ARG43098
anti-TRIM6 antibody
anti-TRIM6 antibody for Flow cytometry,ICC/IF,IHC-Formalin-fixed paraffin-embedded sections,Western blot and Human,Mouse,Rat
Overview
| Product Description | Rabbit Polyclonal antibody recognizes TRIM6 |
|---|---|
| Tested Reactivity | Hu, Ms, Rat |
| Tested Application | FACS, ICC/IF, IHC-P, WB |
| Host | Rabbit |
| Clonality | Polyclonal |
| Isotype | IgG |
| Target Name | TRIM6 |
| Antigen Species | Human |
| Immunogen | Recombinant protein corresponding to Q50-H349 Human TRIM6. |
| Conjugation | Un-conjugated |
| Alternate Names | RNF89; Tripartite motif-containing protein 6; EC 6.3.2.-; RING finger protein 89 |
Application Instructions
| Application Suggestion |
|
||||||||||
|---|---|---|---|---|---|---|---|---|---|---|---|
| Application Note | IHC-P: Antigen Retrieval: Heat mediation was performed in EDTA buffer (pH 8.0). * The dilutions indicate recommended starting dilutions and the optimal dilutions or concentrations should be determined by the scientist. |
||||||||||
| Observed Size | ~ 55 kDa |
Properties
| Form | Liquid |
|---|---|
| Purification | Affinity purification with immunogen. |
| Buffer | 0.2% Na2HPO4, 0.9% NaCl, 0.05% Sodium azide and 4% Trehalose. |
| Preservative | 0.05% Sodium azide |
| Stabilizer | 4% Trehalose |
| Concentration | 0.5 mg/ml |
| Storage Instruction | For continuous use, store undiluted antibody at 2-8°C for up to a week. For long-term storage, aliquot and store at -20°C or below. Storage in frost free freezers is not recommended. Avoid repeated freeze/thaw cycles. Suggest spin the vial prior to opening. The antibody solution should be gently mixed before use. |
| Note | For laboratory research only, not for drug, diagnostic or other use. |
Bioinformation
| Database Links |
Swiss-port # Q8BGE7 Mouse Tripartite motif-containing protein 6 Swiss-port # Q9C030 Human Tripartite motif-containing protein 6 |
|---|---|
| Gene Symbol | TRIM6 |
| Gene Full Name | tripartite motif containing 6 |
| Background | The protein encoded by this gene is a member of the tripartite motif (TRIM) family. The TRIM motif includes three zinc-binding domains, a RING, B-box type 1 and B-box type 2 domain, and a coiled-coil region. The protein localizes to the nucleus, but its specific function has not been identified. This gene is mapped to chromosome 11p15, where it resides within a TRIM gene cluster. Alternative splicing results in multiple transcript variants. A read-through transcript from this gene into the downstream TRIM34 gene has also been observed, which results in a fusion product from these neighboring family members. [provided by RefSeq, Oct 2010] |
| Function | E3 ubiquitin-protein ligase which ubiquitinates MYC and inhibits its transcription activation activity, maintaining the pluripotency of embryonic stem cells (By similarity). Involved in the synthesis of unanchored K48-linked polyubiquitin chains which interact with and activate the serine/threonine kinase IKBKE, leading to phosphorylation of STAT1 and stimulation of an antiviral response (PubMed:24882218). [UniProt] |
| Cellular Localization | Cytoplasm. [UniProt] |
| Calculated MW | 56 kDa |
Images (6) Click the Picture to Zoom In
-
ARG43098 anti-TRIM6 antibody ICC/IF image
Immunofluorescence: U2OS cells were blocked with 10% goat serum and then stained with ARG43098 anti-TRIM6 antibody (green) at 2 µg/ml dilution, overnight at 4°C. DAPI (blue) for nuclear staining.
-
ARG43098 anti-TRIM6 antibody IHC-P image
Immunohistochemistry: Paraffin-embedded Human tonsil tissue. Antigen Retrieval: Heat mediation was performed in EDTA buffer (pH 8.0). The tissue section was blocked with 10% goat serum. The tissue section was then stained with ARG43098 anti-TRIM6 antibody at 1 µg/ml dilution, overnight at 4°C.
-
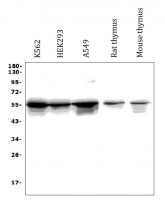
ARG43098 anti-TRIM6 antibody WB image
Western blot: 50 µg of sample under reducing conditions. K562, HEK293, A549, Rat thymus and Mouse thymus lysates stained with ARG43098 anti-TRIM6 antibody at 0.5 µg/ml dilution, overnight at 4°C.
-
ARG43098 anti-TRIM6 antibody FACS image
Flow Cytometry: 293T cells were blocked with 10% normal goat serum and then stained with ARG43098 anti-TRIM6 antibody (blue) at 1 µg/10^6 cells for 30 min at 20°C, followed by incubation with DyLight®488 labelled secondary antibody. Isotype control antibody (green) was rabbit IgG (1 µg/10^6 cells) used under the same conditions. Unlabelled sample (red) was also used as a control.
-
ARG43098 anti-TRIM6 antibody IHC-P image
Immunohistochemistry: Paraffin-embedded Mouse thymus tissue. Antigen Retrieval: Heat mediation was performed in EDTA buffer (pH 8.0). The tissue section was blocked with 10% goat serum. The tissue section was then stained with ARG43098 anti-TRIM6 antibody at 1 µg/ml dilution, overnight at 4°C.
-
ARG43098 anti-TRIM6 antibody IHC-P image
Immunohistochemistry: Paraffin-embedded Rat spleen tissue. Antigen Retrieval: Heat mediation was performed in EDTA buffer (pH 8.0). The tissue section was blocked with 10% goat serum. The tissue section was then stained with ARG43098 anti-TRIM6 antibody at 1 µg/ml dilution, overnight at 4°C.
