ARG40971
anti-PLA2G7 / Lp-PLA2 antibody
anti-PLA2G7 / Lp-PLA2 antibody for Flow cytometry,IHC-Formalin-fixed paraffin-embedded sections,Western blot and Human
Overview
| Product Description | Rabbit Polyclonal antibody recognizes PLA2G7 / Lp-PLA2 |
|---|---|
| Tested Reactivity | Hu |
| Tested Application | FACS, IHC-P, WB |
| Host | Rabbit |
| Clonality | Polyclonal |
| Isotype | IgG |
| Target Name | PLA2G7 / Lp-PLA2 |
| Antigen Species | Human |
| Immunogen | KLH-conjugated synthetic peptide corresponding to aa. 200-228 of Human PLA2G7. |
| Conjugation | Un-conjugated |
| Alternate Names | LDL-PLA; gVIIA-PLA2; LDL-PLA2; Group-VIIA phospholipase A2; 2-acetyl-1-alkylglycerophosphocholine esterase; EC 3.1.1.47; LDL-associated phospholipase A2; PAF 2-acylhydrolase; 2; PAF acetylhydrolase; PAFAH; Platelet-activating factor acetylhydrolase; PAFAD; 1-alkyl-2-acetylglycerophosphocholine esterase; LP-PLA2 |
Application Instructions
| Application Suggestion |
|
||||||||
|---|---|---|---|---|---|---|---|---|---|
| Application Note | IHC-P: Antigen Retrieval: Heat mediation was performed in Citrate buffer (pH 6.0). * The dilutions indicate recommended starting dilutions and the optimal dilutions or concentrations should be determined by the scientist. |
||||||||
| Positive Control | HL-60 |
Properties
| Form | Liquid |
|---|---|
| Purification | Purification with Protein A and immunogen peptide. |
| Buffer | PBS and 0.09% (W/V) Sodium azide. |
| Preservative | 0.09% (W/V) Sodium azide. |
| Storage Instruction | For continuous use, store undiluted antibody at 2-8°C for up to a week. For long-term storage, aliquot and store at -20°C or below. Storage in frost free freezers is not recommended. Avoid repeated freeze/thaw cycles. Suggest spin the vial prior to opening. The antibody solution should be gently mixed before use. |
| Note | For laboratory research only, not for drug, diagnostic or other use. |
Bioinformation
| Database Links |
Swiss-port # Q13093 Human Platelet-activating factor acetylhydrolase |
|---|---|
| Gene Symbol | PLA2G7 |
| Gene Full Name | phospholipase A2, group VII (platelet-activating factor acetylhydrolase, plasma) |
| Background | The protein encoded by this gene is a secreted enzyme that catalyzes the degradation of platelet-activating factor to biologically inactive products. Defects in this gene are a cause of platelet-activating factor acetylhydrolase deficiency. Two transcript variants encoding the same protein have been found for this gene.[provided by RefSeq, Dec 2009] |
| Function | Modulates the action of platelet-activating factor (PAF) by hydrolyzing the sn-2 ester bond to yield the biologically inactive lyso-PAF. Has a specificity for substrates with a short residue at the sn-2 position. It is inactive against long-chain phospholipids. [UniProt] |
| Cellular Localization | Secreted, extracellular space. [UniProt] |
| Calculated MW | 50 kDa |
Images (3) Click the Picture to Zoom In
-
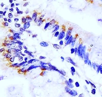
ARG40971 anti-PLA2G7 / Lp-PLA2 antibody IHC-P image
Immunohistochemistry: Paraformaldehyde-fixed and paraffin-embedded Human colon tissue. Tissue was blocked with 3% BSA for 0.5 hour at room temperature. Antigen Retrieval: Heat mediation was performed in Citrate buffer (pH 6.0). Samples were stained with ARG40971 anti-PLA2G7 / Lp-PLA2 antibody at 1:25 dilution for 1 hours at 37°C.
-
ARG40971 anti-PLA2G7 / Lp-PLA2 antibody WB image
Western blot: 35 µg of HL-60 cell lysate stained with ARG40971 anti-PLA2G7 / Lp-PLA2 antibody.
-
ARG40971 anti-PLA2G7 / Lp-PLA2 antibody FACS image
Flow Cytometry: HL-60 cells were fixed with 2% paraformaldehyde (10 min) and then permeabilized with 90% methanol for 10 min. The cells were then incubated in 2% bovine serum albumin to block non-specific protein-protein interactions followed by ARG40971 anti-PLA2G7 / Lp-PLA2 antibody (right histogram) at 1:25 dilution for 60 min at 37°C, followed by incubation with DyLight®488 labelled secondary antibody. Isotype control antibody (left histogram) was Rabbit IgG (1 µg/10^6 cells) used under the same conditions. Acquisition of > 10000 events was performed.
