ARG43813
anti-SLC4A1 / Band 3 antibody
anti-SLC4A1 / Band 3 antibody for IHC-Frozen sections,IHC-Formalin-fixed paraffin-embedded sections,Western blot and Human,Mouse,Rat
Overview
| Product Description | Rabbit Polyclonal antibody recognizes SLC4A1 / Band 3 |
|---|---|
| Tested Reactivity | Hu, Ms, Rat |
| Tested Application | IHC-Fr, IHC-P, WB |
| Host | Rabbit |
| Clonality | Polyclonal |
| Isotype | IgG |
| Target Name | SLC4A1 / Band 3 |
| Antigen Species | Human |
| Immunogen | Recombinant protein fragment within a.a. 1-400 of Human SLC4A1 / Band 3. |
| Conjugation | Un-conjugated |
| Protein Full Name | Band 3 anion transport protein |
| Alternate Names | AE1; FR; WD; Anion exchanger 1; DI; RTA1A; Solute carrier family 4 member 1; EPB3; AE 1; SW; WD1; CD233; BND3; CD antigen CD233; WR; EMPB3; Anion exchange protein 1; Band 3 anion transport protein |
Application Instructions
| Application Suggestion |
|
||||||||
|---|---|---|---|---|---|---|---|---|---|
| Application Note | IHC-P: Antigen Retrieval: Heat mediated was performed using Citrate buffer (pH 6.0) for 20 min. Incubate the samples at 4°C for overnight. * The dilutions indicate recommended starting dilutions and the optimal dilutions or concentrations should be determined by the scientist. |
||||||||
| Observed Size | ~ 100 kDa |
Properties
| Form | Liquid |
|---|---|
| Purification | Affinity purification with immunogen. |
| Buffer | 0.9% NaCl, 0.2% Na2HPO4 and 4% Trehalose. |
| Stabilizer | 4% Trehalose |
| Concentration | 0.5 mg/ml |
| Storage Instruction | For continuous use, store undiluted antibody at 2-8°C for up to a week. For long-term storage, aliquot and store at -20°C or below. Storage in frost free freezers is not recommended. Avoid repeated freeze/thaw cycles. Suggest spin the vial prior to opening. The antibody solution should be gently mixed before use. |
| Note | For laboratory research only, not for drug, diagnostic or other use. |
Bioinformation
| Database Links | |
|---|---|
| Gene Symbol | SLC4A1 |
| Gene Full Name | solute carrier family 4 (anion exchanger), member 1 (Diego blood group) |
| Background | The protein encoded by this gene is part of the anion exchanger (AE) family and is expressed in the erythrocyte plasma membrane, where it functions as a chloride/bicarbonate exchanger involved in carbon dioxide transport from tissues to lungs. The protein comprises two domains that are structurally and functionally distinct. The N-terminal 40kDa domain is located in the cytoplasm and acts as an attachment site for the red cell skeleton by binding ankyrin. The glycosylated C-terminal membrane-associated domain contains 12-14 membrane spanning segments and carries out the stilbene disulphonate-sensitive exchange transport of anions. The cytoplasmic tail at the extreme C-terminus of the membrane domain binds carbonic anhydrase II. The encoded protein associates with the red cell membrane protein glycophorin A and this association promotes the correct folding and translocation of the exchanger. This protein is predominantly dimeric but forms tetramers in the presence of ankyrin. Many mutations in this gene are known in man, and these mutations can lead to two types of disease: destabilization of red cell membrane leading to hereditary spherocytosis, and defective kidney acid secretion leading to distal renal tubular acidosis. Other mutations that do not give rise to disease result in novel blood group antigens, which form the Diego blood group system. Southeast Asian ovalocytosis (SAO, Melanesian ovalocytosis) results from the heterozygous presence of a deletion in the encoded protein and is common in areas where Plasmodium falciparum malaria is endemic. One null mutation in this gene is known, resulting in very severe anemia and nephrocalcinosis. [provided by RefSeq, Jul 2008] |
| Function | Functions both as a transporter that mediates electroneutral anion exchange across the cell membrane and as a structural protein. Major integral membrane glycoprotein of the erythrocyte membrane; required for normal flexibility and stability of the erythrocyte membrane and for normal erythrocyte shape via the interactions of its cytoplasmic domain with cytoskeletal proteins, glycolytic enzymes, and hemoglobin. Functions as a transporter that mediates the 1:1 exchange of inorganic anions across the erythrocyte membrane. Mediates chloride-bicarbonate exchange in the kidney, and is required for normal acidification of the urine. [UniProt] |
| Cellular Localization | Cell membrane; Membrane [UniProt] |
| Calculated MW | 102 kDa |
| PTM | Phosphorylated on Tyr-8 and Tyr-21 most likely by SYK. PP1-resistant phosphorylation that precedes Tyr-359 and Tyr-904 phosphorylation. Phosphorylated on Tyr-359 and Tyr-904 most likely by LYN. PP1-inhibited phosphorylation that follows Tyr-8 and Tyr-21 phosphorylation. N-glycosylated. [UniProt] |
Images (7) Click the Picture to Zoom In
-
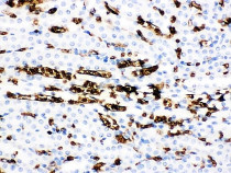
ARG43813 anti-SLC4A1 / Band 3 antibody IHC-P image
Immunohistochemistry: Formalin-fixed and paraffin-embedded Human Placenta Tissue stained with ARG43813 anti-SLC4A1 / Band 3 antibody at 1:200 dilution. Antigen Retrieval: Heat mediated was performed using citrate buffer pH 6.0.
-
ARG43813 anti-SLC4A1 / Band 3 antibody WB image
Western blot: K562 and T-47DE cell lysates stained with ARG43813 anti-SLC4A1 / Band 3 antibody at 1:5000 dilution
-
ARG43813 anti-SLC4A1 / Band 3 antibody ICC/IF image
Immunofluorescence: Human Placenta tissues Cells were stained with ARG43813 anti-SLC4A1 / Band 3 antibody at 1:250 and 4°C. DAPI (blue) was used as the nuclear counter stain.
-
ARG43813 anti-SLC4A1 / Band 3 antibody IHC-P image
Immunohistochemistry: Formalin-fixed and paraffin-embedded Mouse Kidney Tissue stained with ARG43813 anti-SLC4A1 / Band 3 antibody at 1:200 dilution. Antigen Retrieval: Heat mediated was performed using citrate buffer pH 6.0.
-
ARG43813 anti-SLC4A1 / Band 3 antibody IHC-P image
Immunohistochemistry: Formalin-fixed and paraffin-embedded Rat Kidney Tissue stained with ARG43813 anti-SLC4A1 / Band 3 antibody at 1:200 dilution. Antigen Retrieval: Heat mediated was performed using citrate buffer pH 6.0.
-
ARG43813 anti-SLC4A1 / Band 3 antibody ICC/IF image
Immunofluorescence: Rat Kidney tissues Cells were stained with ARG43813 anti-SLC4A1 / Band 3 antibody at 1:250 and 4°C. DAPI (blue) was used as the nuclear counter stain.
-
ARG43813 anti-SLC4A1 / Band 3 antibody IHC-P image
Immunohistochemistry: Formalin-fixed and paraffin-embedded Human Placenta Tissue stained with ARG43813 anti-SLC4A1 / Band 3 antibody at 1:200 dilution. Antigen Retrieval: Heat mediated was performed using citrate buffer pH 6.0.
