ARG44538
anti-RBM15B antibody
anti-RBM15B antibody for Flow cytometry,IHC-Formalin-fixed paraffin-embedded sections,Western blot and Human,Rat
Overview
| Product Description | Rabbit Polyclonal antibody recognizes RBM15B |
|---|---|
| Tested Reactivity | Hu, Rat |
| Tested Application | FACS, IHC-P, WB |
| Host | Rabbit |
| Clonality | Polyclonal |
| Isotype | IgG |
| Target Name | RBM15B |
| Antigen Species | Human |
| Immunogen | Human RBM15B recombinant protein. |
| Conjugation | Un-conjugated |
| Alternate Names | RBM15B; RNA Binding Motif Protein 15B; OTT3; HUMAGCGB; Putative RNA-Binding Protein 15B; HsOTT3; HuOTT3; Chromosome 3p21.1 Gene Sequence; RNA-Binding Motif Protein 15B; One Twenty Two Protein 3; One-Twenty Two Protein 3 |
Application Instructions
| Application Suggestion |
|
||||||||
|---|---|---|---|---|---|---|---|---|---|
| Application Note | * The dilutions indicate recommended starting dilutions and the optimal dilutions or concentrations should be determined by the scientist. |
Properties
| Form | Liquid |
|---|---|
| Purification | Affinity purification with immunogen. |
| Buffer | 0.9% NaCl, 0.2% Na2HPO4 and 4% Trehalose. |
| Stabilizer | 4% Trehalose |
| Concentration | 0.5 mg/ml |
| Storage Instruction | For continuous use, store undiluted antibody at 2-8°C for up to a week. For long-term storage, aliquot and store at -20°C or below. Storage in frost free freezers is not recommended. Avoid repeated freeze/thaw cycles. Suggest spin the vial prior to opening. The antibody solution should be gently mixed before use. |
| Note | For laboratory research only, not for drug, diagnostic or other use. |
Bioinformation
| Database Links | |
|---|---|
| Gene Symbol | RBM15B |
| Gene Full Name | RNA Binding Motif Protein 15B |
| Background | Members of the SPEN (Split-end) family of proteins, including RBM15B, have repressor function in several signaling pathways and may bind to RNA through interaction with spliceosome components. |
| Function | RNA-binding protein that acts as a key regulator of N6-methyladenosine (m6A) methylation of RNAs, thereby regulating different processes, such as alternative splicing of mRNAs and X chromosome inactivation mediated by Xist RNA. |
| Cellular Localization | Nucleus |
| Calculated MW | 97 kDa |
Images (6) Click the Picture to Zoom In
-
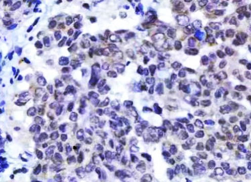
ARG44538 anti-RBM15B antibody IHC-P image
Immunohistochemistry: Human esophageal squamous carcinoma stained with ARG44538 anti-RBM15B antibody at 2 μg/ml dilution.
-
ARG44538 anti-RBM15B antibody ICC/IF image
Immunofluorescence: Human intestinal cancer stained with ARG44538 anti-RBM15B antibody at 5 μg/ml dilution.
-
ARG44538 anti-RBM15B antibody WB image
Western blot: HeLa, 293T and MOLT-4 stained with ARG44538 anti-RBM15B antibody at 0.5 μg/mL dilution.
-
ARG44538 anti-RBM15B antibody FACS image
Flow Cytometry: Daudi stained with ARG44538 anti-RBM15B antibody at 1 μg/10^6 cells dilution.
-
ARG44538 anti-RBM15B antibody WB image
Western blot: C6 stained with ARG44538 anti-RBM15B antibody at 0.5 μg/mL dilution.
-
ARG44538 anti-RBM15B antibody IHC-P image
Immunohistochemistry: Human lung squamous cell carcinoma stained with ARG44538 anti-RBM15B antibody at 2 μg/ml dilution.
