ARG41225
anti-SLC22A6 / OAT1 antibody
anti-SLC22A6 / OAT1 antibody for IHC-Formalin-fixed paraffin-embedded sections,Western blot and Human,Rat
Overview
| Product Description | Rabbit Polyclonal antibody recognizes SLC22A6 / OAT1 |
|---|---|
| Tested Reactivity | Hu, Rat |
| Predict Reactivity | Mk |
| Tested Application | IHC-P, WB |
| Host | Rabbit |
| Clonality | Polyclonal |
| Isotype | IgG |
| Target Name | SLC22A6 / OAT1 |
| Antigen Species | Human |
| Immunogen | Synthetic peptide corresponding to aa. 534-550 of Human SLC22A6 / OAT1. (QKYMVPLQASAQEKNGL) |
| Conjugation | Un-conjugated |
| Alternate Names | PAHT; OAT1; hOAT1; ROAT1; Solute carrier family 22 member 6; Organic anion transporter 1; hROAT1; Renal organic anion transporter 1; hPAHT; PAH transporter; HOAT1 |
Application Instructions
| Application Suggestion |
|
||||||
|---|---|---|---|---|---|---|---|
| Application Note | IHC-P: Antigen Retrieval: Heat mediation was performed in Citrate buffer (pH 6.0, epitope retrieval solution) for 20 min. * The dilutions indicate recommended starting dilutions and the optimal dilutions or concentrations should be determined by the scientist. |
||||||
| Observed Size | ~ 62 kDa |
Properties
| Form | Liquid |
|---|---|
| Purification | Affinity purification with immunogen. |
| Buffer | 0.2% Na2HPO4, 0.9% NaCl, 0.05% Thimerosal, 0.05% Sodium azide and 5% BSA. |
| Preservative | 0.05% Thimerosal and 0.05% Sodium azide |
| Stabilizer | 5% BSA |
| Concentration | 0.5 mg/ml |
| Storage Instruction | For continuous use, store undiluted antibody at 2-8°C for up to a week. For long-term storage, aliquot and store at -20°C or below. Storage in frost free freezers is not recommended. Avoid repeated freeze/thaw cycles. Suggest spin the vial prior to opening. The antibody solution should be gently mixed before use. |
| Note | For laboratory research only, not for drug, diagnostic or other use. |
Bioinformation
| Database Links | |
|---|---|
| Gene Symbol | SLC22A6 |
| Gene Full Name | solute carrier family 22 (organic anion transporter), member 6 |
| Background | The protein encoded by this gene is involved in the sodium-dependent transport and excretion of organic anions, some of which are potentially toxic. The encoded protein is an integral membrane protein and may be localized to the basolateral membrane. Four transcript variants encoding four different isoforms have been found for this gene. [provided by RefSeq, Jul 2008] |
| Function | Involved in the renal elimination of endogenous and exogenous organic anions. Functions as organic anion exchanger when the uptake of one molecule of organic anion is coupled with an efflux of one molecule of endogenous dicarboxylic acid (glutarate, ketoglutarate, etc). Mediates the sodium-independent uptake of 2,3-dimercapto-1-propanesulfonic acid (DMPS) (By similarity). Mediates the sodium-independent uptake of p-aminohippurate (PAH), ochratoxin (OTA), acyclovir (ACV), 3'-azido-3-'deoxythymidine (AZT), cimetidine (CMD), 2,4-dichloro-phenoxyacetate (2,4-D), hippurate (HA), indoleacetate (IA), indoxyl sulfate (IS) and 3-carboxy-4-methyl-5-propyl-2-furanpropionate (CMPF), cidofovir, adefovir, 9-(2-phosphonylmethoxyethyl) guanine (PMEG), 9-(2-phosphonylmethoxyethyl) diaminopurine (PMEDAP) and edaravone sulfate. PAH uptake is inhibited by p-chloromercuribenzenesulphonate (PCMBS), diethyl pyrocarbonate (DEPC), sulindac, diclofenac, carprofen, glutarate and okadaic acid (By similarity). PAH uptake is inhibited by benzothiazolylcysteine (BTC), S-chlorotrifluoroethylcysteine (CTFC), cysteine S-conjugates S-dichlorovinylcysteine (DCVC), furosemide, steviol, phorbol 12-myristate 13-acetate (PMA), calcium ionophore A23187, benzylpenicillin, furosemide, indomethacin, bumetamide, losartan, probenecid, phenol red, urate, and alpha-ketoglutarate. [UniProt] |
| Cellular Localization | Cell membrane; Multi-pass membrane protein. [UniProt] |
| Calculated MW | 62 kDa |
| PTM | Glycosylated. Glycosylation at Asn-113 may occur at a secondary level. Glycosylation is necessary for proper targeting of the transporter to the plasma membrane. [UniProt] |
Images (3) Click the Picture to Zoom In
-
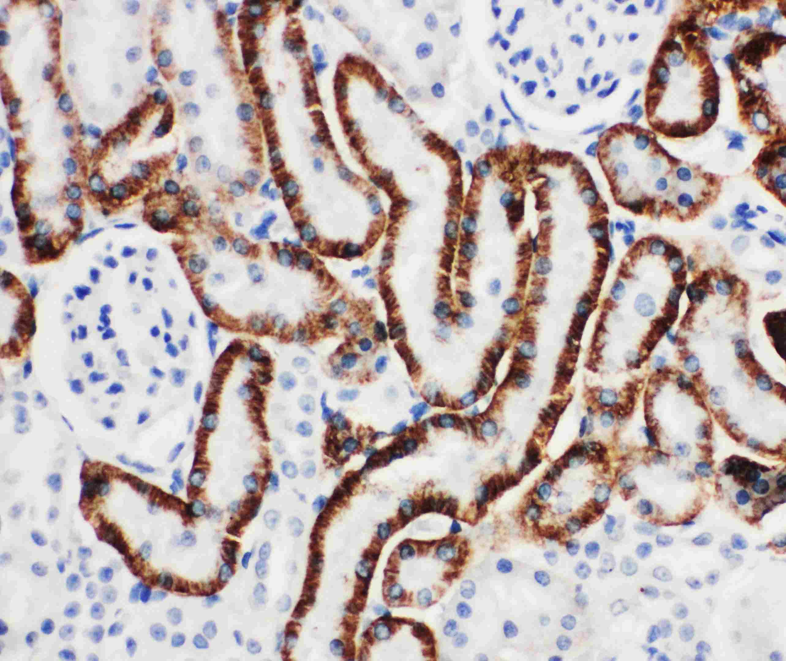
ARG41225 anti-SLC22A6 / OAT1 antibody IHC-P image
Immunohistochemistry: Paraffin-embedded Rat kidney tissue stained with ARG41225 anti-SLC22A6 / OAT1 antibody.
-
ARG41225 anti-SLC22A6 / OAT1 antibody WB image
Western blot: HT1080 and HeLa cell lysates stained with ARG41225 anti-SLC22A6 / OAT1 antibody.
-
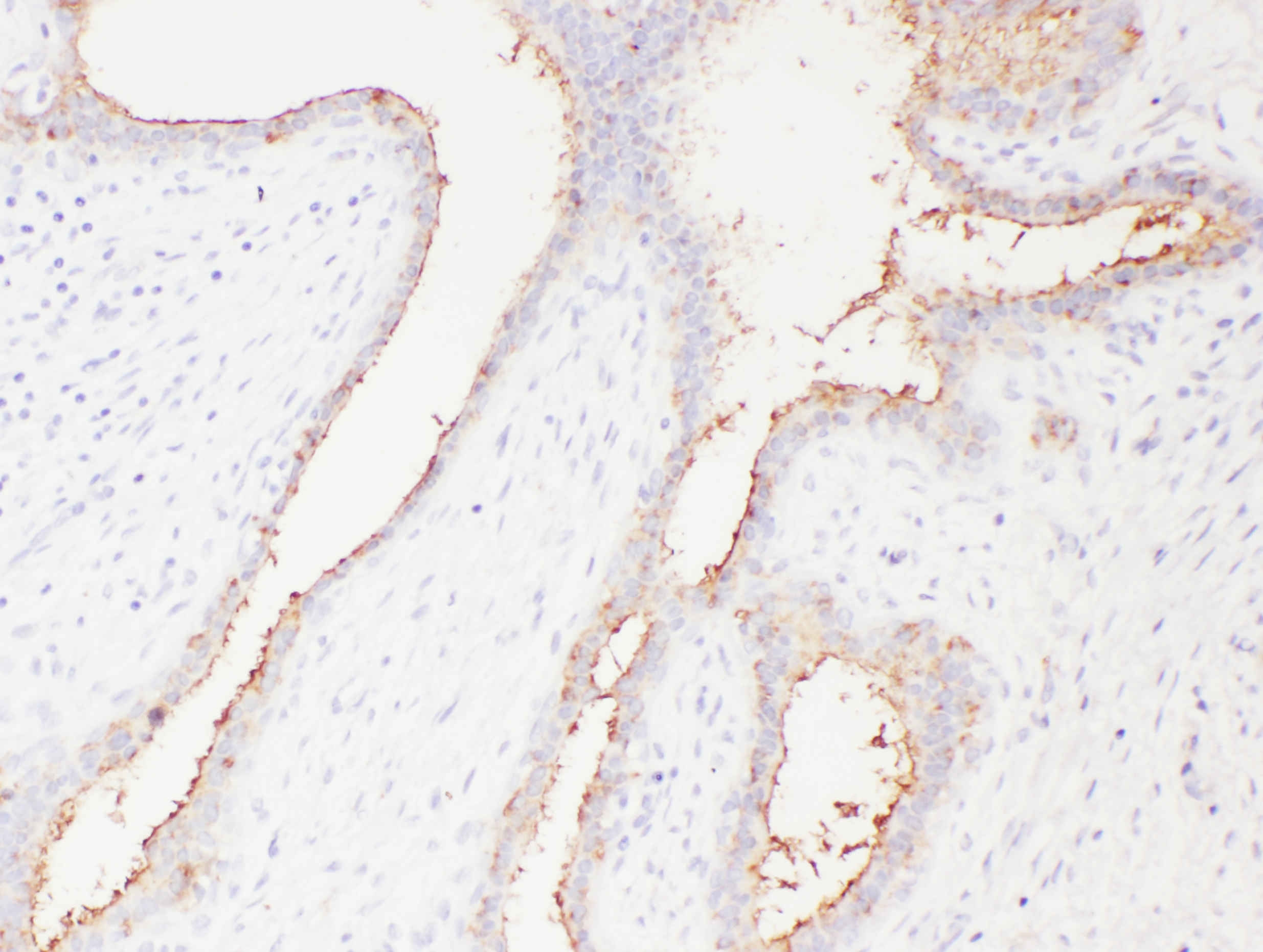
ARG41225 anti-SLC22A6 / OAT1 antibody IHC-P image
Immunohistochemistry: Paraffin-embedded Human mammary cancer tissue. Antigen Retrieval: Heat mediation was performed in Citrate buffer (pH 6.0, epitope retrieval solution) for 20 min. The tissue section was blocked with 10% goat serum. The tissue section was then stained with ARG41225 anti-SLC22A6 / OAT1 antibody at 1 µg/ml dilution, overnight at 4°C.
