ARG40848
anti-Plasminogen antibody
anti-Plasminogen antibody for Flow cytometry,Western blot and Human,Mouse,Rat
Overview
| Product Description | Rabbit Polyclonal antibody recognizes Plasminogen |
|---|---|
| Tested Reactivity | Hu, Ms, Rat |
| Tested Application | FACS, WB |
| Host | Rabbit |
| Clonality | Polyclonal |
| Isotype | IgG |
| Target Name | Plasminogen |
| Antigen Species | Human |
| Immunogen | Synthetic peptide corresponding to a sequence of Human Plasminogen. (EPLDDYVNTQGASLFSVTKKQL) |
| Conjugation | Un-conjugated |
| Alternate Names | EC 3.4.21.7; Plasminogen |
Application Instructions
| Application Suggestion |
|
||||||
|---|---|---|---|---|---|---|---|
| Application Note | * The dilutions indicate recommended starting dilutions and the optimal dilutions or concentrations should be determined by the scientist. |
Properties
| Form | Liquid |
|---|---|
| Purification | Affinity purification with immunogen. |
| Buffer | 0.2% Na2HPO4, 0.9% NaCl, 0.05% Sodium azide and 4% Trehalose. |
| Preservative | 0.05% Sodium azide |
| Stabilizer | 4% Trehalose |
| Concentration | 0.5 mg/ml |
| Storage Instruction | For continuous use, store undiluted antibody at 2-8°C for up to a week. For long-term storage, aliquot and store at -20°C or below. Storage in frost free freezers is not recommended. Avoid repeated freeze/thaw cycles. Suggest spin the vial prior to opening. The antibody solution should be gently mixed before use. |
| Note | For laboratory research only, not for drug, diagnostic or other use. |
Bioinformation
| Database Links | |
|---|---|
| Gene Symbol | PLG |
| Gene Full Name | plasminogen |
| Background | The protein encoded by this gene is a secreted blood zymogen that is activated by proteolysis and converted to plasmin and angiostatin. Plasmin dissolves fibrin in blood clots and is an important protease in many other cellular processes while angiostatin inhibits angiogenesis. Defects in this gene are likely a cause of thrombophilia and ligneous conjunctivitis. Two transcript variants encoding different isoforms have been found for this gene.[provided by RefSeq, Dec 2009] |
| Function | Plasmin dissolves the fibrin of blood clots and acts as a proteolytic factor in a variety of other processes including embryonic development, tissue remodeling, tumor invasion, and inflammation. In ovulation, weakens the walls of the Graafian follicle. It activates the urokinase-type plasminogen activator, collagenases and several complement zymogens, such as C1 and C5. Cleavage of fibronectin and laminin leads to cell detachment and apoptosis. Also cleaves fibrin, thrombospondin and von Willebrand factor. Its role in tissue remodeling and tumor invasion may be modulated by CSPG4. Binds to cells. Angiostatin is an angiogenesis inhibitor that blocks neovascularization and growth of experimental primary and metastatic tumors in vivo. [UniProt] |
| Cellular Localization | Secreted. Note=Locates to the cell surface where it is proteolytically cleaved to produce the active plasmin. Interaction with HRG tethers it to the cell surface. [UniProt] |
| Calculated MW | 91 kDa |
| PTM | N-linked glycan contains N-acetyllactosamine and sialic acid. O-linked glycans consist of Gal-GalNAc disaccharide modified with up to 2 sialic acid residues (microheterogeneity). In the presence of the inhibitor, the activation involves only cleavage after Arg-580, yielding two chains held together by two disulfide bonds. In the absence of the inhibitor, the activation involves additionally the removal of the activation peptide. [UniProt] |
Images (2) Click the Picture to Zoom In
-
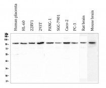
ARG40848 anti-Plasminogen antibody WB image
Western blot: 50 µg of samples under reducing conditions. Human placenta, HL-60, 22RV1, 293T, PANC-1, SGC-7901, Caco-2, PC-3, Rat brain and Mouse brain lysates stained with ARG40848 anti-Plasminogen antibody at 0.5 µg/ml, overnight at 4°C.
-
ARG40848 anti-Plasminogen antibody FACS image
Flow Cytometry: U251 cells were blocked with 10% normal goat serum and then stained with ARG40848 anti-Plasminogen antibody (blue) at 1 µg/10^6 cells for 30 min at 20°C, followed by incubation with DyLight®488 labelled secondary antibody. Isotype control antibody (green) was rabbit IgG (1 µg/10^6 cells) used under the same conditions. Unlabelled sample (red) was also used as a control.
