ARG59113
anti-Synapsin 1 antibody
anti-Synapsin 1 antibody for IHC-Formalin-fixed paraffin-embedded sections,Western blot and Human,Mouse,Rat
Overview
| Product Description | Rabbit Polyclonal antibody recognizes Synapsin 1 |
|---|---|
| Tested Reactivity | Hu, Ms, Rat |
| Predict Reactivity | Bov, Dog, Hm, Hrs, Mk, Rb |
| Tested Application | IHC-P, WB |
| Host | Rabbit |
| Clonality | Polyclonal |
| Isotype | IgG |
| Target Name | Synapsin 1 |
| Antigen Species | Human |
| Immunogen | Synthetic peptide corresponding to aa. 662-705 of Human Synapsin 1. (KSQSLTNAFNLPEPAPPRPSLSQDEVKAETIRSLRKSFASLFSD) |
| Conjugation | Un-conjugated |
| Alternate Names | SYNI; Brain protein 4.1; Synapsin-1; SYN1a; SYN1b; Synapsin I |
Application Instructions
| Application Suggestion |
|
||||||
|---|---|---|---|---|---|---|---|
| Application Note | IHC-P: Antigen Retrieval: By heat mediation. * The dilutions indicate recommended starting dilutions and the optimal dilutions or concentrations should be determined by the scientist. |
Properties
| Form | Liquid |
|---|---|
| Purification | Affinity purification with immunogen. |
| Buffer | 0.9% NaCl, 0.2% Na2HPO4, 0.05% Sodium azide and 5% BSA. |
| Preservative | 0.05% Sodium azide |
| Stabilizer | 5% BSA |
| Concentration | 0.5 mg/ml |
| Storage Instruction | For continuous use, store undiluted antibody at 2-8°C for up to a week. For long-term storage, aliquot and store at -20°C or below. Storage in frost free freezers is not recommended. Avoid repeated freeze/thaw cycles. Suggest spin the vial prior to opening. The antibody solution should be gently mixed before use. |
| Note | For laboratory research only, not for drug, diagnostic or other use. |
Bioinformation
| Database Links | |
|---|---|
| Gene Symbol | SYN1 |
| Gene Full Name | synapsin I |
| Background | This gene is a member of the synapsin gene family. Synapsins encode neuronal phosphoproteins which associate with the cytoplasmic surface of synaptic vesicles. Family members are characterized by common protein domains, and they are implicated in synaptogenesis and the modulation of neurotransmitter release, suggesting a potential role in several neuropsychiatric diseases. This member of the synapsin family plays a role in regulation of axonogenesis and synaptogenesis. The protein encoded serves as a substrate for several different protein kinases and phosphorylation may function in the regulation of this protein in the nerve terminal. Mutations in this gene may be associated with X-linked disorders with primary neuronal degeneration such as Rett syndrome. Alternatively spliced transcript variants encoding different isoforms have been identified. [provided by RefSeq, Jul 2008] |
| Function | Neuronal phosphoprotein that coats synaptic vesicles, binds to the cytoskeleton, and is believed to function in the regulation of neurotransmitter release. The complex formed with NOS1 and CAPON proteins is necessary for specific nitric-oxid functions at a presynaptic level. [UniProt] |
| Cellular Localization | Cell junction, synapse. Golgi apparatus. [UniProt] |
| Calculated MW | 74 kDa |
| PTM | Substrate of at least four different protein kinases. It is probable that phosphorylation plays a role in the regulation of synapsin-1 in the nerve terminal. Phosphorylation at Ser-9 dissociates synapsins from synaptic vesicles. [UniProt] |
Images (2) Click the Picture to Zoom In
-
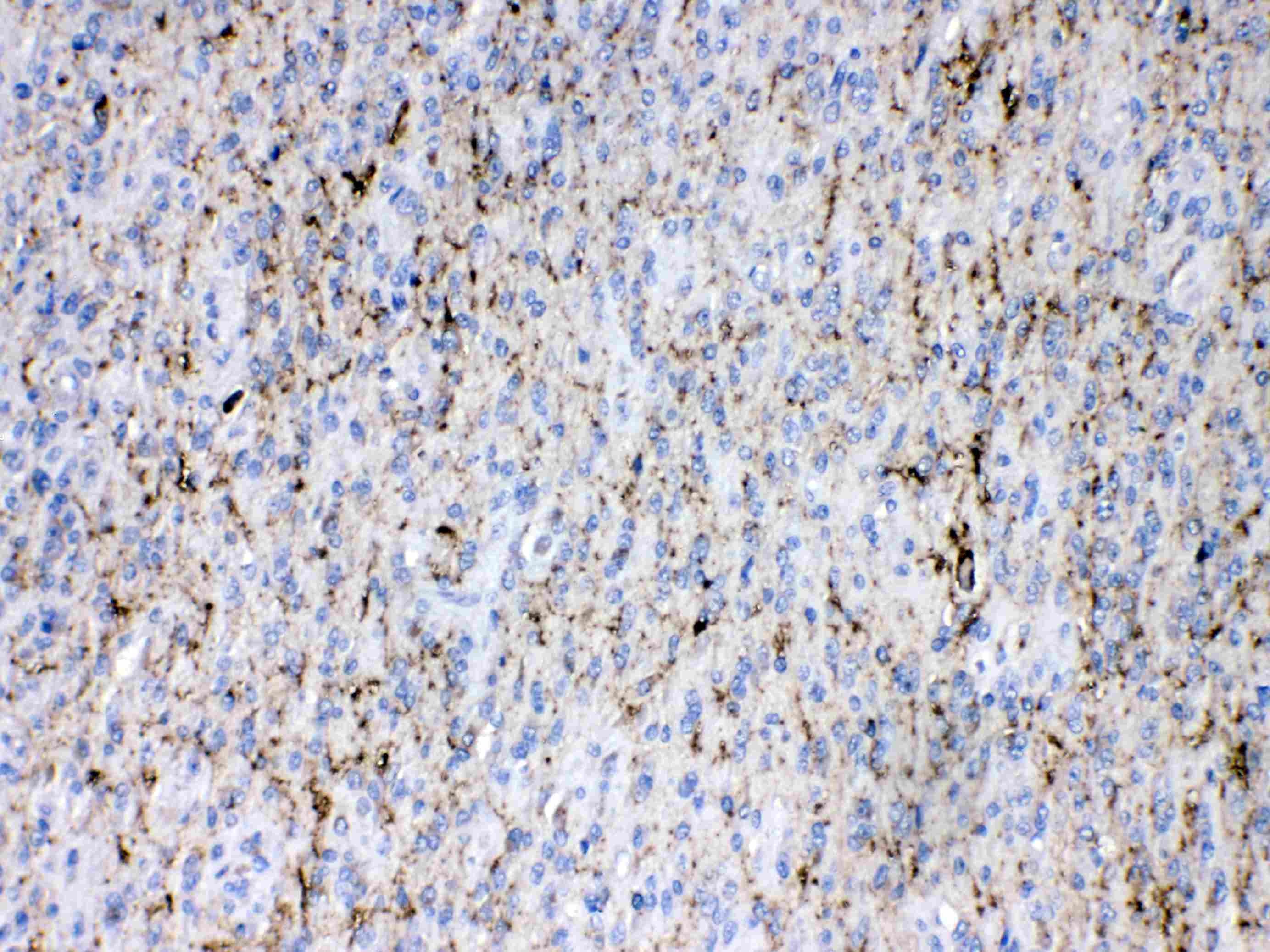
ARG59113 anti-Synapsin 1 antibody IHC-P image
Immunohistochemistry: Paraffin-embedded Human glioma stained with ARG59113 anti-Synapsin 1 antibody at 1 µg/ml dilution.
-
ARG59113 anti-Synapsin 1 antibody WB image
Western blot: Rat brain, Mouse brain and SHG-44 lysates stained with ARG59113 anti-Synapsin 1 antibody at 0.5 µg/ml dilution.
