ARG59123
anti-SNRPN antibody
anti-SNRPN antibody for IHC-Formalin-fixed paraffin-embedded sections and Human,Mouse,Rat
Overview
| Product Description | Rabbit Polyclonal antibody recognizes SNRPN |
|---|---|
| Tested Reactivity | Hu, Ms, Rat |
| Predict Reactivity | Hm |
| Tested Application | IHC-P |
| Specificity | This antibody might react to SNRPB based on sequence analysis. |
| Host | Rabbit |
| Clonality | Polyclonal |
| Isotype | IgG |
| Target Name | SNRPN |
| Antigen Species | Human |
| Immunogen | Synthetic peptide corresponding to aa. 11-39 of Human SNRPN. (QHIDYRMRCILQDGRIFIGTFKAFDKHMN) |
| Conjugation | Un-conjugated |
| Alternate Names | Sm protein D; Sm protein N; SNURF-SNRPN; SmN; Small nuclear ribonucleoprotein-associated protein N; RT-LI; SNRNP-N; SMN; SM-D; PWCR; Sm-D; sm-N; snRNP-N; HCERN3; Sm-N; Tissue-specific-splicing protein |
Application Instructions
| Application Suggestion |
|
||||
|---|---|---|---|---|---|
| Application Note | IHC-P: Antigen Retrieval: By heat mediation. * The dilutions indicate recommended starting dilutions and the optimal dilutions or concentrations should be determined by the scientist. |
Properties
| Form | Liquid |
|---|---|
| Purification | Affinity purification with immunogen. |
| Buffer | 0.9% NaCl, 0.2% Na2HPO4, 0.05% Sodium azide and 5% BSA. |
| Preservative | 0.05% Sodium azide |
| Stabilizer | 5% BSA |
| Concentration | 0.5 mg/ml |
| Storage Instruction | For continuous use, store undiluted antibody at 2-8°C for up to a week. For long-term storage, aliquot and store at -20°C or below. Storage in frost free freezers is not recommended. Avoid repeated freeze/thaw cycles. Suggest spin the vial prior to opening. The antibody solution should be gently mixed before use. |
| Note | For laboratory research only, not for drug, diagnostic or other use. |
Bioinformation
| Database Links | |
|---|---|
| Gene Symbol | SNRPN |
| Gene Full Name | small nuclear ribonucleoprotein polypeptide N |
| Background | The protein encoded by this gene is one polypeptide of a small nuclear ribonucleoprotein complex and belongs to the snRNP SMB/SMN family. The protein plays a role in pre-mRNA processing, possibly tissue-specific alternative splicing events. Although individual snRNPs are believed to recognize specific nucleic acid sequences through RNA-RNA base pairing, the specific role of this family member is unknown. The protein arises from a bicistronic transcript that also encodes a protein identified as the SNRPN upstream reading frame (SNURF). Multiple transcription initiation sites have been identified and extensive alternative splicing occurs in the 5' untranslated region. Additional splice variants have been described but sequences for the complete transcripts have not been determined. The 5' UTR of this gene has been identified as an imprinting center. Alternative splicing or deletion caused by a translocation event in this paternally-expressed region is responsible for Angelman syndrome or Prader-Willi syndrome due to parental imprint switch failure. [provided by RefSeq, Jul 2008] |
| Function | May be involved in tissue-specific alternative RNA processing events. [UniProt] |
| Cellular Localization | Nucleus. [UniProt] |
| Calculated MW | 25 kDa |
Images (3) Click the Picture to Zoom In
-
ARG59123 anti-SNRPN antibody IHC-P image
Immunohistochemistry: Paraffin-embedded Mouse brain stained with ARG59123 anti-SNRPN antibody.
-
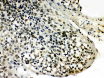
ARG59123 anti-SNRPN antibody IHC-P image
Immunohistochemistry: Paraffin-embedded Rat thymus stained with ARG59123 anti-SNRPN antibody.
-
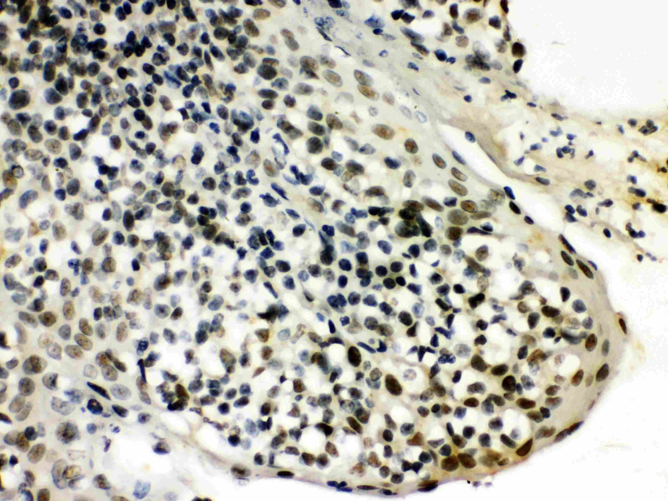
ARG59123 anti-SNRPN antibody IHC-P image
Immunohistochemistry: Paraffin-embedded Human tonsil stained with ARG59123 anti-SNRPN antibody.
