ARG40138
anti-SNRPD1 / Sm D1 antibody
anti-SNRPD1 / Sm D1 antibody for Flow cytometry,IHC-Formalin-fixed paraffin-embedded sections,Western blot and Human
Overview
| Product Description | Rabbit Polyclonal antibody recognizes SNRPD1 / Sm D1 |
|---|---|
| Tested Reactivity | Hu |
| Tested Application | FACS, IHC-P, WB |
| Host | Rabbit |
| Clonality | Polyclonal |
| Isotype | IgG |
| Target Name | SNRPD1 / Sm D1 |
| Antigen Species | Human |
| Immunogen | KLH-conjugated synthetic peptide between aa. 69-98 of Human SNRPD1. |
| Conjugation | Un-conjugated |
| Alternate Names | Sm-D autoantigen; snRNP core protein D1; Sm-D1; Small nuclear ribonucleoprotein Sm D1; HsT2456; SMD1; SNRPD |
Application Instructions
| Application Suggestion |
|
||||||||
|---|---|---|---|---|---|---|---|---|---|
| Application Note | * The dilutions indicate recommended starting dilutions and the optimal dilutions or concentrations should be determined by the scientist. | ||||||||
| Positive Control | K562 |
Properties
| Form | Liquid |
|---|---|
| Purification | Saturated Ammonium Sulfate (SAS) precipitation followed by dialysis against PBS. |
| Buffer | PBS and 0.09% (W/V) Sodium azide. |
| Preservative | 0.09% (W/V) Sodium azide. |
| Storage Instruction | For continuous use, store undiluted antibody at 2-8°C for up to a week. For long-term storage, aliquot and store at -20°C or below. Storage in frost free freezers is not recommended. Avoid repeated freeze/thaw cycles. Suggest spin the vial prior to opening. The antibody solution should be gently mixed before use. |
| Note | For laboratory research only, not for drug, diagnostic or other use. |
Bioinformation
| Database Links |
Swiss-port # P62314 Human Small nuclear ribonucleoprotein Sm D1 |
|---|---|
| Gene Symbol | SNRPD1 |
| Gene Full Name | small nuclear ribonucleoprotein D1 polypeptide 16kDa |
| Background | This gene encodes a small nuclear ribonucleoprotein that belongs to the SNRNP core protein family. The protein may act as a charged protein scaffold to promote SNRNP assembly or strengthen SNRNP-SNRNP interactions through nonspecific electrostatic contacts with RNA. Two transcript variants encoding different isoforms have been found for this gene. [provided by RefSeq, May 2014] |
| Function | Core component of the spliceosomal U1, U2, U4 and U5 small nuclear ribonucleoproteins (snRNPs), the building blocks of the spliceosome. Thereby, plays an important role in the splicing of cellular pre-mRNAs. Most spliceosomal snRNPs contain a common set of Sm proteins SNRPB, SNRPD1, SNRPD2, SNRPD3, SNRPE, SNRPF and SNRPG that assemble in an heptameric protein ring on the Sm site of the small nuclear RNA to form the core snRNP. May act as a charged protein scaffold to promote snRNP assembly or strengthen snRNP-snRNP interactions through nonspecific electrostatic contacts with RNA. [UniProt] |
| Cellular Localization | Cytoplasm, cytosol. Nucleus. Note=SMN-mediated assembly into core snRNPs occurs in the cytosol before SMN-mediated transport to the nucleus to be included in spliceosomes. [UniProt] |
| Calculated MW | 13 kDa |
| PTM | Methylated on arginine residues by PRMT5 and PRMT7; probable asymmetric dimethylation which is required for assembly and biogenesis of snRNPs. [UniProt] |
Images (3) Click the Picture to Zoom In
-
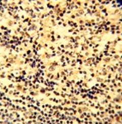
ARG40138 anti-SNRPD1 / Sm D1 antibody IHC-P image
Immunohistochemistry: Formalin-fixed and paraffin-embedded Human tonsil stained with ARG40138 anti-SNRPD1 / Sm D1 antibody.
-
ARG40138 anti-SNRPD1 / Sm D1 antibody WB image
Western blot: 20 µg of K562 whole cell lysate stained with ARG40138 anti-SNRPD1 / Sm D1 antibody at 1:1000 dilution.
-
ARG40138 anti-SNRPD1 / Sm D1 antibody FACS image
Flow Cytometry: HL-60 cells stained with ARG40138 anti-SNRPD1 / Sm D1 antibody (right histogram) or without primary antibody as control (left histogram), followed by incubation with FITC labelled secondary antibody.
