ARG55403
anti-TET1 antibody
anti-TET1 antibody for ICC/IF,IHC-Formalin-fixed paraffin-embedded sections,Western blot and Human,Mouse,Rat
Cancer antibody; Gene Regulation antibody
Overview
| Product Description | Rabbit Polyclonal antibody recognizes TET1 |
|---|---|
| Tested Reactivity | Hu, Ms, Rat |
| Tested Application | ICC/IF, IHC-P, WB |
| Specificity | This antibody is predicted to not cross-react with TET2 and TET3. |
| Host | Rabbit |
| Clonality | Polyclonal |
| Isotype | IgG |
| Target Name | TET1 |
| Antigen Species | Human |
| Immunogen | Synthetic peptide (18 aa) within aa. 2030-2080 of Human TET1. |
| Conjugation | Un-conjugated |
| Alternate Names | Leukemia-associated protein with a CXXC domain; CXXC-type zinc finger protein 6; LCX; EC 1.14.11.n2; Ten-eleven translocation 1 gene protein; CXXC6; MLL-TET1; Methylcytosine dioxygenase TET1; TET1-MLL; bA119F7.1 |
Application Instructions
| Application Suggestion |
|
||||||||
|---|---|---|---|---|---|---|---|---|---|
| Application Note | * The dilutions indicate recommended starting dilutions and the optimal dilutions or concentrations should be determined by the scientist. |
Properties
| Form | Liquid |
|---|---|
| Purification | Affinity purification with immunogen. |
| Buffer | PBS and 0.02% Sodium azide |
| Preservative | 0.02% Sodium azide |
| Concentration | 1 mg/ml |
| Storage Instruction | For continuous use, store undiluted antibody at 2-8°C for up to a week. For long-term storage, aliquot and store at -20°C or below. Storage in frost free freezers is not recommended. Avoid repeated freeze/thaw cycles. Suggest spin the vial prior to opening. The antibody solution should be gently mixed before use. |
| Note | For laboratory research only, not for drug, diagnostic or other use. |
Bioinformation
| Database Links | |
|---|---|
| Gene Symbol | TET1 |
| Gene Full Name | tet methylcytosine dioxygenase 1 |
| Background | DNA methylation is an epigenetic mechanism that is important for controlling gene expression. The protein encoded by this gene is a demethylase that belongs to the TET (ten-eleven translocation) family. Members of the TET protein family play a role in the DNA methylation process and gene activation. [provided by RefSeq, Sep 2015] |
| Function | Dioxygenase that catalyzes the conversion of the modified genomic base 5-methylcytosine (5mC) into 5-hydroxymethylcytosine (5hmC) and plays a key role in active DNA demethylation. Also mediates subsequent conversion of 5hmC into 5-formylcytosine (5fC), and conversion of 5fC to 5-carboxylcytosine (5caC). Conversion of 5mC into 5hmC, 5fC and 5caC probably constitutes the first step in cytosine demethylation. Methylation at the C5 position of cytosine bases is an epigenetic modification of the mammalian genome which plays an important role in transcriptional regulation. In addition to its role in DNA demethylation, plays a more general role in chromatin regulation. Preferentially binds to CpG-rich sequences at promoters of both transcriptionally active and Polycomb-repressed genes. Involved in the recruitment of the O-GlcNAc transferase OGT to CpG-rich transcription start sites of active genes, thereby promoting histone H2B GlcNAcylation by OGT. Also involved in transcription repression of a subset of genes through recruitment of transcriptional repressors to promoters. Involved in the balance between pluripotency and lineage commitment of cells it plays a role in embryonic stem cells maintenance and inner cell mass cell specification. [UniProt] |
| Research Area | Cancer antibody; Gene Regulation antibody |
| Calculated MW | 235 kDa |
| PTM | Glycosylated. Interaction with OGT leads to GlcNAcylation (By similarity). |
Images (3) Click the Picture to Zoom In
-
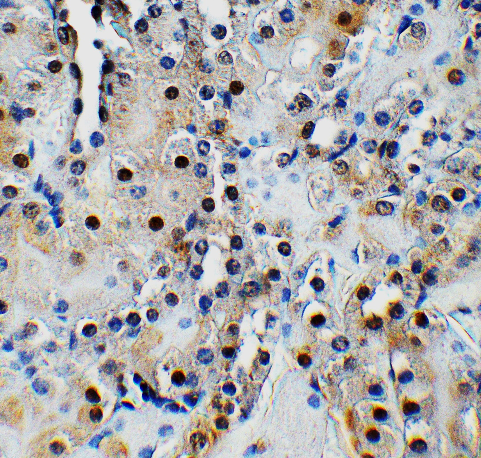
ARG55403 anti-TET1 antibody IHC-P image
Immunohistochemistry: Kidney Tissue stained with ARG55403 anti-TET1 antibody at 1 μg /ml dilution.
-
ARG55403 anti-TET1 antibody WB image
Western blot: Mouse Kidney, Mouse thymus and Mouse stomach stained with ARG55403 anti-TET1 antibody at 1 and dilution.
-
ARG55403 anti-TET1 antibody ICC/IF image
Immunofluorescence: HeLa cells stained with ARG55403 anti-TET1 antibody at 20 μg/ml dilution.
