ARG41698
anti-Wnt7b antibody
anti-Wnt7b antibody for IHC-Formalin-fixed paraffin-embedded sections,Western blot and Human,Mouse
Overview
| Product Description | Rabbit Polyclonal antibody recognizes Wnt7b |
|---|---|
| Tested Reactivity | Hu, Ms |
| Predict Reactivity | Cow, Rat, Dog, Gpig, Hrs, Pig |
| Tested Application | IHC-P, WB |
| Host | Rabbit |
| Clonality | Polyclonal |
| Isotype | IgG |
| Target Name | Wnt7b |
| Antigen Species | Human |
| Immunogen | Synthetic peptide around the middle region of Human Wnt7b. (within the following region: WTTLPKFREVGHLLKEKYNAAVQVEVVRASRLRQPTFLRIKQLRSYQKPM) |
| Conjugation | Un-conjugated |
| Alternate Names | Protein Wnt-7b |
Application Instructions
| Predict Reactivity Note | Predicted Homology Based On Immunogen Sequence: Cow: 100%; Dog: 100%; Guinea pig: 86%; Horse: 100%; Pig: 100%; Rat: 100% | ||||||
|---|---|---|---|---|---|---|---|
| Application Suggestion |
|
||||||
| Application Note | IHC-P: Antigen Retrieval: Heat mediation was recommended. * The dilutions indicate recommended starting dilutions and the optimal dilutions or concentrations should be determined by the scientist. |
||||||
| Positive Control | MCF7 | ||||||
| Observed Size | ~ 36 kDa |
Properties
| Form | Liquid |
|---|---|
| Purification | Affinity purified. |
| Buffer | PBS, 0.09% (w/v) Sodium azide and 2% Sucrose. |
| Preservative | 0.09% (w/v) Sodium azide |
| Stabilizer | 2% Sucrose |
| Concentration | Batch dependent: 0.5 - 1 mg/ml |
| Storage Instruction | For continuous use, store undiluted antibody at 2-8°C for up to a week. For long-term storage, aliquot and store at -20°C or below. Storage in frost free freezers is not recommended. Avoid repeated freeze/thaw cycles. Suggest spin the vial prior to opening. The antibody solution should be gently mixed before use. |
| Note | For laboratory research only, not for drug, diagnostic or other use. |
Bioinformation
| Database Links | |
|---|---|
| Gene Symbol | WNT7B |
| Gene Full Name | wingless-type MMTV integration site family, member 7B |
| Background | This gene is a member of the WNT gene family, which consists of structurally related genes that encode secreted signaling proteins. These proteins have been implicated in oncogenesis and in several developmental processes, including regulation of cell fate and patterning during embryogenesis. Among members of the human WNT family, this gene product is most similar to WNT7A protein. [provided by RefSeq, Oct 2008] |
| Function | Ligand for members of the frizzled family of seven transmembrane receptors. Probable developmental protein. May be a signaling molecule which affects the development of discrete regions of tissues. Is likely to signal over only few cell diameters (By similarity). [UniProt] |
| Cellular Localization | Secreted, extracellular space, extracellular matrix. Secreted. [UniProt] |
| Calculated MW | 39 kDa |
| PTM | Palmitoleylation is required for efficient binding to frizzled receptors. Depalmitoleylation leads to Wnt signaling pathway inhibition. [UniProt] |
Images (3) Click the Picture to Zoom In
-
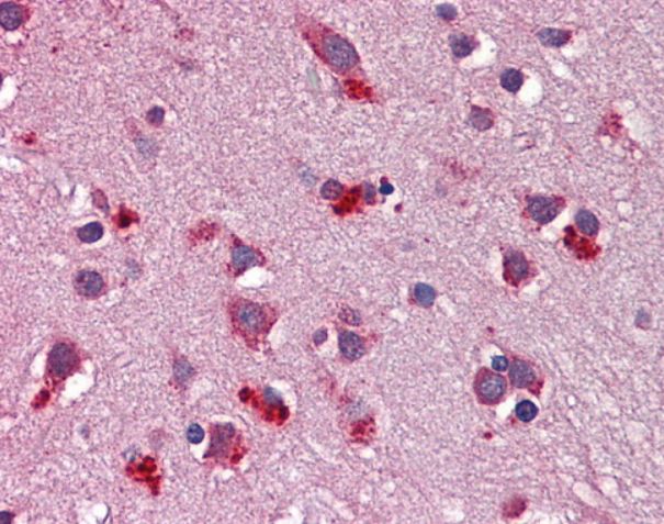
ARG41698 anti-Wnt7b antibody IHC-P image
Immunohistochemistry: Formalin-fixed and paraffin-embedded Human cerebral cortex tissue. Antigen Retrieval: Heat mediation was recommended. The tissue section was stained with ARG41698 anti-Wnt7b antibody at 5 µg/ml dilution.
-
ARG41698 anti-Wnt7b antibody WB image
Western blot: MCF7 cell lysate stained with ARG41698 anti-Wnt7b antibody at 1 µg/ml dilution.
-
ARG41698 anti-Wnt7b antibody WB image
Western blot: Mouse spleen lysate stained with ARG41698 anti-Wnt7b antibody at 1 µg/ml dilution.
