ARG41135
anti-RPL31 antibody
anti-RPL31 antibody for Flow cytometry,IHC-Formalin-fixed paraffin-embedded sections,Western blot and Human
Overview
| Product Description | Rabbit Polyclonal antibody recognizes RPL31 |
|---|---|
| Tested Reactivity | Hu |
| Predict Reactivity | Ms, Rat, Bov, Pig |
| Tested Application | FACS, IHC-P, WB |
| Host | Rabbit |
| Clonality | Polyclonal |
| Isotype | IgG |
| Target Name | RPL31 |
| Antigen Species | Human |
| Immunogen | KLH-conjugated synthetic peptide corresponding to aa. 24-51 of Human RPL31. |
| Conjugation | Un-conjugated |
| Alternate Names | 60S ribosomal protein L31; L31 |
Application Instructions
| Application Suggestion |
|
||||||||
|---|---|---|---|---|---|---|---|---|---|
| Application Note | * The dilutions indicate recommended starting dilutions and the optimal dilutions or concentrations should be determined by the scientist. |
Properties
| Form | Liquid |
|---|---|
| Purification | Purification with Protein A and immunogen peptide. |
| Buffer | PBS and 0.09% (W/V) Sodium azide. |
| Preservative | 0.09% (W/V) Sodium azide |
| Storage Instruction | For continuous use, store undiluted antibody at 2-8°C for up to a week. For long-term storage, aliquot and store at -20°C or below. Storage in frost free freezers is not recommended. Avoid repeated freeze/thaw cycles. Suggest spin the vial prior to opening. The antibody solution should be gently mixed before use. |
| Note | For laboratory research only, not for drug, diagnostic or other use. |
Bioinformation
| Database Links | |
|---|---|
| Gene Symbol | RPL31 |
| Gene Full Name | ribosomal protein L31 |
| Background | Ribosomes, the organelles that catalyze protein synthesis, consist of a small 40S subunit and a large 60S subunit. Together these subunits are composed of 4 RNA species and approximately 80 structurally distinct proteins. This gene encodes a ribosomal protein that is a component of the 60S subunit. The protein belongs to the L31E family of ribosomal proteins. It is located in the cytoplasm. Higher levels of expression of this gene in familial adenomatous polyps compared to matched normal tissues have been observed. As is typical for genes encoding ribosomal proteins, there are multiple processed pseudogenes of this gene dispersed through the genome. Alternatively spliced transcript variants encoding distinct isoforms have been found for this gene. [provided by RefSeq, Jul 2008] |
| Calculated MW | 14 kDa |
Images (3) Click the Picture to Zoom In
-
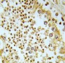
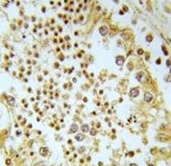
ARG41135 anti-RPL31 antibody IHC-P image
Immunohistochemistry: Formalin-fixed and paraffin-embedded Human testis tissue stained with ARG41135 anti-RPL31 antibody.
-
ARG41135 anti-RPL31 antibody WB image
Western blot: 35 µg of HeLa cell lysate stained with ARG41135 anti-RPL31 antibody.
-
ARG41135 anti-RPL31 antibody FACS image
Flow Cytometry: HeLa cells stained with ARG41135 anti-RPL31 antibody (right histogram) or without primary antibody as control (left histogram), followed by incubation with FITC labelled secondary antibody.
