ARG43067
anti-VPS4A antibody
anti-VPS4A antibody for Flow cytometry,IHC-Formalin-fixed paraffin-embedded sections,Western blot and Human,Mouse,Rat
Overview
| Product Description | Rabbit Polyclonal antibody recognizes VPS4A |
|---|---|
| Tested Reactivity | Hu, Ms, Rat |
| Tested Application | FACS, IHC-P, WB |
| Host | Rabbit |
| Clonality | Polyclonal |
| Isotype | IgG |
| Target Name | VPS4A |
| Antigen Species | Human |
| Immunogen | Recombinant protein corresponding to M1-K71 of Human VPS4A. |
| Conjugation | Un-conjugated |
| Alternate Names | SKD2; SKD1; hVPS4; Protein SKD2; SKD1A; Vacuolar protein sorting-associated protein 4A; VPS4-1; EC 3.6.4.6; VPS4 |
Application Instructions
| Application Suggestion |
|
||||||||
|---|---|---|---|---|---|---|---|---|---|
| Application Note | IHC-P: Antigen Retrieval: Heat mediation was performed in EDTA buffer (pH 8.0). * The dilutions indicate recommended starting dilutions and the optimal dilutions or concentrations should be determined by the scientist. |
Properties
| Form | Liquid |
|---|---|
| Purification | Affinity purification with immunogen. |
| Buffer | 0.2% Na2HPO4, 0.9% NaCl, 0.05% Sodium azide and 4% Trehalose. |
| Preservative | 0.05% Sodium azide |
| Stabilizer | 4% Trehalose |
| Concentration | 0.5 mg/ml |
| Storage Instruction | For continuous use, store undiluted antibody at 2-8°C for up to a week. For long-term storage, aliquot and store at -20°C or below. Storage in frost free freezers is not recommended. Avoid repeated freeze/thaw cycles. Suggest spin the vial prior to opening. The antibody solution should be gently mixed before use. |
| Note | For laboratory research only, not for drug, diagnostic or other use. |
Bioinformation
| Database Links | |
|---|---|
| Gene Symbol | VPS4A |
| Gene Full Name | vacuolar protein sorting 4 homolog A (S. cerevisiae) |
| Background | The protein encoded by this gene is a member of the AAA protein family (ATPases associated with diverse cellular activities), and is the homolog of the yeast Vps4 protein. In humans, two paralogs of the yeast protein have been identified. The former share a high degree of aa sequence similarity with each other, and also with yeast Vps4 and mouse Skd1 proteins. The mouse Skd1 (suppressor of K+ transport defect 1) has been shown to be really an yeast Vps4 ortholog. Functional studies indicate that both human paralogs associate with the endosomal compartments, and are involved in intracellular protein trafficking, similar to Vps4 protein in yeast. The gene encoding this paralog has been mapped to chromosome 16; the gene for the other resides on chromosome 18. [provided by RefSeq, Jul 2008] |
| Function | Involved in late steps of the endosomal multivesicular bodies (MVB) pathway. Recognizes membrane-associated ESCRT-III assemblies and catalyzes their disassembly, possibly in combination with membrane fission. Redistributes the ESCRT-III components to the cytoplasm for further rounds of MVB sorting. MVBs contain intraluminal vesicles (ILVs) that are generated by invagination and scission from the limiting membrane of the endosome and mostly are delivered to lysosomes enabling degradation of membrane proteins, such as stimulated growth factor receptors, lysosomal enzymes and lipids. In conjunction with the ESCRT machinery also appears to function in topologically equivalent membrane fission events, such as the terminal stages of cytokinesis and enveloped virus budding (HIV-1 and other lentiviruses). Involved in cytokinesis: retained at the midbody by ZFYVE19/ANCHR and CHMP4C until abscission checkpoint signaling is terminated at late cytokinesis. It is then released following dephosphorylation of CHMP4C, leading to abscission (PubMed:24814515). VPS4A/B are required for the exosomal release of SDCBP, CD63 and syndecan (PubMed:22660413). [UniProt] |
| Cellular Localization | Prevacuolar compartment membrane; Peripheral membrane protein. Late endosome membrane; Peripheral membrane protein. Midbody. Note=Membrane-associated in the prevacuolar endosomal compartment. Localizes to the midbody of dividing cells, interaction with ZFYVE19/ANCHR mediates retention at midbody (PubMed:24814515). Localized in two distinct rings on either side of the Flemming body. [UniProt] |
| Calculated MW | 49 kDa |
Images (4) Click the Picture to Zoom In
-
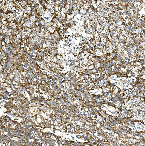
ARG43067 anti-VPS4A antibody IHC-P image
Immunohistochemistry: Paraffin-embedded Human lung cancer tissue. Antigen Retrieval: Heat mediation was performed in EDTA buffer (pH 8.0). The tissue section was blocked with 10% goat serum. The tissue section was then stained with ARG43067 anti-VPS4A antibody at 1 µg/ml dilution, overnight at 4°C.
-
ARG43067 anti-VPS4A antibody WB image
Western blot: 50 µg of sample under reducing conditions. K562, Raji, HEK293, Rat brain and Mouse testis lysates stained with ARG43067 anti-VPS4A antibody at 0.5 µg/ml dilution, overnight at 4°C.
-
ARG43067 anti-VPS4A antibody FACS image
Flow Cytometry: A431 cells were blocked with 10% normal goat serum and then stained with ARG43067 anti-VPS4A antibody (blue) at 1 µg/10^6 cells for 30 min at 20°C, followed by incubation with DyLight®488 labelled secondary antibody. Isotype control antibody (green) was rabbit IgG (1 µg/10^6 cells) used under the same conditions. Unlabelled sample (red) was also used as a control.
-
ARG43067 anti-VPS4A antibody IHC-P image
Immunohistochemistry: Paraffin-embedded Human mammary cancer tissue. Antigen Retrieval: Heat mediation was performed in EDTA buffer (pH 8.0). The tissue section was blocked with 10% goat serum. The tissue section was then stained with ARG43067 anti-VPS4A antibody at 1 µg/ml dilution, overnight at 4°C.
