ARG40496
anti-SMAD5 phospho (Ser463 / 465) antibody
anti-SMAD5 phospho (Ser463 / 465) antibody for IHC-Formalin-fixed paraffin-embedded sections,Western blot and Human,Mouse,Rat
Overview
| Product Description | Rabbit Polyclonal antibody recognizes SMAD5 phospho (Ser463 / 465) |
|---|---|
| Tested Reactivity | Hu, Ms, Rat |
| Tested Application | IHC-P, WB |
| Specificity | This antibody may cross-react with SMAD1 phospho (pS463/465) and SMAD9 phospho (pS465/467). |
| Host | Rabbit |
| Clonality | Polyclonal |
| Isotype | IgG |
| Target Name | SMAD5 |
| Antigen Species | Human |
| Immunogen | Phosphospecific peptide around Ser463/465 of Human SMAD5. |
| Conjugation | Un-conjugated |
| Alternate Names | DWFC; Smad5; JV5-1; Mothers against decapentaplegic homolog 5; Mothers against DPP homolog 5; hSmad5; MADH5; SMAD 5; MAD homolog 5; SMAD family member 5 |
Application Instructions
| Application Suggestion |
|
||||||
|---|---|---|---|---|---|---|---|
| Application Note | * The dilutions indicate recommended starting dilutions and the optimal dilutions or concentrations should be determined by the scientist. |
Properties
| Form | Liquid |
|---|---|
| Purification | Affinity purified. |
| Buffer | PBS (pH 7.4), 0.02% Sodium azide and 50% Glycerol. |
| Preservative | 0.02% Sodium azide |
| Stabilizer | 50% Glycerol |
| Storage Instruction | For continuous use, store undiluted antibody at 2-8°C for up to a week. For long-term storage, aliquot and store at -20°C. Storage in frost free freezers is not recommended. Avoid repeated freeze/thaw cycles. Suggest spin the vial prior to opening. The antibody solution should be gently mixed before use. |
| Note | For laboratory research only, not for drug, diagnostic or other use. |
Bioinformation
| Database Links | |
|---|---|
| Gene Symbol | SMAD5 |
| Gene Full Name | SMAD family member 5 |
| Background | The protein encoded by this gene is involved in the transforming growth factor beta signaling pathway that results in an inhibition of the proliferation of hematopoietic progenitor cells. The encoded protein is activated by bone morphogenetic proteins type 1 receptor kinase, and may be involved in cancer. Alternative splicing results in multiple transcript variants. [provided by RefSeq, Feb 2014] |
| Function | Transcriptional modulator activated by BMP (bone morphogenetic proteins) type 1 receptor kinase. SMAD5 is a receptor-regulated SMAD (R-SMAD). [UniProt] |
| Cellular Localization | Cytoplasm. Nucleus. Note=Cytoplasmic in the absence of ligand. Migrates to the nucleus when complexed with SMAD4. [UniProt] |
| Calculated MW | 52 kDa |
| PTM | Phosphorylated on serine by BMP (bone morphogenetic proteins) type 1 receptor kinase. Ubiquitin-mediated proteolysis by SMAD-specific E3 ubiquitin ligase SMURF1. [UniProt] |
Images (2) Click the Picture to Zoom In
-
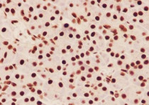
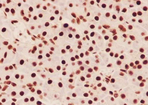
ARG40496 anti-SMAD5 phospho (Ser463/465) antibody IHC-P image
Immunohistochemistry: Paraffin-embedded Human pancreas tissue stained with ARG40496 anti-SMAD5 phospho (Ser463/465) antibody.
-
ARG40496 anti-SMAD5 phospho (Ser463/465) antibody WB image
Western blot: Mouse brain tissue lysate stained with ARG40496 anti-SMAD5 phospho (Ser463/465) antibody.
