ARG43916
anti-PLEKHA1 / TAPP1 antibody
anti-PLEKHA1 / TAPP1 antibody for ELISA,Flow cytometry,ICC/IF,IHC-Formalin-fixed paraffin-embedded sections,Western blot and Human
Overview
| Product Description | Rabbit Polyclonal antibody recognizes PLEKHA1 / TAPP1 |
|---|---|
| Tested Reactivity | Hu |
| Tested Application | ELISA, FACS, ICC/IF, IHC-P, WB |
| Host | Rabbit |
| Clonality | Polyclonal |
| Isotype | IgG |
| Target Name | PLEKHA1 / TAPP1 |
| Antigen Species | Human |
| Immunogen | Human PLEKHA1 / TAPP1 recombinant protein |
| Expression System | E.coli |
| Conjugation | Un-conjugated |
| Protein Full Name | Pleckstrin homology domain-containing family A member 1 |
| Alternate Names | PLEKHA1; Pleckstrin Homology Domain Containing A1; TAPP1; Pleckstrin Homology Domain Containing, Family A (Phosphoinositide Binding Specific) Member 1; Pleckstrin Homology Domain-Containing Family A Member 1; Tandem PH Domain-Containing Protein 1; Pleckstrin Homology Domain-Containing, Family A (Phosphoinositide Binding Specific) Member 1; PH Domain-Containing Family A Member 1; Tandem PH Domain Containing Protein-1; TAP |
Application Instructions
| Application Suggestion |
|
||||||||||||
|---|---|---|---|---|---|---|---|---|---|---|---|---|---|
| Application Note | * The dilutions indicate recommended starting dilutions and the optimal dilutions or concentrations should be determined by the scientist. |
Properties
| Form | Liquid |
|---|---|
| Purification | Affinity purified with Immunogen. |
| Buffer | 0.9% NaCl, 0.2% Na2HPO4 and 4% Trehalose. |
| Stabilizer | 4% Trehalose |
| Concentration | 0.5 mg/ml |
| Storage Instruction | For continuous use, store undiluted antibody at 2-8°C for up to a week. For long-term storage, aliquot and store at -20°C or below. Storage in frost free freezers is not recommended. Avoid repeated freeze/thaw cycles. Suggest spin the vial prior to opening. The antibody solution should be gently mixed before use. |
| Note | For laboratory research only, not for drug, diagnostic or other use. |
Bioinformation
| Database Links |
Swiss-port # Q9HB21 Human Pleckstrin homology domain-containing family A member 1 |
|---|---|
| Gene Symbol | PLEKHA1 |
| Gene Full Name | Pleckstrin Homology Domain Containing A1 |
| Background | This gene encodes a pleckstrin homology domain-containing adapter protein. The encoded protein is localized to the plasma membrane where it specifically binds phosphatidylinositol 3,4-bisphosphate. This protein may be involved in the formation of signaling complexes in the plasma membrane. Polymorphisms in this gene are associated with age-related macular degeneration. Alternate splicing results in multiple transcript variants. A pseudogene of this gene is found on chromosome 5. |
| Function | Binds specifically to phosphatidylinositol 3,4-diphosphate (PtdIns3,4P2), but not to other phosphoinositides. May recruit other proteins to the plasma membrane. |
| Cellular Localization | Cell membrane, Cytoplasm, Membrane, Nucleus |
| Calculated MW | 46 kDa |
| PTM | Phosphoprotein |
Images (5) Click the Picture to Zoom In
-
ARG43916 anti-PLEKHA1 / TAPP1 antibody IHC-P image
Immunohistochemistry: Human placenta tissue stained with ARG43916 anti-PLEKHA1 / TAPP1 antibody at 2 μg/ml dilution.
-
ARG43916 anti-PLEKHA1 / TAPP1 antibody WB image
Western blot: Jurkat lung stained with ARG43916 anti-PLEKHA1 / TAPP1 antibody at 0.5 μg/mL dilution.
-
ARG43916 anti-PLEKHA1 / TAPP1 antibody ICC/IF image
Immunofluorescence: A431 cells stained with ARG43916 anti-PLEKHA1 / TAPP1 antibody at 5 μg/ml dilution.
-
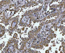
ARG43916 anti-PLEKHA1 / TAPP1 antibody IHC-P image
Immunohistochemistry: Human lung cancer tissue stained with ARG43916 anti-PLEKHA1 / TAPP1 antibody at 2 μg/ml dilution.
-
ARG43916 anti-PLEKHA1 / TAPP1 antibody IHC-P image
Immunohistochemistry: Human invasive urothelial carcinoma tissue stained with ARG43916 anti-PLEKHA1 / TAPP1 antibody at 2 μg/ml dilution.
