ARG41150
anti-SLC16A4 / MCT4 antibody
anti-SLC16A4 / MCT4 antibody for IHC-Formalin-fixed paraffin-embedded sections,Western blot and Human,Rat
Overview
| Product Description | Rabbit Polyclonal antibody recognizes SLC16A4 / MCT4 |
|---|---|
| Tested Reactivity | Hu, Rat |
| Predict Reactivity | Ms, Bov |
| Tested Application | IHC-P, WB |
| Host | Rabbit |
| Clonality | Polyclonal |
| Isotype | IgG |
| Target Name | SLC16A4 / MCT4 |
| Antigen Species | Human |
| Immunogen | Synthetic peptide corresponding to aa. 134-148 of of Human SLC16A4 / MCT4. (VVTTKYFKKRLALST) |
| Conjugation | Un-conjugated |
| Alternate Names | MCT 5; MCT 4; Solute carrier family 16 member 4; Monocarboxylate transporter 4; Monocarboxylate transporter 5; MCT4; MCT5 |
Application Instructions
| Application Suggestion |
|
||||||
|---|---|---|---|---|---|---|---|
| Application Note | * The dilutions indicate recommended starting dilutions and the optimal dilutions or concentrations should be determined by the scientist. | ||||||
| Observed Size | 54 kDa |
Properties
| Form | Liquid |
|---|---|
| Purification | Affinity purification with immunogen. |
| Buffer | 0.2% Na2HPO4, 0.9% NaCl, 0.05% Thimerosal, 0.05% Sodium azide and 5% BSA. |
| Preservative | 0.05% Thimerosal and 0.05% Sodium azide |
| Stabilizer | 5% BSA |
| Concentration | 0.5 mg/ml |
| Storage Instruction | For continuous use, store undiluted antibody at 2-8°C for up to a week. For long-term storage, aliquot and store at -20°C or below. Storage in frost free freezers is not recommended. Avoid repeated freeze/thaw cycles. Suggest spin the vial prior to opening. The antibody solution should be gently mixed before use. |
| Note | For laboratory research only, not for drug, diagnostic or other use. |
Bioinformation
| Database Links | |
|---|---|
| Gene Symbol | SLC16A4 |
| Gene Full Name | solute carrier family 16, member 4 |
| Function | Proton-linked monocarboxylate transporter. Catalyzes the rapid transport across the plasma membrane of many monocarboxylates such as lactate, pyruvate, branched-chain oxo acids derived from leucine, valine and isoleucine, and the ketone bodies acetoacetate, beta-hydroxybutyrate and acetate (By similarity). [UniProt] |
| Cellular Localization | Cell membrane; Multi-pass membrane protein. [UniProt] |
| Calculated MW | 54 kDa |
Images (3) Click the Picture to Zoom In
-
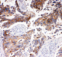
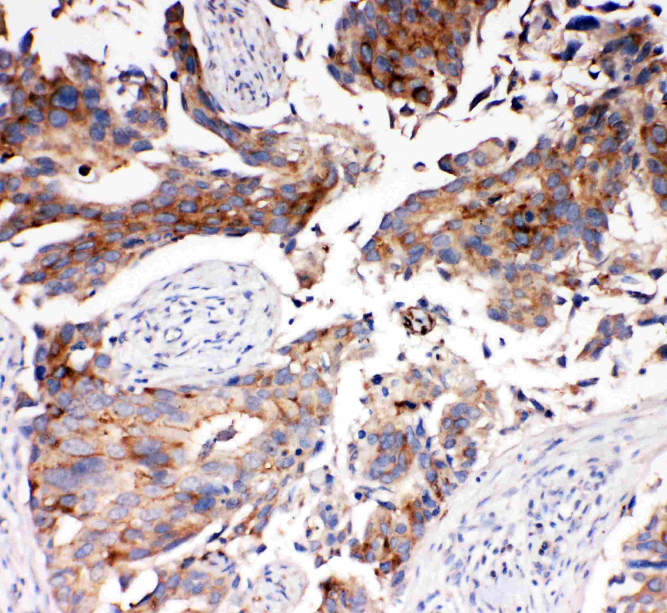
ARG41150 anti-SLC16A4 / MCT4 antibody IHC-P image
Immunohistochemistry: Paraffin-embedded Human mammary cancer tissue stained with ARG41150 anti-SLC16A4 / MCT4 antibody.
-
ARG41150 anti-SLC16A4 / MCT4 antibody WB image
Western blot: Rat testis, Jurkat, HeLa and MCF7 cell lysates stained with ARG41150 anti-SLC16A4 / MCT4 antibody.
-
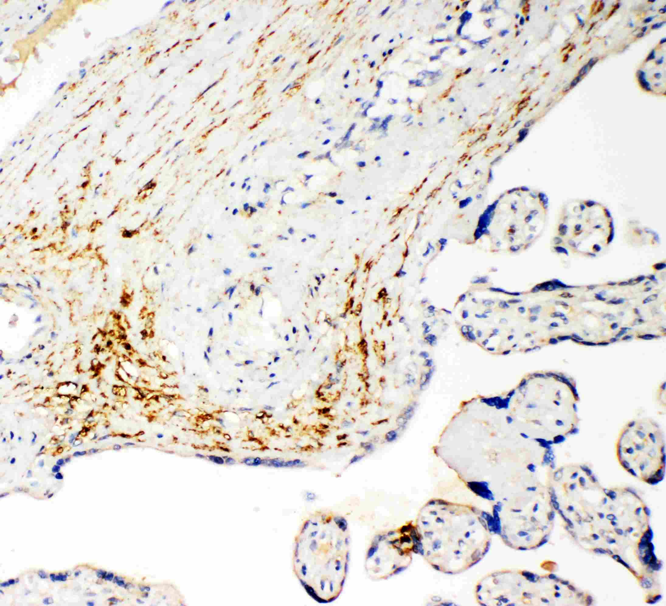
ARG41150 anti-SLC16A4 / MCT4 antibody IHC-P image
Immunohistochemistry: Paraffin-embedded Human placenta cancer tissue stained with ARG41150 anti-SLC16A4 / MCT4 antibody.
