ARG59124
anti-TLR5 antibody
anti-TLR5 antibody for Flow cytometry,IHC-Formalin-fixed paraffin-embedded sections,Western blot and Human
Overview
| Product Description | Rabbit Polyclonal antibody recognizes TLR5 |
|---|---|
| Tested Reactivity | Hu |
| Tested Application | FACS, IHC-P, WB |
| Host | Rabbit |
| Clonality | Polyclonal |
| Isotype | IgG |
| Target Name | TLR5 |
| Antigen Species | Human |
| Immunogen | Synthetic peptide corresponding to aa. 801-828 of Human TLR5. (MKHQSIRGFVQKQQYLRWPEDFQDVGWF) |
| Conjugation | Un-conjugated |
| Alternate Names | Toll/interleukin-1 receptor-like protein 3; MELIOS; TIL3; SLEB1; Toll-like receptor 5; SLE1 |
Application Instructions
| Application Suggestion |
|
||||||||
|---|---|---|---|---|---|---|---|---|---|
| Application Note | IHC-P: Antigen Retrieval: By heat mediation. * The dilutions indicate recommended starting dilutions and the optimal dilutions or concentrations should be determined by the scientist. |
Properties
| Form | Liquid |
|---|---|
| Purification | Affinity purification with immunogen. |
| Buffer | 0.9% NaCl, 0.2% Na2HPO4, 0.05% Sodium azide and 5% BSA. |
| Preservative | 0.05% Sodium azide |
| Stabilizer | 5% BSA |
| Concentration | 0.5 mg/ml |
| Storage Instruction | For continuous use, store undiluted antibody at 2-8°C for up to a week. For long-term storage, aliquot and store at -20°C or below. Storage in frost free freezers is not recommended. Avoid repeated freeze/thaw cycles. Suggest spin the vial prior to opening. The antibody solution should be gently mixed before use. |
| Note | For laboratory research only, not for drug, diagnostic or other use. |
Bioinformation
| Database Links | |
|---|---|
| Gene Symbol | TLR5 |
| Gene Full Name | toll-like receptor 5 |
| Background | This gene encodes a member of the toll-like receptor (TLR) family, which plays a fundamental role in pathogen recognition and activation of innate immune responses. These receptors recognize distinct pathogen-associated molecular patterns that are expressed on infectious agents. The protein encoded by this gene recognizes bacterial flagellin, the principal component of bacterial flagella and a virulence factor. The activation of this receptor mobilizes the nuclear factor NF-kappaB, which in turn activates a host of inflammatory-related target genes. Mutations in this gene have been associated with both resistance and susceptibility to systemic lupus erythematosus, and susceptibility to Legionnaire disease.[provided by RefSeq, Dec 2009] |
| Function | Participates in the innate immune response to microbial agents. Mediates detection of bacterial flagellins. Acts via MYD88 and TRAF6, leading to NF-kappa-B activation, cytokine secretion and the inflammatory response. [UniProt] |
| Cellular Localization | Membrane; Single-pass type I membrane protein. [UniProt] |
| Calculated MW | 98 kDa |
| PTM | Phosphorylated at Ser-805 by PKD/PRKD1; phosphorylation induces the production of inflammatory cytokines. Phosphorylated at Tyr-798 upon flagellin binding; required for signaling. [UniProt] |
Images (3) Click the Picture to Zoom In
-
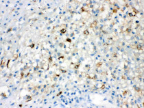
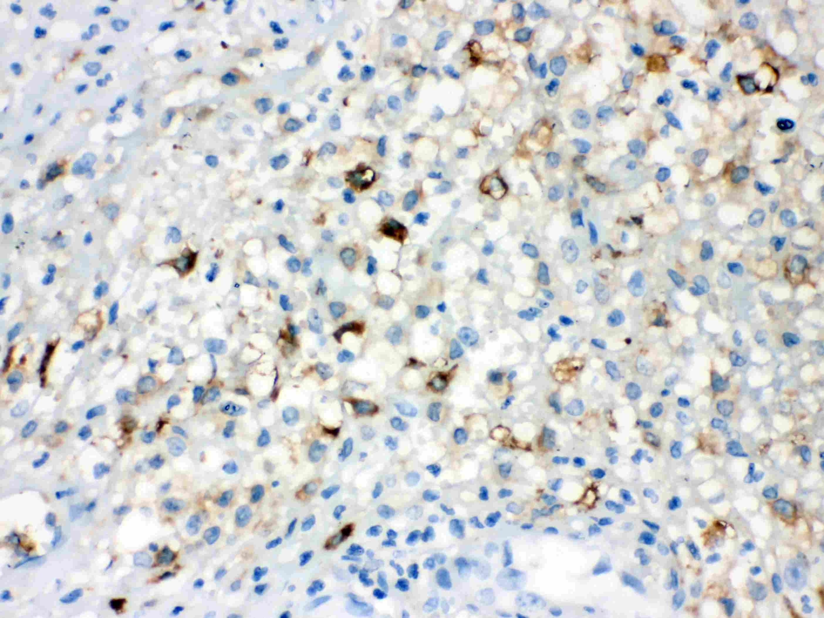
ARG59124 anti-TLR5 antibody IHC-P image
Immunohistochemistry: Paraffin-embedded Human appendicitis stained with ARG59124 anti-TLR5 antibody.
-
ARG59124 anti-TLR5 antibody WB image
Western blot: 40 µg of Jurkat cell lysate stained with ARG59124 anti-TLR5 antibody at 0.5 µg/ml dilution.
-
ARG59124 anti-TLR5 antibody FACS image
Flow Cytometry: Human PBMC cells were blocked with 10% normal goat serum and then stained with ARG59124 anti-TLR5 antibody (blue) at 1 µg/10^6 cells for 30 min at 20°C, followed by incubation with DyLight®488 labelled secondary antibody. Isotype control antibody (green) was rabbit IgG (1 µg/10^6 cells) used under the same conditions. Unlabelled sample (red) was also used as a control.
