ARG59128
anti-SP3 antibody
anti-SP3 antibody for IHC-Formalin-fixed paraffin-embedded sections and Human,Mouse,Rat
Overview
| Product Description | Rabbit Polyclonal antibody recognizes SP3 |
|---|---|
| Tested Reactivity | Hu, Ms, Rat |
| Predict Reactivity | Hm |
| Tested Application | IHC-P |
| Host | Rabbit |
| Clonality | Polyclonal |
| Isotype | IgG |
| Target Name | SP3 |
| Antigen Species | Human |
| Immunogen | Synthetic peptide corresponding to aa. 569-599 of Human SP3. (NTNDLTHLRVQVVDEEGDQQHQEGKRLRRVA) |
| Conjugation | Un-conjugated |
| Alternate Names | SPR-2; SPR2; Transcription factor Sp3 |
Application Instructions
| Application Suggestion |
|
||||
|---|---|---|---|---|---|
| Application Note | IHC-P: Antigen Retrieval: By heat mediation. * The dilutions indicate recommended starting dilutions and the optimal dilutions or concentrations should be determined by the scientist. |
Properties
| Form | Liquid |
|---|---|
| Purification | Affinity purification with immunogen. |
| Buffer | 0.9% NaCl, 0.2% Na2HPO4, 0.05% Sodium azide and 5% BSA. |
| Preservative | 0.05% Sodium azide |
| Stabilizer | 5% BSA |
| Concentration | 0.5 mg/ml |
| Storage Instruction | For continuous use, store undiluted antibody at 2-8°C for up to a week. For long-term storage, aliquot and store at -20°C or below. Storage in frost free freezers is not recommended. Avoid repeated freeze/thaw cycles. Suggest spin the vial prior to opening. The antibody solution should be gently mixed before use. |
| Note | For laboratory research only, not for drug, diagnostic or other use. |
Bioinformation
| Database Links | |
|---|---|
| Gene Symbol | SP3 |
| Gene Full Name | Sp3 transcription factor |
| Background | This gene belongs to a family of Sp1 related genes that encode transcription factors that regulate transcription by binding to consensus GC- and GT-box regulatory elements in target genes. This protein contains a zinc finger DNA-binding domain and several transactivation domains, and has been reported to function as a bifunctional transcription factor that either stimulates or represses the transcription of numerous genes. Transcript variants encoding different isoforms have been described for this gene, and one has been reported to initiate translation from a non-AUG (AUA) start codon. Additional isoforms, resulting from the use of alternate downstream translation initiation sites, have also been noted. A related pseudogene has been identified on chromosome 13. [provided by RefSeq, Feb 2010] |
| Function | Transcriptional factor that can act as an activator or repressor depending on isoform and/or post-translational modifications. Binds to GT and GC boxes promoter elements. Competes with SP1 for the GC-box promoters. Weak activator of transcription but can activate a number of genes involved in different processes such as cell-cycle regulation, hormone-induction and house-keeping. [UniProt] |
| Cellular Localization | Nucleus. Nucleus, PML body. Note=Localizes to the nuclear periphery and in nuclear dots when sumoylated. Some localization in PML nuclear bodies. [UniProt] |
| Calculated MW | 82 kDa |
| PTM | Not glycosylated. Acetylated by histone acetyltransferase p300, deacetylated by HDACs. Acetylation/deacetylation states regulate transcriptional activity. Acetylation appears to activate transcription. Alternate sumoylation and acetylation at Lys-551 also control transcriptional activity. [UniProt] |
Images (3) Click the Picture to Zoom In
-
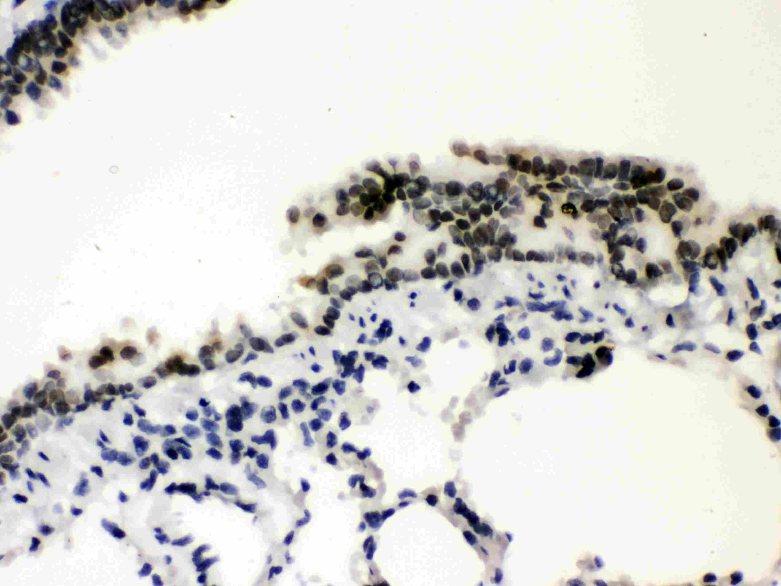
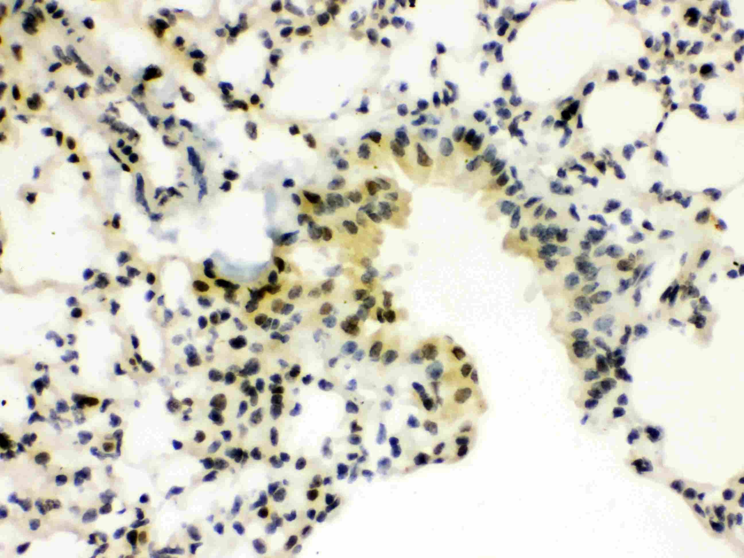
ARG59128 anti-SP3 antibody IHC-P image
Immunohistochemistry: Paraffin-embedded Mouse lung stained with ARG59128 anti-SP3 antibody.
-
ARG59128 anti-SP3 antibody IHC-P image
Immunohistochemistry: Paraffin-embedded Rat lung stained with ARG59128 anti-SP3 antibody.
-
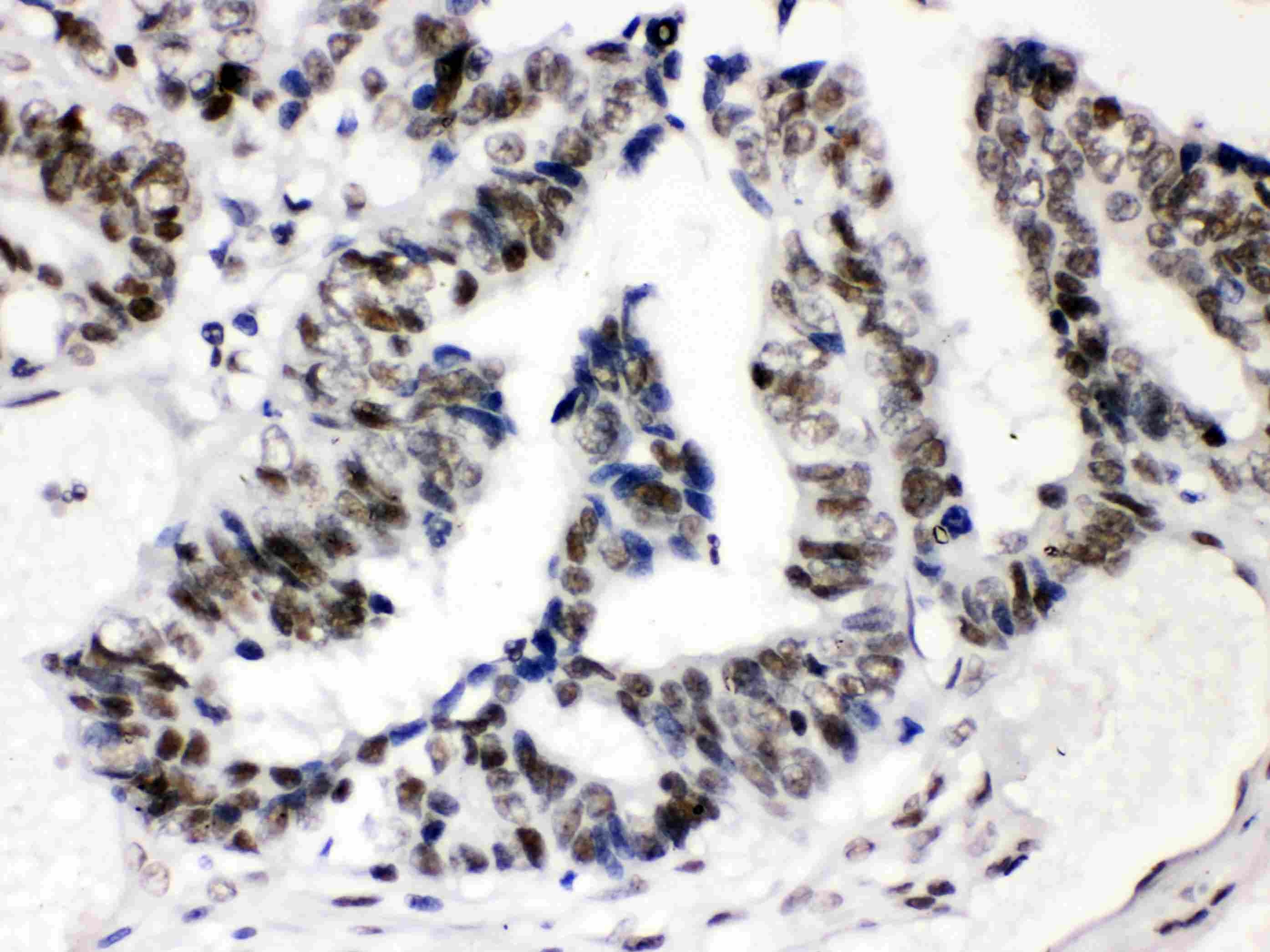
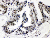
ARG59128 anti-SP3 antibody IHC-P image
Immunohistochemistry: Paraffin-embedded Human intestinal cancer stained with ARG59128 anti-SP3 antibody.
