ARG59132
anti-RRM2 antibody
anti-RRM2 antibody for IHC-Formalin-fixed paraffin-embedded sections,Western blot and Human,Mouse,Rat
Overview
| Product Description | Rabbit Polyclonal antibody recognizes RRM2 |
|---|---|
| Tested Reactivity | Hu, Ms, Rat |
| Tested Application | IHC-P, WB |
| Host | Rabbit |
| Clonality | Polyclonal |
| Isotype | IgG |
| Target Name | RRM2 |
| Antigen Species | Human |
| Immunogen | Synthetic peptide corresponding to aa. 1-33 of Human RRM2. (MLSLRVPLAPITDPQQLQLSPLKGLSLVDKENT) |
| Conjugation | Un-conjugated |
| Alternate Names | R2; EC 1.17.4.1; Ribonucleoside-diphosphate reductase subunit M2; Ribonucleotide reductase small chain; Ribonucleotide reductase small subunit; RR2M; RR2 |
Application Instructions
| Application Suggestion |
|
||||||
|---|---|---|---|---|---|---|---|
| Application Note | IHC-P: Antigen Retrieval: By heat mediation. * The dilutions indicate recommended starting dilutions and the optimal dilutions or concentrations should be determined by the scientist. |
Properties
| Form | Liquid |
|---|---|
| Purification | Affinity purification with immunogen. |
| Buffer | 0.9% NaCl, 0.2% Na2HPO4, 0.05% Sodium azide and 5% BSA. |
| Preservative | 0.05% Sodium azide |
| Stabilizer | 5% BSA |
| Concentration | 0.5 mg/ml |
| Storage Instruction | For continuous use, store undiluted antibody at 2-8°C for up to a week. For long-term storage, aliquot and store at -20°C or below. Storage in frost free freezers is not recommended. Avoid repeated freeze/thaw cycles. Suggest spin the vial prior to opening. The antibody solution should be gently mixed before use. |
| Note | For laboratory research only, not for drug, diagnostic or other use. |
Bioinformation
| Database Links | |
|---|---|
| Gene Symbol | RRM2 |
| Gene Full Name | ribonucleotide reductase M2 |
| Background | This gene encodes one of two non-identical subunits for ribonucleotide reductase. This reductase catalyzes the formation of deoxyribonucleotides from ribonucleotides. Synthesis of the encoded protein (M2) is regulated in a cell-cycle dependent fashion. Transcription from this gene can initiate from alternative promoters, which results in two isoforms that differ in the lengths of their N-termini. Related pseudogenes have been identified on chromosomes 1 and X. [provided by RefSeq, Sep 2009] |
| Function | Provides the precursors necessary for DNA synthesis. Catalyzes the biosynthesis of deoxyribonucleotides from the corresponding ribonucleotides. Inhibits Wnt signaling. [UniProt] |
| Cellular Localization | Cytoplasm. [UniProt] |
| Calculated MW | 45 kDa |
| PTM | Phosphorylation on Ser-20 relieves the inhibitory effect on Wnt signaling. [UniProt] |
Images (2) Click the Picture to Zoom In
-
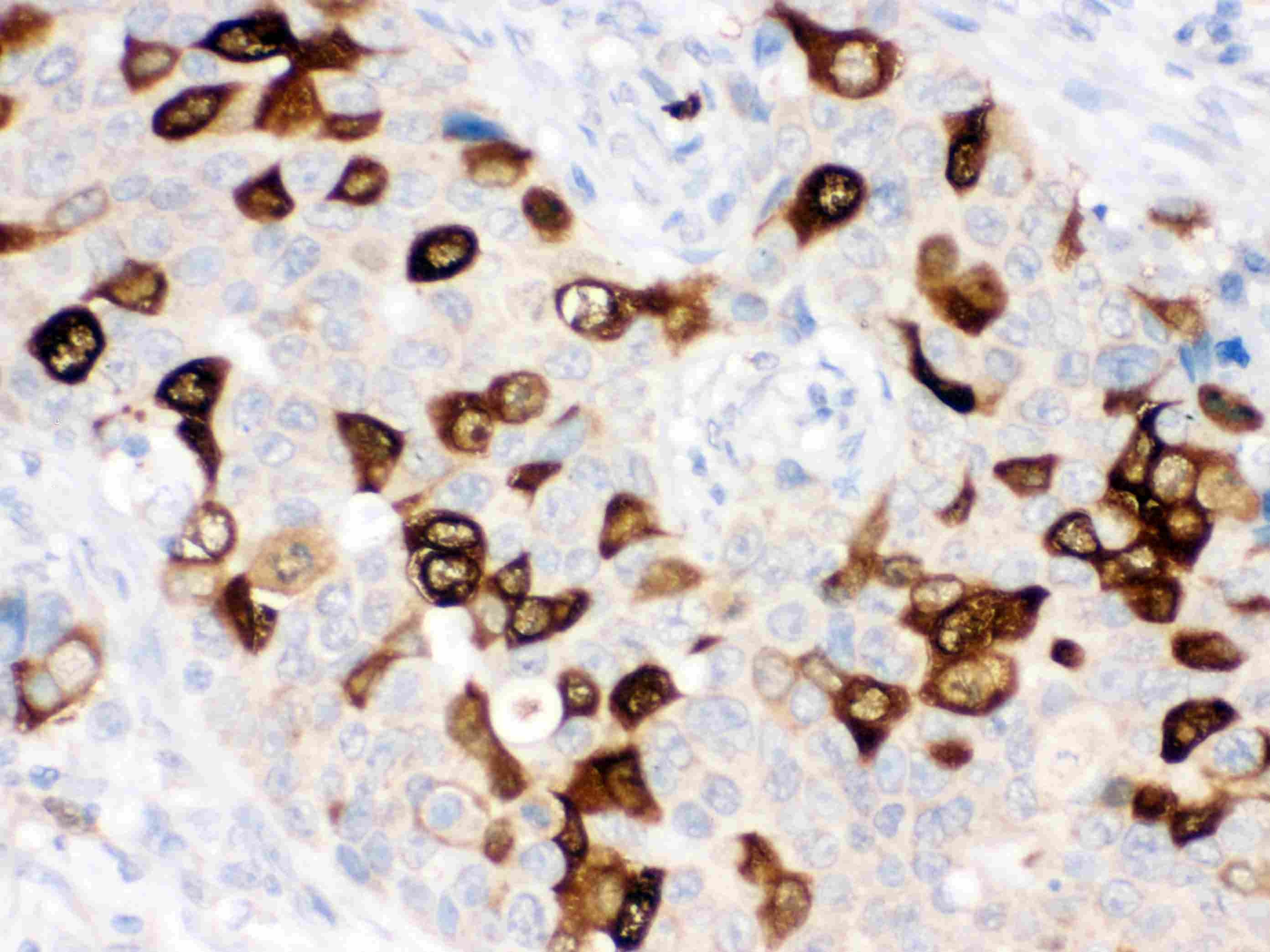
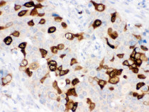
ARG59132 anti-RRM2 antibody IHC-P image
Immunohistochemistry: Paraffin-embedded Human mammary cancer stained with ARG59132 anti-RRM2 antibody.
-
ARG59132 anti-RRM2 antibody WB image
Western blot: 50 µg of Rat cardiac muscle, 50 µg of Mouse cardiac muscle, 40 µg of A431 and 40 µg of HeLa lysates stained with ARG59132 anti-RRM2 antibody at 0.5 µg/ml dilution.
