
-
ARG42196 anti-PHF21A / BHC80 antibody IHC-P image
Immunohistochemistry: Paraffin-embedded Human ovarian cancer tissue. Antigen Retrieval: Heat mediation was performed in Citrate buffer (pH 6.0, epitope retrieval solution) for 20 min. The tissue section was blocked with 10% goat serum. The tissue section was then stained with ARG42196 anti-PHF21A / BHC80 antibody at 1 µg/ml dilution, overnight at 4°C.
-
ARG42196 anti-PHF21A / BHC80 antibody IHC-P image
Immunohistochemistry: Paraffin-embedded Human placenta tissue. Antigen Retrieval: Heat mediation was performed in Citrate buffer (pH 6.0, epitope retrieval solution) for 20 min. The tissue section was blocked with 10% goat serum. The tissue section was then stained with ARG42196 anti-PHF21A / BHC80 antibody at 1 µg/ml dilution, overnight at 4°C.
-
ARG42196 anti-PHF21A / BHC80 antibody IHC-P image
Immunohistochemistry: Paraffin-embedded Human sarcoma tissue. Antigen Retrieval: Heat mediation was performed in Citrate buffer (pH 6.0, epitope retrieval solution) for 20 min. The tissue section was blocked with 10% goat serum. The tissue section was then stained with ARG42196 anti-PHF21A / BHC80 antibody at 1 µg/ml dilution, overnight at 4°C.
-
ARG42196 anti-PHF21A / BHC80 antibody IHC-P image
Immunohistochemistry: Paraffin-embedded Human glioma tissue. Antigen Retrieval: Heat mediation was performed in Citrate buffer (pH 6.0, epitope retrieval solution) for 20 min. The tissue section was blocked with 10% goat serum. The tissue section was then stained with ARG42196 anti-PHF21A / BHC80 antibody at 1 µg/ml dilution, overnight at 4°C.
-
ARG42196 anti-PHF21A / BHC80 antibody FACS image
Flow Cytometry: SiHa cells were blocked with 10% normal goat serum and then stained with ARG42196 anti-PHF21A / BHC80 antibody (blue line) at 1 µg/10^6 cells for 30 min at 20°C, followed by incubation with DyLight®488 labelled secondary antibody. Isotype control antibody (green line) was Rabbit IgG (1 µg/10^6 cells) used under the same conditions. Unlabelled sample (red line) was also used as a control.
