ARG40883
anti-TSC1 / Hamartin antibody
anti-TSC1 / Hamartin antibody for IHC-Formalin-fixed paraffin-embedded sections,Western blot and Human,Rat
Overview
| Product Description | Rabbit Polyclonal antibody recognizes TSC1 / Hamartin |
|---|---|
| Tested Reactivity | Hu, Rat |
| Predict Reactivity | Ms, Hm |
| Tested Application | IHC-P, WB |
| Host | Rabbit |
| Clonality | Polyclonal |
| Isotype | IgG |
| Target Name | TSC1 / Hamartin |
| Antigen Species | Human |
| Immunogen | Synthetic peptide corresponding to aa. 1150-1164 of Human Hamartin (QLHIMDYNETHHEHS). |
| Conjugation | Un-conjugated |
| Alternate Names | LAM; Tuberous sclerosis 1 protein; Hamartin; TSC |
Application Instructions
| Application Suggestion |
|
||||||
|---|---|---|---|---|---|---|---|
| Application Note | * The dilutions indicate recommended starting dilutions and the optimal dilutions or concentrations should be determined by the scientist. |
Properties
| Form | Liquid |
|---|---|
| Purification | Affinity purification with immunogen. |
| Buffer | 0.2% Na2HPO4, 0.9% NaCl, 0.05% Thimerosal, 0.05% Sodium azide and 5% BSA. |
| Preservative | 0.05% Thimerosal and 0.05% Sodium azide |
| Stabilizer | 5% BSA |
| Concentration | 0.5 mg/ml |
| Storage Instruction | For continuous use, store undiluted antibody at 2-8°C for up to a week. For long-term storage, aliquot and store at -20°C or below. Storage in frost free freezers is not recommended. Avoid repeated freeze/thaw cycles. Suggest spin the vial prior to opening. The antibody solution should be gently mixed before use. |
| Note | For laboratory research only, not for drug, diagnostic or other use. |
Bioinformation
| Database Links | |
|---|---|
| Gene Symbol | TSC1 |
| Gene Full Name | tuberous sclerosis 1 |
| Background | This gene encodes a growth inhibitory protein thought to play a role in the stabilization of tuberin. Mutations in this gene have been associated with tuberous sclerosis. Alternative splicing results in multiple transcript variants. [provided by RefSeq, Jun 2009] |
| Function | In complex with TSC2, inhibits the nutrient-mediated or growth factor-stimulated phosphorylation of S6K1 and EIF4EBP1 by negatively regulating mTORC1 signaling. Seems not to be required for TSC2 GAP activity towards RHEB. Implicated as a tumor suppressor. Involved in microtubule-mediated protein transport, but this seems to be due to unregulated mTOR signaling. [UniProt] |
| Cellular Localization | Cytoplasm. Membrane; Peripheral membrane protein. At steady state found in association with membranes. [UniProt] |
| Calculated MW | 130 kDa |
| PTM | Phosphorylation at Ser-505 does not affect interaction with TSC2. [UniProt] |
Images (3) Click the Picture to Zoom In
-
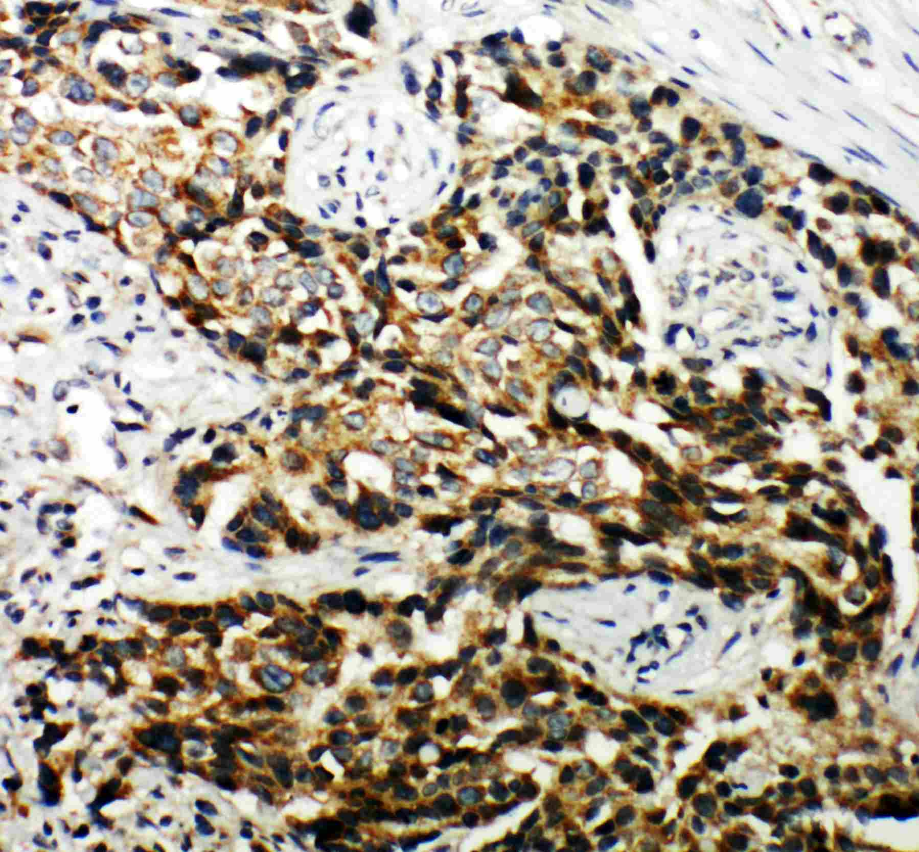
ARG40883 anti-TSC1 / Hamartin antibody IHC-P image
Immunohistochemistry: Paraffin-embedded Human mammary cancer tissue stained with ARG40883 anti-TSC1 / Hamartin antibody.
-
ARG40883 anti-TSC1 / Hamartin antibody WB image
Western blot: 50 µg of Rat skeletal muscle, Rat heart, Rat brain, Rat lung, 40 µg of 293T, HeLa, HT1080 and SMMC-7721 whole cell lysates stained with ARG40883 anti-TSC1 / Hamartin antibody at 0.5 µg/ml dilution.
-
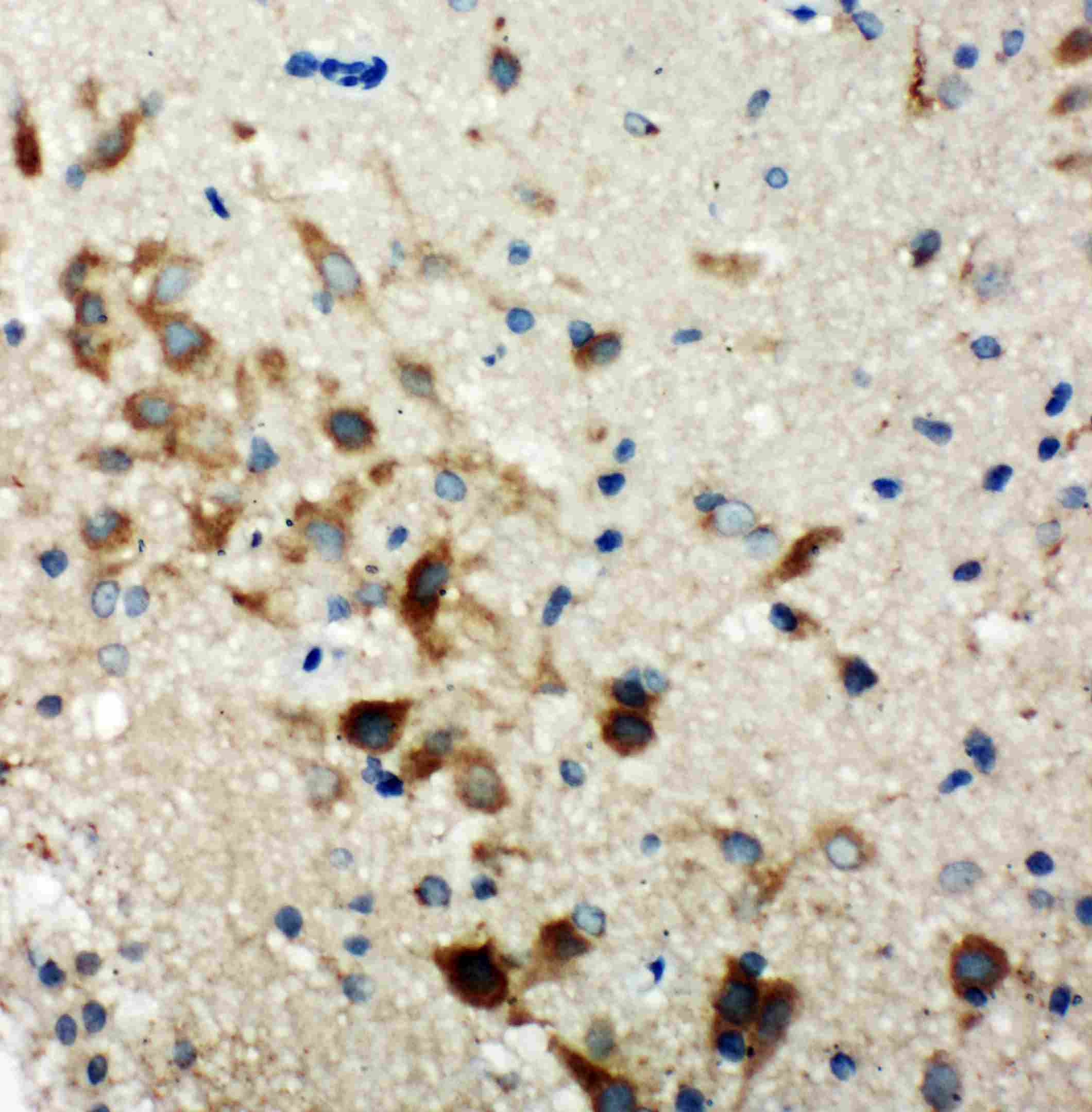
ARG40883 anti-TSC1 / Hamartin antibody IHC-P image
Immunohistochemistry: Paraffin-embedded Rat brain tissue stained with ARG40883 anti-TSC1 / Hamartin antibody.
