ARG57298
anti-Transthyretin / Prealbumin antibody
anti-Transthyretin / Prealbumin antibody for ICC/IF,IHC-Formalin-fixed paraffin-embedded sections,Western blot and Human,Mouse,Rat
Overview
| Product Description | Rabbit Polyclonal antibody recognizes Transthyretin / Prealbumin |
|---|---|
| Tested Reactivity | Hu, Ms, Rat |
| Tested Application | ICC/IF, IHC-P, WB |
| Host | Rabbit |
| Clonality | Polyclonal |
| Isotype | IgG |
| Target Name | Transthyretin / Prealbumin |
| Antigen Species | Human |
| Immunogen | Recombinant Protein of Human Transthyretin / Prealbumin. |
| Conjugation | Un-conjugated |
| Alternate Names | TBPA; HEL111; ATTR; CTS; Transthyretin; CTS1; PALB; HsT2651; Prealbumin |
Application Instructions
| Application Suggestion |
|
||||||||
|---|---|---|---|---|---|---|---|---|---|
| Application Note | * The dilutions indicate recommended starting dilutions and the optimal dilutions or concentrations should be determined by the scientist. | ||||||||
| Positive Control | U251 |
Properties
| Form | Liquid |
|---|---|
| Purification | Affinity purification with immunogen. |
| Buffer | PBS (pH 7.3), 0.02% Sodium azide and 50% Glycerol. |
| Preservative | 0.02% Sodium azide |
| Stabilizer | 50% Glycerol |
| Storage Instruction | For continuous use, store undiluted antibody at 2-8°C for up to a week. For long-term storage, aliquot and store at -20°C. Storage in frost free freezers is not recommended. Avoid repeated freeze/thaw cycles. Suggest spin the vial prior to opening. The antibody solution should be gently mixed before use. |
| Note | For laboratory research only, not for drug, diagnostic or other use. |
Bioinformation
| Database Links | |
|---|---|
| Gene Symbol | TTR |
| Gene Full Name | transthyretin |
| Background | This gene encodes transthyretin, one of the three prealbumins including alpha-1-antitrypsin, transthyretin and orosomucoid. Transthyretin is a carrier protein; it transports thyroid hormones in the plasma and cerebrospinal fluid, and also transports retinol (vitamin A) in the plasma. The protein consists of a tetramer of identical subunits. More than 80 different mutations in this gene have been reported; most mutations are related to amyloid deposition, affecting predominantly peripheral nerve and/or the heart, and a small portion of the gene mutations is non-amyloidogenic. The diseases caused by mutations include amyloidotic polyneuropathy, euthyroid hyperthyroxinaemia, amyloidotic vitreous opacities, cardiomyopathy, oculoleptomeningeal amyloidosis, meningocerebrovascular amyloidosis, carpal tunnel syndrome, etc. [provided by RefSeq, Jan 2009] |
| Function | Thyroid hormone-binding protein. Probably transports thyroxine from the bloodstream to the brain. [UniProt] |
| Calculated MW | 16 kDa |
| PTM | Not glycosylated under normal conditions. Following unfolding, caused for example by variant AMYL-TTR 'Gly-38', the cryptic Asn-118 site is exposed and glycosylated by STT3B-containing OST complex, leading to its degradation by the ER-associated degradation (ERAD) pathway. |
Images (2) Click the Picture to Zoom In
-
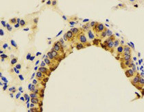
ARG57298 anti-Transthyretin / Prealbumin antibody IHC-P image
Immunohistochemistry: Paraffin-embedded Mouse lung stained with ARG57298 anti-Transthyretin / Prealbumin antibody at 1:100 dilution.
-
ARG57298 anti-Transthyretin / Prealbumin antibody WB image
Western blot: U251 cell lysate stained with ARG57298 anti-Transthyretin / Prealbumin antibody.
